Intraoperative Pneumatocele Formation during Liver Transplantation for Polycystic Liver Disease: Successful Non-Operative Management.

IF 0.7 Q4 SURGERY
Surgical Case Reports Pub Date : 2025-01-01 Epub Date: 2025-09-02 DOI:10.70352/scrj.cr.25-0341
Satoshi Takada, Shinichi Nakanuma, Renta Kobori, Takahiro Araki, Kazuki Kato, Abdulrahman Nasr, Ryohei Takei, Daisuke Saito, Kaichiro Kato, Mitsuyoshi Okazaki, Isamu Makino, Shintaro Yagi
{"title":"Intraoperative Pneumatocele Formation during Liver Transplantation for Polycystic Liver Disease: Successful Non-Operative Management.","authors":"Satoshi Takada, Shinichi Nakanuma, Renta Kobori, Takahiro Araki, Kazuki Kato, Abdulrahman Nasr, Ryohei Takei, Daisuke Saito, Kaichiro Kato, Mitsuyoshi Okazaki, Isamu Makino, Shintaro Yagi","doi":"10.70352/scrj.cr.25-0341","DOIUrl":null,"url":null,"abstract":"<p><strong>Introduction: </strong>Liver transplantation for polycystic liver disease (PLD) poses significant intraoperative risks due to the presence of a massively enlarged liver. We report a rare case of intraoperative pneumothorax and pneumatocele formation during total hepatectomy, which was successfully managed with a non-operative approach.</p><p><strong>Case presentation: </strong>A female patient in her 40s with a history of autosomal dominant polycystic kidney disease presented with progressive liver cyst enlargement (Gigot type III, Qian classification Grade 4), which led to decreased activities of daily living and intracystic hemorrhage. The patient underwent a deceased-donor liver transplantation. During mobilization of the liver from the right side of the diaphragm, the patient experienced sudden onset of pneumothorax. Incision of the diaphragm revealed a cystic structure containing a hematoma, suggesting pneumatocele formation. The pneumatocele was not resected during the ongoing operation; instead, thoracic drainage was performed as the primary intervention. Postoperatively, no air leakage was observed, and the thoracic drain was successfully removed on POD 12. The pneumatocele, which measured approximately 10 × 10 × 7 cm, showed no signs of infection, and was monitored without additional surgical intervention. On POD 19, a fever prompted further evaluation, and CT-guided cyst aspiration for culture was performed, which revealed no evidence of infection. Acute T-cell-mediated rejection was observed on POD 27, and a steroid pulse was administered, but even after that, the pneumatocele gradually decreased in size without any signs of infection.</p><p><strong>Conclusions: </strong>A pneumatocele is an uncommon but important consideration during liver transplantation for PLD, potentially resulting from barotrauma related to abrupt changes in intrathoracic pressure during hepatectomy and mechanical ventilation. Considering the risk of infection in immunosuppressed patients, close monitoring is essential. On the contrary, surgical resection also carries the risk of pulmonary or bronchial fistulae; therefore, careful consideration is required. This case demonstrates that non-operative management with careful observation can be an effective strategy in selected patients.</p>","PeriodicalId":22096,"journal":{"name":"Surgical Case Reports","volume":"11 1","pages":""},"PeriodicalIF":0.7000,"publicationDate":"2025-01-01","publicationTypes":"Journal Article","fieldsOfStudy":null,"isOpenAccess":false,"openAccessPdf":"https://www.ncbi.nlm.nih.gov/pmc/articles/PMC12414612/pdf/","citationCount":"0","resultStr":null,"platform":"Semanticscholar","paperid":null,"PeriodicalName":"Surgical Case Reports","FirstCategoryId":"1085","ListUrlMain":"https://doi.org/10.70352/scrj.cr.25-0341","RegionNum":0,"RegionCategory":null,"ArticlePicture":[],"TitleCN":null,"AbstractTextCN":null,"PMCID":null,"EPubDate":"2025/9/2 0:00:00","PubModel":"Epub","JCR":"Q4","JCRName":"SURGERY","Score":null,"Total":0}
引用次数: 0

Abstract

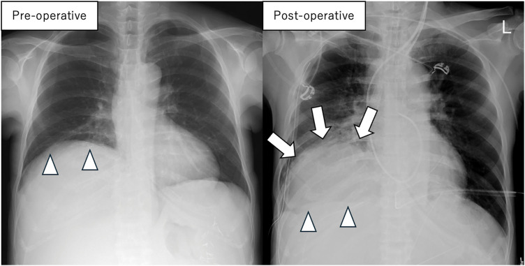
Introduction: Liver transplantation for polycystic liver disease (PLD) poses significant intraoperative risks due to the presence of a massively enlarged liver. We report a rare case of intraoperative pneumothorax and pneumatocele formation during total hepatectomy, which was successfully managed with a non-operative approach.

