Invasive Gastrointestinal Mucormycosis Presenting as Neutropenic Enterocolitis: A Case Report.

IF 0.7 Q3 MEDICINE, GENERAL & INTERNAL
Hamad J AlBassam, Wael Alanazi, Faisal Al Rashid, Zainab I Alruwaii, Zainab Almusa
{"title":"Invasive Gastrointestinal Mucormycosis Presenting as Neutropenic Enterocolitis: A Case Report.","authors":"Hamad J AlBassam, Wael Alanazi, Faisal Al Rashid, Zainab I Alruwaii, Zainab Almusa","doi":"10.12659/AJCR.948878","DOIUrl":null,"url":null,"abstract":"<p><p>BACKGROUND Gastrointestinal mucormycosis is an underrecognized and underreported fungal infection with a high mortality rate. Diagnosis is often confounded by a non-specific constellation of signs and symptoms. We present a case of neutropenic colitis and ileocecal perforation secondary to gastrointestinal mucormycosis. CASE REPORT The patient was a 19-year-old man recently diagnosed with B-cell acute lymphoblastic leukemia, on active chemotherapy. He presented with abdominal pain and tenderness, and a contrast-enhanced CT revealed neutropenic colitis. Despite broad-spectrum antibiotics, his condition worsened, prompting reassessment. Follow-up CT showed bowel ischemia and a pelvic collection. He underwent an emergency laparotomy, which revealed destruction of the anterior cecal wall and detachment from the terminal ileum and ascending colon. Ileocecal resection was performed and histopathologic examination demonstrated angioinvasive fungal elements consistent with Mucor spp. He was diagnosed with gastrointestinal mucormycosis and promptly started on amphotericin intravenously. He improved over the next 2 weeks and was discharged with a plan to continue his 6-week course as an outpatient, followed by oral posaconazole maintenance therapy. Several weeks later, his infection relapsed secondary to non-compliance. He underwent repeat surgical debridement and antimicrobial therapy was restarted with intravenous amphotericin and Isavuconazole. He successfully completed 6 weeks of treatment and was transitioned to oral Isavuconazole prophylaxis. He remained stable and relapse-free at 6 months following his second procedure. CONCLUSIONS The case highlights the importance of early recognition of patients at risk for this infection, maintaining a high index of suspicion, and employing aggressive medical and surgical management strategies to avoid mortality.</p>","PeriodicalId":39064,"journal":{"name":"American Journal of Case Reports","volume":"26 ","pages":"e948878"},"PeriodicalIF":0.7000,"publicationDate":"2025-09-08","publicationTypes":"Journal Article","fieldsOfStudy":null,"isOpenAccess":false,"openAccessPdf":"https://www.ncbi.nlm.nih.gov/pmc/articles/PMC12427590/pdf/","citationCount":"0","resultStr":null,"platform":"Semanticscholar","paperid":null,"PeriodicalName":"American Journal of Case Reports","FirstCategoryId":"1085","ListUrlMain":"https://doi.org/10.12659/AJCR.948878","RegionNum":0,"RegionCategory":null,"ArticlePicture":[],"TitleCN":null,"AbstractTextCN":null,"PMCID":null,"EPubDate":"","PubModel":"","JCR":"Q3","JCRName":"MEDICINE, GENERAL & INTERNAL","Score":null,"Total":0}
引用次数: 0

