Combining Plate and Ilizarov Fixation for Tibial Fracture in a 95-Year-Old Woman: A Case Report.

IF 0.7 Q3 MEDICINE, GENERAL & INTERNAL
Shunsuke Sato, Satoshi Hatashita, Michiyuki Hakozaki, Yoichi Kaneuchi, Takuya Kameda, Yoshifumi Kawamae, Masayuki Ito, Yoshihiro Matsumoto
{"title":"Combining Plate and Ilizarov Fixation for Tibial Fracture in a 95-Year-Old Woman: A Case Report.","authors":"Shunsuke Sato, Satoshi Hatashita, Michiyuki Hakozaki, Yoichi Kaneuchi, Takuya Kameda, Yoshifumi Kawamae, Masayuki Ito, Yoshihiro Matsumoto","doi":"10.12659/AJCR.949273","DOIUrl":null,"url":null,"abstract":"<p><p>BACKGROUND Periprosthetic tibial fractures following total knee arthroplasty (TKA) are increasingly encountered in very elderly patients, where multiple comorbidities and osteoporosis compromise early mobilization and elevate the risk of complications. Maintaining pre-injury activities of daily living (ADL) while ensuring safe surgical management is challenging. We present a case of a 95-year-old woman with a periprosthetic tibial shaft fracture managed with open reduction, additional plate fixation, and Ilizarov external fixation, enabling immediate postoperative weight-bearing. CASE REPORT A 95-year-old woman who sustained a periprosthetic tibial shaft fracture after a fall had been independently ambulatory indoors and used a cane outdoors. On admission, radiographs showed a Felix Type III tibial fracture. Six days after the injury, the fracture was stabilized using Ilizarov external fixator with additional internal fixation using a small locking plate. This combined approach allowed immediate full weight-bearing from the day after surgery. She had no major complications; a minor pin-site infection was managed conservatively. Bone union was confirmed on computed tomography (CT) at 4 months, and the external fixator was removed. At 1 year, radiographs showed good alignment, and she walked independently without a cane. CONCLUSIONS This case demonstrates that combining Ilizarov external fixation with internal plate fixation can enable immediate postoperative weight-bearing and functional recovery, even in very elderly patients with periprosthetic tibial shaft fractures and severe osteoporosis.</p>","PeriodicalId":39064,"journal":{"name":"American Journal of Case Reports","volume":"26 ","pages":"e949273"},"PeriodicalIF":0.7000,"publicationDate":"2025-09-07","publicationTypes":"Journal Article","fieldsOfStudy":null,"isOpenAccess":false,"openAccessPdf":"https://www.ncbi.nlm.nih.gov/pmc/articles/PMC12424475/pdf/","citationCount":"0","resultStr":null,"platform":"Semanticscholar","paperid":null,"PeriodicalName":"American Journal of Case Reports","FirstCategoryId":"1085","ListUrlMain":"https://doi.org/10.12659/AJCR.949273","RegionNum":0,"RegionCategory":null,"ArticlePicture":[],"TitleCN":null,"AbstractTextCN":null,"PMCID":null,"EPubDate":"","PubModel":"","JCR":"Q3","JCRName":"MEDICINE, GENERAL & INTERNAL","Score":null,"Total":0}
引用次数: 0

