High-grade astrocytoma with piloid features resected with an exoscopic supracerebellar infratentorial approach: illustrative case.

Franco Rubino, Peter Harris, Abir L Mukherjee, Walter C Jean
{"title":"High-grade astrocytoma with piloid features resected with an exoscopic supracerebellar infratentorial approach: illustrative case.","authors":"Franco Rubino, Peter Harris, Abir L Mukherjee, Walter C Jean","doi":"10.3171/CASE25390","DOIUrl":null,"url":null,"abstract":"<p><strong>Background: </strong>High-grade astrocytoma with piloid features (HGAP) was recently added to the WHO 2021 CNS classification system among the group of circumscribed astrocytic gliomas. These tumors present with high-grade piloid histology with similarities to glioblastoma. HGAPs in the pineal region become particularly challenging due to its deep location and proximity to deep venous structures, the midbrain, and the thalamus. Herein, the authors present the case of a patient with an HGAP located in the pineal region. The tumor was resected using an exoscopic supracerebellar/infratentorial approach.</p><p><strong>Observations: </strong>A 69-year-old man presented with a pineal gland mass causing obstructive hydrocephalus. Resection using an exoscope revealed an HGAP. Postoperatively, he developed posterior fossa syndrome but was discharged without neurological deficits after 30 days.</p><p><strong>Lessons: </strong>HGAP, a distinct glioma subtype identified in 2021, presents a mix of low- and high-grade features. It shares histological traits with pilocytic astrocytoma and glioblastoma, requiring DNA methylation profiling for diagnosis. Radiologically, these lesions have a T2-FLAIR mismatch and uneven post-gadolinium enhancement. Treatment is still uncertain, although adjuvant chemoradiation therapy with temozolomide may be used. The prognosis is poor, with a 5-year survival rate of approximately 50%. For pineal region locations, the exoscope offers enhanced magnification, depth perception, and ergonomic benefits, improving surgical precision. https://thejns.org/doi/10.3171/CASE25390.</p>","PeriodicalId":94098,"journal":{"name":"Journal of neurosurgery. Case lessons","volume":"10 10","pages":""},"PeriodicalIF":0.0000,"publicationDate":"2025-09-08","publicationTypes":"Journal Article","fieldsOfStudy":null,"isOpenAccess":false,"openAccessPdf":"https://www.ncbi.nlm.nih.gov/pmc/articles/PMC12416328/pdf/","citationCount":"0","resultStr":null,"platform":"Semanticscholar","paperid":null,"PeriodicalName":"Journal of neurosurgery. Case lessons","FirstCategoryId":"1085","ListUrlMain":"https://doi.org/10.3171/CASE25390","RegionNum":0,"RegionCategory":null,"ArticlePicture":[],"TitleCN":null,"AbstractTextCN":null,"PMCID":null,"EPubDate":"","PubModel":"","JCR":"","JCRName":"","Score":null,"Total":0}
引用次数: 0

Abstract

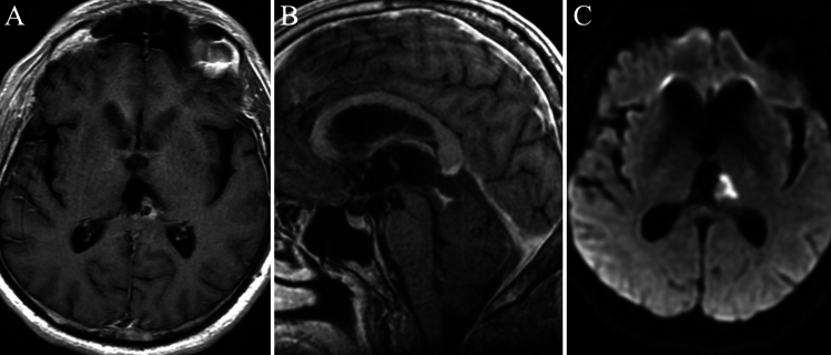
Background: High-grade astrocytoma with piloid features (HGAP) was recently added to the WHO 2021 CNS classification system among the group of circumscribed astrocytic gliomas. These tumors present with high-grade piloid histology with similarities to glioblastoma. HGAPs in the pineal region become particularly challenging due to its deep location and proximity to deep venous structures, the midbrain, and the thalamus. Herein, the authors present the case of a patient with an HGAP located in the pineal region. The tumor was resected using an exoscopic supracerebellar/infratentorial approach.

