Smartwatch bradycardia alarms leading to a diagnosis of lamin A/C cardiomyopathy: a case report.

IF 0.8 Q4 CARDIAC & CARDIOVASCULAR SYSTEMS
European Heart Journal: Case Reports Pub Date : 2025-08-23 eCollection Date: 2025-09-01 DOI:10.1093/ehjcr/ytaf415
Joshua A Rushakoff, Karen Flores Rosario, Phoenix Grover, Andrew Wang
{"title":"Smartwatch bradycardia alarms leading to a diagnosis of lamin A/C cardiomyopathy: a case report.","authors":"Joshua A Rushakoff, Karen Flores Rosario, Phoenix Grover, Andrew Wang","doi":"10.1093/ehjcr/ytaf415","DOIUrl":null,"url":null,"abstract":"<p><strong>Background: </strong>Genetic aetiologies of early-onset arrhythmias and cardiomyopathy (CM) are common, but timely diagnosis requires a high index of suspicion.</p><p><strong>Case summary: </strong>An asymptomatic 47-year-old man presented to cardiology clinic for smartwatch low-rate alarms. His brother had exertional syncope and died in his 20s from heart failure. Transthoracic echocardiogram showed reduced left ventricular ejection fraction (35%). A Holter monitor showed third-degree atrioventricular block and frequent pauses (longest 4.9 s). He was admitted to the hospital and following a cardiac magnetic resonance imaging with late gadolinium enhancement a cardiac resynchronization therapy-defibrillator was placed. Genetic testing identified a pathogenic variant in the lamins protein A and C (LMNA) gene.</p><p><strong>Discussion: </strong>Left ventricular dysfunction with or without arrhythmias should raise concern for familial CM and warrants further evaluation. Lamin A/C cardiomyopathy is the second most prevalent cause of familial dilated CM and is notable for an indolent course with conduction disturbances that frequently precede left ventricular dysfunction. Smartwatch alarms can potentially help with the early identification of patients with risk factors for familial CM before the development of overt symptoms.</p>","PeriodicalId":11910,"journal":{"name":"European Heart Journal: Case Reports","volume":"9 9","pages":"ytaf415"},"PeriodicalIF":0.8000,"publicationDate":"2025-08-23","publicationTypes":"Journal Article","fieldsOfStudy":null,"isOpenAccess":false,"openAccessPdf":"https://www.ncbi.nlm.nih.gov/pmc/articles/PMC12412439/pdf/","citationCount":"0","resultStr":null,"platform":"Semanticscholar","paperid":null,"PeriodicalName":"European Heart Journal: Case Reports","FirstCategoryId":"1085","ListUrlMain":"https://doi.org/10.1093/ehjcr/ytaf415","RegionNum":0,"RegionCategory":null,"ArticlePicture":[],"TitleCN":null,"AbstractTextCN":null,"PMCID":null,"EPubDate":"2025/9/1 0:00:00","PubModel":"eCollection","JCR":"Q4","JCRName":"CARDIAC & CARDIOVASCULAR SYSTEMS","Score":null,"Total":0}
引用次数: 0

Abstract

Background: Genetic aetiologies of early-onset arrhythmias and cardiomyopathy (CM) are common, but timely diagnosis requires a high index of suspicion.

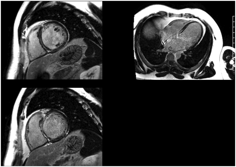
Case summary: An asymptomatic 47-year-old man presented to cardiology clinic for smartwatch low-rate alarms. His brother had exertional syncope and died in his 20s from heart failure. Transthoracic echocardiogram showed reduced left ventricular ejection fraction (35%). A Holter monitor showed third-degree atrioventricular block and frequent pauses (longest 4.9 s). He was admitted to the hospital and following a cardiac magnetic resonance imaging with late gadolinium enhancement a cardiac resynchronization therapy-defibrillator was placed. Genetic testing identified a pathogenic variant in the lamins protein A and C (LMNA) gene.

Discussion: Left ventricular dysfunction with or without arrhythmias should raise concern for familial CM and warrants further evaluation. Lamin A/C cardiomyopathy is the second most prevalent cause of familial dilated CM and is notable for an indolent course with conduction disturbances that frequently precede left ventricular dysfunction. Smartwatch alarms can potentially help with the early identification of patients with risk factors for familial CM before the development of overt symptoms.

Abstract Image

Abstract Image

Abstract Image

智能手表心动过缓警报导致层粘连蛋白a /C心肌病的诊断:一例报告。
背景:早发性心律失常和心肌病(CM)的遗传病因是常见的,但及时诊断需要高度的怀疑。病例总结:一名47岁无症状男性因智能手表低频率报警到心脏病科诊所就诊。他的哥哥曾患有劳累性晕厥,20多岁时死于心力衰竭。经胸超声心动图显示左心室射血分数降低(35%)。动态心电图显示三度房室传导阻滞和频繁停顿(最长4.9 s)。他住进了医院,在心脏磁共振成像和晚期钆增强后,放置了心脏再同步化治疗-除颤器。基因检测发现了层粘连蛋白a和C (LMNA)基因的致病变异。讨论:伴有或不伴有心律失常的左心室功能障碍应引起对家族性CM的关注,并需要进一步评估。纤层蛋白A/C型心肌病是家族性扩张型CM的第二大常见病因,其特点是在左心室功能障碍之前经常出现传导障碍的惰性过程。智能手表警报可能有助于在出现明显症状之前早期识别具有家族性CM风险因素的患者。
本文章由计算机程序翻译,如有差异,请以英文原文为准。
求助全文
约1分钟内获得全文 求助全文
来源期刊
European Heart Journal: Case Reports
European Heart Journal: Case Reports Medicine-Cardiology and Cardiovascular Medicine
CiteScore
1.30
自引率
10.00%
发文量
451
审稿时长
14 weeks
×
引用
GB/T 7714-2015
复制
MLA
复制
APA
复制
导出至
BibTeX EndNote RefMan NoteFirst NoteExpress
×
提示
您的信息不完整,为了账户安全,请先补充。
现在去补充
×
提示
您因"违规操作"
具体请查看互助需知
我知道了
×
提示
确定
请完成安全验证×
copy
已复制链接
快去分享给好友吧!
我知道了
右上角分享
点击右上角分享
0
联系我们:info@booksci.cn Book学术提供免费学术资源搜索服务,方便国内外学者检索中英文文献。致力于提供最便捷和优质的服务体验。 Copyright © 2023 布克学术 All rights reserved.
京ICP备2023020795号-1
ghs 京公网安备 11010802042870号
Book学术文献互助
Book学术文献互助群
群 号:604180095
Book学术官方微信