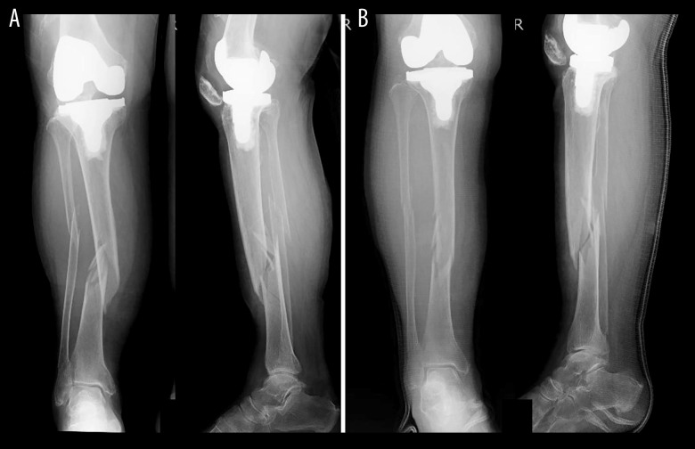
Abstract

BACKGROUND Periprosthetic tibial fractures following total knee arthroplasty (TKA) are increasingly encountered in very elderly patients, where multiple comorbidities and osteoporosis compromise early mobilization and elevate the risk of complications. Maintaining pre-injury activities of daily living (ADL) while ensuring safe surgical management is challenging. We present a case of a 95-year-old woman with a periprosthetic tibial shaft fracture managed with open reduction, additional plate fixation, and Ilizarov external fixation, enabling immediate postoperative weight-bearing. CASE REPORT A 95-year-old woman who sustained a periprosthetic tibial shaft fracture after a fall had been independently ambulatory indoors and used a cane outdoors. On admission, radiographs showed a Felix Type III tibial fracture. Six days after the injury, the fracture was stabilized using Ilizarov external fixator with additional internal fixation using a small locking plate. This combined approach allowed immediate full weight-bearing from the day after surgery. She had no major complications; a minor pin-site infection was managed conservatively. Bone union was confirmed on computed tomography (CT) at 4 months, and the external fixator was removed. At 1 year, radiographs showed good alignment, and she walked independently without a cane. CONCLUSIONS This case demonstrates that combining Ilizarov external fixation with internal plate fixation can enable immediate postoperative weight-bearing and functional recovery, even in very elderly patients with periprosthetic tibial shaft fractures and severe osteoporosis.

Abstract Image

Abstract Image

Abstract Image

钢板联合Ilizarov固定治疗95岁女性胫骨骨折1例。
背景:全膝关节置换术(TKA)后胫骨假体周围骨折越来越多地出现在高龄患者中,其中多种合并症和骨质疏松症损害了早期活动并增加了并发症的风险。维持损伤前的日常生活活动(ADL),同时确保安全的手术管理是具有挑战性的。我们报告了一例95岁的女性假体周围胫骨干骨折,采用切开复位、附加钢板固定和Ilizarov外固定,使术后立即负重。病例报告:一名95岁的女性在跌倒后发生假体周围胫骨轴骨折,在室内可以独立活动,在室外使用拐杖。入院时,x线片显示Felix III型胫骨骨折。受伤6天后,使用Ilizarov外固定架稳定骨折,并使用小锁定钢板进行额外内固定。这种联合方法可以在手术后的第二天立即完全负重。她没有重大并发症;轻微的针部感染保守处理。4个月时,计算机断层扫描(CT)证实骨愈合,并拆除外固定架。1岁时,x光片显示对齐良好,无需拐杖即可独立行走。结论:本病例表明,Ilizarov外固定联合钢板内固定可以使术后立即负重和功能恢复,即使是非常高龄的胫骨干周围骨折和严重骨质疏松症患者。
本文章由计算机程序翻译,如有差异,请以英文原文为准。
求助全文
约1分钟内获得全文 求助全文
来源期刊
American Journal of Case Reports
American Journal of Case Reports Medicine-Medicine (all)
CiteScore
1.80
自引率
0.00%
发文量
599
期刊介绍: American Journal of Case Reports is an international, peer-reviewed scientific journal that publishes single and series case reports in all medical fields. American Journal of Case Reports is issued on a continuous basis as a primary electronic journal. Print copies of a single article or a set of articles can be ordered on demand.
×
引用
GB/T 7714-2015
复制
MLA
复制
APA
复制
导出至
BibTeX EndNote RefMan NoteFirst NoteExpress
×
提示
您的信息不完整,为了账户安全,请先补充。
现在去补充
×
提示
您因"违规操作"
具体请查看互助需知
我知道了
×
提示
确定
请完成安全验证×
copy
已复制链接
快去分享给好友吧!
我知道了
右上角分享
点击右上角分享
0
联系我们:info@booksci.cn Book学术提供免费学术资源搜索服务,方便国内外学者检索中英文文献。致力于提供最便捷和优质的服务体验。 Copyright © 2023 布克学术 All rights reserved.
京ICP备2023020795号-1
ghs 京公网安备 11010802042870号
Book学术文献互助
Book学术文献互助群
群 号:604180095
Book学术官方微信