Abstract

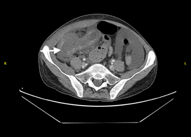
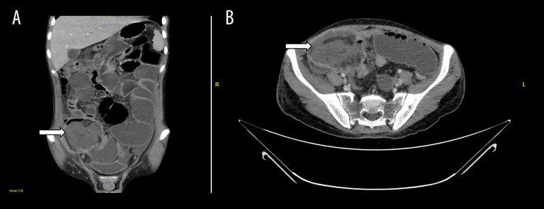
BACKGROUND Gastrointestinal mucormycosis is an underrecognized and underreported fungal infection with a high mortality rate. Diagnosis is often confounded by a non-specific constellation of signs and symptoms. We present a case of neutropenic colitis and ileocecal perforation secondary to gastrointestinal mucormycosis. CASE REPORT The patient was a 19-year-old man recently diagnosed with B-cell acute lymphoblastic leukemia, on active chemotherapy. He presented with abdominal pain and tenderness, and a contrast-enhanced CT revealed neutropenic colitis. Despite broad-spectrum antibiotics, his condition worsened, prompting reassessment. Follow-up CT showed bowel ischemia and a pelvic collection. He underwent an emergency laparotomy, which revealed destruction of the anterior cecal wall and detachment from the terminal ileum and ascending colon. Ileocecal resection was performed and histopathologic examination demonstrated angioinvasive fungal elements consistent with Mucor spp. He was diagnosed with gastrointestinal mucormycosis and promptly started on amphotericin intravenously. He improved over the next 2 weeks and was discharged with a plan to continue his 6-week course as an outpatient, followed by oral posaconazole maintenance therapy. Several weeks later, his infection relapsed secondary to non-compliance. He underwent repeat surgical debridement and antimicrobial therapy was restarted with intravenous amphotericin and Isavuconazole. He successfully completed 6 weeks of treatment and was transitioned to oral Isavuconazole prophylaxis. He remained stable and relapse-free at 6 months following his second procedure. CONCLUSIONS The case highlights the importance of early recognition of patients at risk for this infection, maintaining a high index of suspicion, and employing aggressive medical and surgical management strategies to avoid mortality.

Abstract Image

Abstract Image

Abstract Image

侵袭性胃肠道毛霉菌病表现为中性粒细胞减少性小肠结肠炎1例。
背景胃肠道毛霉病是一种未被充分认识和报道的真菌感染,死亡率高。诊断常常被一些非特异性的体征和症状所混淆。我们报告一例中性粒细胞减少性结肠炎和回盲穿孔继发于胃肠道毛霉菌病。病例报告:患者是一名19岁的男性,最近被诊断为b细胞急性淋巴细胞白血病,正在积极化疗。他表现为腹痛和压痛,增强CT显示中性粒细胞减少性结肠炎。尽管使用了广谱抗生素,他的病情还是恶化了,需要重新评估。随访CT显示肠缺血和盆腔积液。他接受了紧急剖腹手术,发现盲肠前壁破坏,回肠末端和升结肠脱离。回盲切除,组织病理学检查显示血管侵袭性真菌成分与毛霉菌属一致,诊断为胃肠道毛霉菌病,并立即开始静脉注射两性霉素。在接下来的2周内,他的病情有所改善,出院时计划继续他的6周门诊疗程,随后口服泊沙康唑维持治疗。几周后,他的感染继发于不遵医嘱。他接受了多次手术清创,并重新开始静脉注射两性霉素和异唑康唑进行抗菌治疗。他成功地完成了6周的治疗,并过渡到口服异唑康唑预防。第二次手术后6个月病情稳定无复发。结论:该病例强调了早期识别有感染风险的患者的重要性,保持高度的怀疑指数,并采用积极的医疗和手术治疗策略,以避免死亡。
本文章由计算机程序翻译,如有差异,请以英文原文为准。
求助全文
约1分钟内获得全文 求助全文
来源期刊
American Journal of Case Reports
American Journal of Case Reports Medicine-Medicine (all)
CiteScore
1.80
自引率
0.00%
发文量
599
期刊介绍: American Journal of Case Reports is an international, peer-reviewed scientific journal that publishes single and series case reports in all medical fields. American Journal of Case Reports is issued on a continuous basis as a primary electronic journal. Print copies of a single article or a set of articles can be ordered on demand.
×
引用
GB/T 7714-2015
复制
MLA
复制
APA
复制
导出至
BibTeX EndNote RefMan NoteFirst NoteExpress
×
提示
您的信息不完整,为了账户安全,请先补充。
现在去补充
×
提示
您因"违规操作"
具体请查看互助需知
我知道了
×
提示
确定
请完成安全验证×
copy
已复制链接
快去分享给好友吧!
我知道了
右上角分享
点击右上角分享
0
联系我们:info@booksci.cn Book学术提供免费学术资源搜索服务,方便国内外学者检索中英文文献。致力于提供最便捷和优质的服务体验。 Copyright © 2023 布克学术 All rights reserved.
京ICP备2023020795号-1
ghs 京公网安备 11010802042870号
Book学术文献互助
Book学术文献互助群
群 号:604180095
Book学术官方微信