A Novel Case of NOTCH1 Variant and Nonimmune Hydrops Fetalis: A Case Report.

Case Reports in Genetics Pub Date : 2025-09-01 eCollection Date: 2025-01-01 DOI:10.1155/crig/6865742
Genevieve R Mazza, Alesandra R Rau, Madushka Y De Zoysa
{"title":"A Novel Case of <i>NOTCH1</i> Variant and Nonimmune Hydrops Fetalis: A Case Report.","authors":"Genevieve R Mazza, Alesandra R Rau, Madushka Y De Zoysa","doi":"10.1155/crig/6865742","DOIUrl":null,"url":null,"abstract":"<p><p>Nonimmune hydrops fetalis (NIHF) refers to the pathologic accumulation of fluid within the fetus due to causes other than red cell alloimmunization and now accounts for up to 90% of fetal hydrops cases. Fetal hydrops is associated with significant morbidity and mortality, and the exact prognosis is largely dependent on the underlying etiology. The most common etiologies include cardiovascular causes and chromosomal or genetic abnormalities. Despite this, diagnostic testing with karyotype or chromosomal microarray only identifies approximately 25% of cases, and up to 20% of cases remain idiopathic or unknown. We report the first known case of NIHF related to a <i>NOTCH1</i> pathogenic variant. In this case, NIHF was diagnosed at 30 weeks' gestation in a fetus with low-risk prenatal genetic screening, noncontributory anatomic survey, and normal chromosomal microarray. The hydrops was uniquely localized to scalp edema and pleural effusions requiring bilateral thoracentesis and never progressed to involve pericardial effusion or ascites. Whole exome sequencing diagnosed a novel pathogenic variant in the <i>NOTCH1</i> gene. This is the first reported case of NIHF in the setting of <i>NOTCH1</i> pathogenic variant and is an important addition to the existing literature on this incredibly diverse, high-risk pathology.</p>","PeriodicalId":30325,"journal":{"name":"Case Reports in Genetics","volume":"2025 ","pages":"6865742"},"PeriodicalIF":0.0000,"publicationDate":"2025-09-01","publicationTypes":"Journal Article","fieldsOfStudy":null,"isOpenAccess":false,"openAccessPdf":"https://www.ncbi.nlm.nih.gov/pmc/articles/PMC12417067/pdf/","citationCount":"0","resultStr":null,"platform":"Semanticscholar","paperid":null,"PeriodicalName":"Case Reports in Genetics","FirstCategoryId":"1085","ListUrlMain":"https://doi.org/10.1155/crig/6865742","RegionNum":0,"RegionCategory":null,"ArticlePicture":[],"TitleCN":null,"AbstractTextCN":null,"PMCID":null,"EPubDate":"2025/1/1 0:00:00","PubModel":"eCollection","JCR":"","JCRName":"","Score":null,"Total":0}
引用次数: 0

Abstract

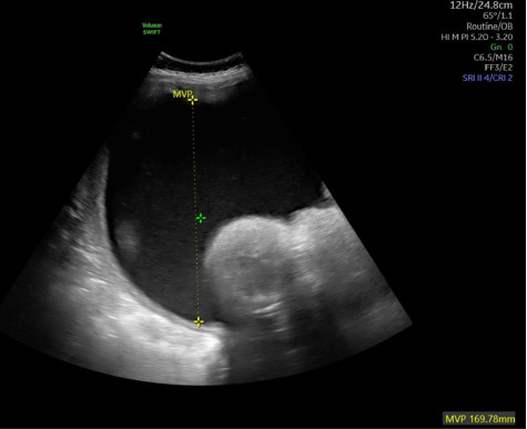
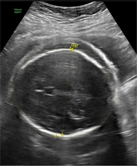
Nonimmune hydrops fetalis (NIHF) refers to the pathologic accumulation of fluid within the fetus due to causes other than red cell alloimmunization and now accounts for up to 90% of fetal hydrops cases. Fetal hydrops is associated with significant morbidity and mortality, and the exact prognosis is largely dependent on the underlying etiology. The most common etiologies include cardiovascular causes and chromosomal or genetic abnormalities. Despite this, diagnostic testing with karyotype or chromosomal microarray only identifies approximately 25% of cases, and up to 20% of cases remain idiopathic or unknown. We report the first known case of NIHF related to a NOTCH1 pathogenic variant. In this case, NIHF was diagnosed at 30 weeks' gestation in a fetus with low-risk prenatal genetic screening, noncontributory anatomic survey, and normal chromosomal microarray. The hydrops was uniquely localized to scalp edema and pleural effusions requiring bilateral thoracentesis and never progressed to involve pericardial effusion or ascites. Whole exome sequencing diagnosed a novel pathogenic variant in the NOTCH1 gene. This is the first reported case of NIHF in the setting of NOTCH1 pathogenic variant and is an important addition to the existing literature on this incredibly diverse, high-risk pathology.

Abstract Image

Abstract Image

Abstract Image

NOTCH1变异和非免疫性水肿胎儿1例报告。
非免疫性积水胎儿(NIHF)是指由于红细胞异体免疫以外的原因引起的胎儿体内液体的病理性积聚,目前占胎儿积水病例的90%。胎儿水肿与显著的发病率和死亡率相关,确切的预后在很大程度上取决于潜在的病因。最常见的病因包括心血管疾病和染色体或遗传异常。尽管如此,核型或染色体微阵列诊断测试只能识别大约25%的病例,高达20%的病例仍然是特发性或未知的。我们报告了第一例与NOTCH1致病变异相关的NIHF病例。在本例中,NIHF是在妊娠30周时通过低风险产前遗传筛查、非贡献性解剖调查和正常染色体微阵列诊断出来的。水肿仅局限于头皮水肿和胸膜积液,需要双侧胸腔穿刺,从未发展到心包积液或腹水。全外显子组测序诊断出NOTCH1基因的一种新的致病变异。这是第一例报道的NOTCH1致病性变异背景下的NIHF病例,是对这一令人难以置信的多样化、高风险病理的现有文献的重要补充。
本文章由计算机程序翻译,如有差异,请以英文原文为准。
求助全文
约1分钟内获得全文 求助全文
来源期刊
自引率
0.00%
发文量
21
×
引用
GB/T 7714-2015
复制
MLA
复制
APA
复制
导出至
BibTeX EndNote RefMan NoteFirst NoteExpress
×
提示
您的信息不完整,为了账户安全,请先补充。
现在去补充
×
提示
您因"违规操作"
具体请查看互助需知
我知道了
×
提示
确定
请完成安全验证×
copy
已复制链接
快去分享给好友吧!
我知道了
右上角分享
点击右上角分享
0
联系我们:info@booksci.cn Book学术提供免费学术资源搜索服务,方便国内外学者检索中英文文献。致力于提供最便捷和优质的服务体验。 Copyright © 2023 布克学术 All rights reserved.
京ICP备2023020795号-1
ghs 京公网安备 11010802042870号
Book学术文献互助
Book学术文献互助群
群 号:604180095
Book学术官方微信