Targeted decompression to address long-standing anatomical distortion in a case of extensive, bilateral en plaque meningiomas: illustrative case.

Stefanie Bauer, Karina Hofmann, Miriam Weiss, Christian Musahl, Lukas Andereggen, Gerrit A Schubert
{"title":"Targeted decompression to address long-standing anatomical distortion in a case of extensive, bilateral en plaque meningiomas: illustrative case.","authors":"Stefanie Bauer, Karina Hofmann, Miriam Weiss, Christian Musahl, Lukas Andereggen, Gerrit A Schubert","doi":"10.3171/CASE25382","DOIUrl":null,"url":null,"abstract":"<p><strong>Background: </strong>Meningioma en plaque (MEP) is a rare subtype of meningioma with a carpet-like growth pattern, often causing hyperostosis. Even rarer is the presentation of bilateral MEP posing diagnostic and therapeutic challenges. Management of MEP usually entails early complete resection. Follow-up may be considered for asymptomatic and slow-growing tumors.</p><p><strong>Observations: </strong>The authors present the case of a 52-year-old patient with progressive optic neuropathy due to bilateral hyperostotic frontotemporal MEP. Long-standing intracranial hypertension caused by mass effect had led to formation of a suprachiasmatic cyst deflecting the optic chiasm. The authors aimed to lower the intracranial pressure indirectly by performing a targeted, right-sided craniectomy with tumor removal and mesh cranioplasty. Postoperatively, reconstitution of brain anatomy and stabilization of the optic neuropathy were observed.</p><p><strong>Lessons: </strong>To the authors' knowledge, this is the first case report addressing targeted decompression for severe, long-standing anatomical distortion due to bilateral hyperostotic MEP. Complete resection as recommended for MEPs would have been associated with a high risk of perioperative morbidity in this case. In case of neurological deterioration due to decompensated intracranial hypertension, indirect decompression can effectively address chronic distortion of anatomy. This case report highlights the need for individualized management strategies for extensive MEPs. https://thejns.org/doi/10.3171/CASE25382.</p>","PeriodicalId":94098,"journal":{"name":"Journal of neurosurgery. Case lessons","volume":"10 10","pages":""},"PeriodicalIF":0.0000,"publicationDate":"2025-09-08","publicationTypes":"Journal Article","fieldsOfStudy":null,"isOpenAccess":false,"openAccessPdf":"https://www.ncbi.nlm.nih.gov/pmc/articles/PMC12416326/pdf/","citationCount":"0","resultStr":null,"platform":"Semanticscholar","paperid":null,"PeriodicalName":"Journal of neurosurgery. Case lessons","FirstCategoryId":"1085","ListUrlMain":"https://doi.org/10.3171/CASE25382","RegionNum":0,"RegionCategory":null,"ArticlePicture":[],"TitleCN":null,"AbstractTextCN":null,"PMCID":null,"EPubDate":"","PubModel":"","JCR":"","JCRName":"","Score":null,"Total":0}
引用次数: 0

Abstract

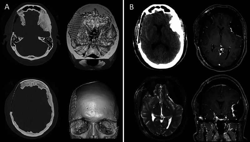
Background: Meningioma en plaque (MEP) is a rare subtype of meningioma with a carpet-like growth pattern, often causing hyperostosis. Even rarer is the presentation of bilateral MEP posing diagnostic and therapeutic challenges. Management of MEP usually entails early complete resection. Follow-up may be considered for asymptomatic and slow-growing tumors.

Observations: The authors present the case of a 52-year-old patient with progressive optic neuropathy due to bilateral hyperostotic frontotemporal MEP. Long-standing intracranial hypertension caused by mass effect had led to formation of a suprachiasmatic cyst deflecting the optic chiasm. The authors aimed to lower the intracranial pressure indirectly by performing a targeted, right-sided craniectomy with tumor removal and mesh cranioplasty. Postoperatively, reconstitution of brain anatomy and stabilization of the optic neuropathy were observed.

Lessons: To the authors' knowledge, this is the first case report addressing targeted decompression for severe, long-standing anatomical distortion due to bilateral hyperostotic MEP. Complete resection as recommended for MEPs would have been associated with a high risk of perioperative morbidity in this case. In case of neurological deterioration due to decompensated intracranial hypertension, indirect decompression can effectively address chronic distortion of anatomy. This case report highlights the need for individualized management strategies for extensive MEPs. https://thejns.org/doi/10.3171/CASE25382.

Abstract Image

Abstract Image

Abstract Image

有针对性的减压以解决广泛的双侧斑块脑膜瘤的长期解剖扭曲:说明性病例。
背景:脑膜瘤斑块(MEP)是一种罕见的脑膜瘤亚型,呈地毯样生长,常引起骨质增生。更罕见的是双侧MEP的出现,给诊断和治疗带来了挑战。MEP的治疗通常需要早期完全切除。对于无症状和生长缓慢的肿瘤可考虑随访。观察:作者报告了一位52岁的患者,由于双侧额颞部MEP肥厚而出现进行性视神经病变。肿块效应引起的长期颅内高压导致视交叉上囊肿的形成,使视交叉偏转。作者的目的是通过实施有针对性的右侧颅骨切除术,肿瘤切除和网状颅骨成形术间接降低颅内压。术后观察脑解剖结构重建及视神经病变稳定情况。经验教训:据作者所知,这是第一例针对双侧肥厚性MEP导致的严重、长期解剖扭曲进行针对性减压的病例报告。在本病例中,MEPs推荐的完全切除与围手术期发病的高风险相关。当失代偿性颅内高压导致神经功能恶化时,间接减压可有效解决慢性解剖扭曲。本病例报告强调了广泛的mep需要个性化的管理策略。https://thejns.org/doi/10.3171/CASE25382。
本文章由计算机程序翻译,如有差异,请以英文原文为准。
求助全文
约1分钟内获得全文 求助全文
来源期刊
CiteScore
0.40
自引率
0.00%
发文量
0
×
引用
GB/T 7714-2015
复制
MLA
复制
APA
复制
导出至
BibTeX EndNote RefMan NoteFirst NoteExpress
×
提示
您的信息不完整,为了账户安全,请先补充。
现在去补充
×
提示
您因"违规操作"
具体请查看互助需知
我知道了
×
提示
确定
请完成安全验证×
copy
已复制链接
快去分享给好友吧!
我知道了
右上角分享
点击右上角分享
0
联系我们:info@booksci.cn Book学术提供免费学术资源搜索服务,方便国内外学者检索中英文文献。致力于提供最便捷和优质的服务体验。 Copyright © 2023 布克学术 All rights reserved.
京ICP备2023020795号-1
ghs 京公网安备 11010802042870号
Book学术文献互助
Book学术文献互助群
群 号:604180095
Book学术官方微信