Observations: A 69-year-old man presented with a pineal gland mass causing obstructive hydrocephalus. Resection using an exoscope revealed an HGAP. Postoperatively, he developed posterior fossa syndrome but was discharged without neurological deficits after 30 days.

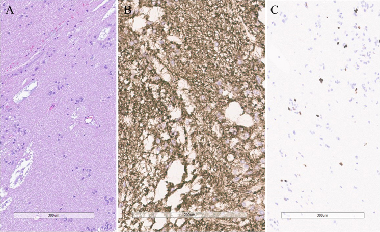
Lessons: HGAP, a distinct glioma subtype identified in 2021, presents a mix of low- and high-grade features. It shares histological traits with pilocytic astrocytoma and glioblastoma, requiring DNA methylation profiling for diagnosis. Radiologically, these lesions have a T2-FLAIR mismatch and uneven post-gadolinium enhancement. Treatment is still uncertain, although adjuvant chemoradiation therapy with temozolomide may be used. The prognosis is poor, with a 5-year survival rate of approximately 50%. For pineal region locations, the exoscope offers enhanced magnification, depth perception, and ergonomic benefits, improving surgical precision. https://thejns.org/doi/10.3171/CASE25390.

Abstract Image

Abstract Image

Abstract Image

高级别星形细胞瘤伴核样特征,经小脑上幕下入路切除:说明性病例。
背景:具有核样特征的高级别星形细胞瘤(HGAP)最近被列入WHO 2021中枢神经系统分类系统,成为限定星形细胞胶质瘤组。这些肿瘤表现为高级别的瘤样组织学,与胶质母细胞瘤相似。松果体区域的hgap由于其位置深且靠近深静脉结构、中脑和丘脑而变得特别具有挑战性。在这里,作者提出的情况下,患者与HGAP位于松果体区域。采用外窥镜小脑上/幕下入路切除肿瘤。观察:一个69岁的男性提出松果体肿块引起阻塞性脑积水。外窥镜切除发现HGAP。术后,患者出现后窝综合征,但30天后出院,无神经功能缺损。经验教训:HGAP是2021年发现的一种独特的胶质瘤亚型,表现为低级别和高级别特征的混合。它与毛细胞星形细胞瘤和胶质母细胞瘤具有相同的组织学特征,需要DNA甲基化分析来诊断。放射学上,这些病变有T2-FLAIR不匹配和不均匀的钆增强。治疗方法仍不确定,但可以使用替莫唑胺辅助放化疗。预后较差,5年生存率约为50%。对于松果体区域的位置,外窥镜提供了增强的放大倍率,深度感知,和符合人体工程学的好处,提高手术精度。https://thejns.org/doi/10.3171/CASE25390。
本文章由计算机程序翻译,如有差异,请以英文原文为准。
求助全文
约1分钟内获得全文 求助全文
来源期刊
CiteScore
0.40
自引率
0.00%
发文量
0
×
引用
GB/T 7714-2015
复制
MLA
复制
APA
复制
导出至
BibTeX EndNote RefMan NoteFirst NoteExpress
×
提示
您的信息不完整,为了账户安全,请先补充。
现在去补充
×
提示
您因"违规操作"
具体请查看互助需知
我知道了
×
提示
确定
请完成安全验证×
copy
已复制链接
快去分享给好友吧!
我知道了
右上角分享
点击右上角分享
0
联系我们:info@booksci.cn Book学术提供免费学术资源搜索服务,方便国内外学者检索中英文文献。致力于提供最便捷和优质的服务体验。 Copyright © 2023 布克学术 All rights reserved.
京ICP备2023020795号-1
ghs 京公网安备 11010802042870号
Book学术文献互助
Book学术文献互助群
群 号:604180095
Book学术官方微信