Case presentation: A female patient in her 40s with a history of autosomal dominant polycystic kidney disease presented with progressive liver cyst enlargement (Gigot type III, Qian classification Grade 4), which led to decreased activities of daily living and intracystic hemorrhage. The patient underwent a deceased-donor liver transplantation. During mobilization of the liver from the right side of the diaphragm, the patient experienced sudden onset of pneumothorax. Incision of the diaphragm revealed a cystic structure containing a hematoma, suggesting pneumatocele formation. The pneumatocele was not resected during the ongoing operation; instead, thoracic drainage was performed as the primary intervention. Postoperatively, no air leakage was observed, and the thoracic drain was successfully removed on POD 12. The pneumatocele, which measured approximately 10 × 10 × 7 cm, showed no signs of infection, and was monitored without additional surgical intervention. On POD 19, a fever prompted further evaluation, and CT-guided cyst aspiration for culture was performed, which revealed no evidence of infection. Acute T-cell-mediated rejection was observed on POD 27, and a steroid pulse was administered, but even after that, the pneumatocele gradually decreased in size without any signs of infection.

Conclusions: A pneumatocele is an uncommon but important consideration during liver transplantation for PLD, potentially resulting from barotrauma related to abrupt changes in intrathoracic pressure during hepatectomy and mechanical ventilation. Considering the risk of infection in immunosuppressed patients, close monitoring is essential. On the contrary, surgical resection also carries the risk of pulmonary or bronchial fistulae; therefore, careful consideration is required. This case demonstrates that non-operative management with careful observation can be an effective strategy in selected patients.

Abstract Image

Abstract Image

Abstract Image

多囊性肝病肝移植术中形成气膨出:成功的非手术治疗。
导言:多囊性肝病(PLD)的肝移植术中存在巨大的肝肿大风险。我们报告一例在全肝切除术中出现术中气胸和气膨出的罕见病例,并成功地采用非手术方法处理。病例介绍:40多岁女性,常染色体显性多囊肾病病史,表现为进行性肝囊肿增大(Gigot III型,Qian分类4级),导致日常生活活动能力下降,囊内出血。患者接受了已故供者的肝移植。在从横膈膜右侧移动肝脏时,患者突然出现气胸。横膈膜切口显示囊性结构含血肿,提示气肿形成。术中未切除气精囊肿;相反,胸腔引流作为主要干预措施。术后无漏气,经POD 12成功清除胸腔引流管。肺膨出尺寸约为10 × 10 × 7厘米,未显示感染迹象,在没有额外手术干预的情况下进行监测。在POD 19中,发烧促使进一步评估,并在ct引导下进行囊肿抽吸培养,未发现感染的证据。在POD 27中观察到急性t细胞介导的排斥反应,并给予类固醇脉冲,但即使在此之后,气精囊肿逐渐变小,没有任何感染迹象。结论:肺膨出是PLD肝移植中不常见但重要的考虑因素,可能是由肝切除术和机械通气期间胸内压力突变相关的气压损伤引起的。考虑到免疫抑制患者的感染风险,密切监测是必要的。相反,手术切除也有发生肺瘘或支气管瘘的风险;因此,需要仔细考虑。本病例表明,在选定的患者中,非手术治疗和仔细观察是有效的策略。
本文章由计算机程序翻译,如有差异,请以英文原文为准。
求助全文
约1分钟内获得全文 求助全文
来源期刊
自引率
0.00%
发文量
218
审稿时长
13 weeks
×
引用
GB/T 7714-2015
复制
MLA
复制
APA
复制
导出至
BibTeX EndNote RefMan NoteFirst NoteExpress
×
提示
您的信息不完整,为了账户安全,请先补充。
现在去补充
×
提示
您因"违规操作"
具体请查看互助需知
我知道了
×
提示
确定
请完成安全验证×
copy
已复制链接
快去分享给好友吧!
我知道了
右上角分享
点击右上角分享
0
联系我们:info@booksci.cn Book学术提供免费学术资源搜索服务,方便国内外学者检索中英文文献。致力于提供最便捷和优质的服务体验。 Copyright © 2023 布克学术 All rights reserved.
京ICP备2023020795号-1
ghs 京公网安备 11010802042870号
Book学术文献互助
Book学术文献互助群
群 号:604180095
Book学术官方微信