Expression of GLUT-1 and SGLT-2 in the Chorioretina of Streptozotocin-induced Diabetic Rats After Administration of Empagliflozin.

IF 1.5 Q3 OPHTHALMOLOGY
Journal of Ophthalmic & Vision Research Pub Date : 2025-09-02 eCollection Date: 2025-01-01 DOI:10.18502/jovr.v20.15231
Lia Meuthia Zaini, Arief S Kartasasmita, Tjahjono D Gondhowiardjo, Maimun Syukri, Ronny Lesmana
{"title":"Expression of GLUT-1 and SGLT-2 in the Chorioretina of Streptozotocin-induced Diabetic Rats After Administration of Empagliflozin.","authors":"Lia Meuthia Zaini, Arief S Kartasasmita, Tjahjono D Gondhowiardjo, Maimun Syukri, Ronny Lesmana","doi":"10.18502/jovr.v20.15231","DOIUrl":null,"url":null,"abstract":"<p><strong>Purpose: </strong>To assess the effect of empagliflozin on the expression of SGLT-2 and GLUT-1 in the chorioretina of streptozotocin-induced diabetic rats.</p><p><strong>Methods: </strong>An <i>in vivo</i> experimental study was performed on Wistar rats. After a 2-week adaptation period, the rats were allocated to one of four groups. The group allocations were as follows: (K1) negative control (no intervention); (K2) positive control injected with streptozotocin (STZ) without treatment; (K3) positive control injected with STZ and treated with metformin; and (K4) positive control injected with STZ and treated with empagliflozin. SGLT-2 and GLUT-1 expressions were examined using the Western blot technique.</p><p><strong>Results: </strong>SGLT-2 was expressed in the chorioretinal tissue of all groups; administration of SGLT-2 inhibitors could suppress its expression. The average band thickness indicated that SGLT-2 expression was higher in diabetic rats compared to rats with normal sugar levels. GLUT-1 expression was noticed in all groups based on the chorioretinal examination. It did not change in the metformin group, whereas the empagliflozin group showed a significant decrease in the GLUT-1 expression.</p><p><strong>Conclusion: </strong>Both metformin and empagliflozin suppress the expression of SGLT-2 and GLUT-1 in the chorioretina of diabetic rats. In comparison, empagliflozin seems to be more potent in reducing this expression.</p>","PeriodicalId":16586,"journal":{"name":"Journal of Ophthalmic & Vision Research","volume":"20 ","pages":""},"PeriodicalIF":1.5000,"publicationDate":"2025-09-02","publicationTypes":"Journal Article","fieldsOfStudy":null,"isOpenAccess":false,"openAccessPdf":"https://www.ncbi.nlm.nih.gov/pmc/articles/PMC12417899/pdf/","citationCount":"0","resultStr":null,"platform":"Semanticscholar","paperid":null,"PeriodicalName":"Journal of Ophthalmic & Vision Research","FirstCategoryId":"1085","ListUrlMain":"https://doi.org/10.18502/jovr.v20.15231","RegionNum":0,"RegionCategory":null,"ArticlePicture":[],"TitleCN":null,"AbstractTextCN":null,"PMCID":null,"EPubDate":"2025/1/1 0:00:00","PubModel":"eCollection","JCR":"Q3","JCRName":"OPHTHALMOLOGY","Score":null,"Total":0}
引用次数: 0

Abstract

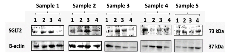
Purpose: To assess the effect of empagliflozin on the expression of SGLT-2 and GLUT-1 in the chorioretina of streptozotocin-induced diabetic rats.

Methods: An in vivo experimental study was performed on Wistar rats. After a 2-week adaptation period, the rats were allocated to one of four groups. The group allocations were as follows: (K1) negative control (no intervention); (K2) positive control injected with streptozotocin (STZ) without treatment; (K3) positive control injected with STZ and treated with metformin; and (K4) positive control injected with STZ and treated with empagliflozin. SGLT-2 and GLUT-1 expressions were examined using the Western blot technique.

Results: SGLT-2 was expressed in the chorioretinal tissue of all groups; administration of SGLT-2 inhibitors could suppress its expression. The average band thickness indicated that SGLT-2 expression was higher in diabetic rats compared to rats with normal sugar levels. GLUT-1 expression was noticed in all groups based on the chorioretinal examination. It did not change in the metformin group, whereas the empagliflozin group showed a significant decrease in the GLUT-1 expression.

Conclusion: Both metformin and empagliflozin suppress the expression of SGLT-2 and GLUT-1 in the chorioretina of diabetic rats. In comparison, empagliflozin seems to be more potent in reducing this expression.

Abstract Image

Abstract Image

Abstract Image

依帕列净对链脲佐菌素诱导的糖尿病大鼠绒毛膜中GLUT-1和SGLT-2表达的影响。
目的:观察恩格列净对链脲佐菌素诱导的糖尿病大鼠绒毛膜中SGLT-2和GLUT-1表达的影响。方法:采用Wistar大鼠进行体内实验研究。经过2周的适应期后,将大鼠分为四组。各组分配如下:(K1)阴性对照组(不干预);(K2)阳性对照,未经处理注射链脲佐菌素(STZ);(K3)阳性对照注射STZ,二甲双胍处理;(K4)阳性对照注射STZ,并用恩格列净处理。Western blot检测SGLT-2和GLUT-1的表达。结果:SGLT-2在各组视网膜组织中均有表达;SGLT-2抑制剂可抑制其表达。平均波段厚度表明,糖尿病大鼠的SGLT-2表达高于正常血糖水平的大鼠。根据绒毛膜视网膜检查,各组均有GLUT-1表达。二甲双胍组GLUT-1表达无变化,而恩格列净组GLUT-1表达明显降低。结论:二甲双胍和依帕列净均可抑制糖尿病大鼠脉络膜中SGLT-2和GLUT-1的表达。相比之下,恩帕列净在降低这种表达方面似乎更有效。
本文章由计算机程序翻译,如有差异,请以英文原文为准。
求助全文
约1分钟内获得全文 求助全文
来源期刊
CiteScore
3.60
自引率
0.00%
发文量
63
审稿时长
30 weeks
×
引用
GB/T 7714-2015
复制
MLA
复制
APA
复制
导出至
BibTeX EndNote RefMan NoteFirst NoteExpress
×
提示
您的信息不完整,为了账户安全,请先补充。
现在去补充
×
提示
您因"违规操作"
具体请查看互助需知
我知道了
×
提示
确定
请完成安全验证×
copy
已复制链接
快去分享给好友吧!
我知道了
右上角分享
点击右上角分享
0
联系我们:info@booksci.cn Book学术提供免费学术资源搜索服务,方便国内外学者检索中英文文献。致力于提供最便捷和优质的服务体验。 Copyright © 2023 布克学术 All rights reserved.
京ICP备2023020795号-1
ghs 京公网安备 11010802042870号
Book学术文献互助
Book学术文献互助群
群 号:604180095
Book学术官方微信