Multimodal treatment approach with sunitinib, pembrolizumab, bevacizumab, sirolimus, and zoledronic acid for locally advanced clear cell renal cell carcinoma: a case report.

IF 2.3 4区 医学 Q2 MEDICINE, GENERAL & INTERNAL
Croatian Medical Journal Pub Date : 2025-08-31
Mahdi Mehrabi, Mohammadreza Eslami, Mehrdad Payandeh
{"title":"Multimodal treatment approach with sunitinib, pembrolizumab, bevacizumab, sirolimus, and zoledronic acid for locally advanced clear cell renal cell carcinoma: a case report.","authors":"Mahdi Mehrabi, Mohammadreza Eslami, Mehrdad Payandeh","doi":"","DOIUrl":null,"url":null,"abstract":"<p><p>Locally advanced renal cell carcinoma (RCC) presents significant therapeutic challenges, particularly in resource-limited settings with restricted access to new therapies. This report describes a new exploratory multimodal therapeutic approach for a patient with locally advanced clear cell RCC (ccRCC) with adrenal and lymph node metastases. A 45-year-old woman presented with an incidentally discovered 9-cm mass in the left kidney, which was later diagnosed as grade-2 ccRCC with adrenal and lymph node involvement. After radical nephrectomy, a multimodal treatment regimen consisting of sunitinib, pembrolizumab, bevacizumab, sirolimus, and zoledronic acid was initiated. Following eight cycles of treatment, computed tomography imaging and ultrasound showed considerable tumor shrinkage, with residual mass decreasing from 22 × 42 mm to 22 × 18 mm, which constituted a \"radiologically complete response.\" The patient had compensatory hypertrophy of the contralateral kidney with preserved renal function. This case illustrates the potential efficacy of a novel multimodal treatment strategy combining targeted therapies, immunotherapy, and bone-modifying agents in a resource-limited setting. Further research is needed to validate this approach in larger, diverse patient cohorts.</p>","PeriodicalId":10796,"journal":{"name":"Croatian Medical Journal","volume":"66 4","pages":"299-304"},"PeriodicalIF":2.3000,"publicationDate":"2025-08-31","publicationTypes":"Journal Article","fieldsOfStudy":null,"isOpenAccess":false,"openAccessPdf":"https://www.ncbi.nlm.nih.gov/pmc/articles/PMC12424197/pdf/","citationCount":"0","resultStr":null,"platform":"Semanticscholar","paperid":null,"PeriodicalName":"Croatian Medical Journal","FirstCategoryId":"3","ListUrlMain":"","RegionNum":4,"RegionCategory":"医学","ArticlePicture":[],"TitleCN":null,"AbstractTextCN":null,"PMCID":null,"EPubDate":"","PubModel":"","JCR":"Q2","JCRName":"MEDICINE, GENERAL & INTERNAL","Score":null,"Total":0}
引用次数: 0

Abstract

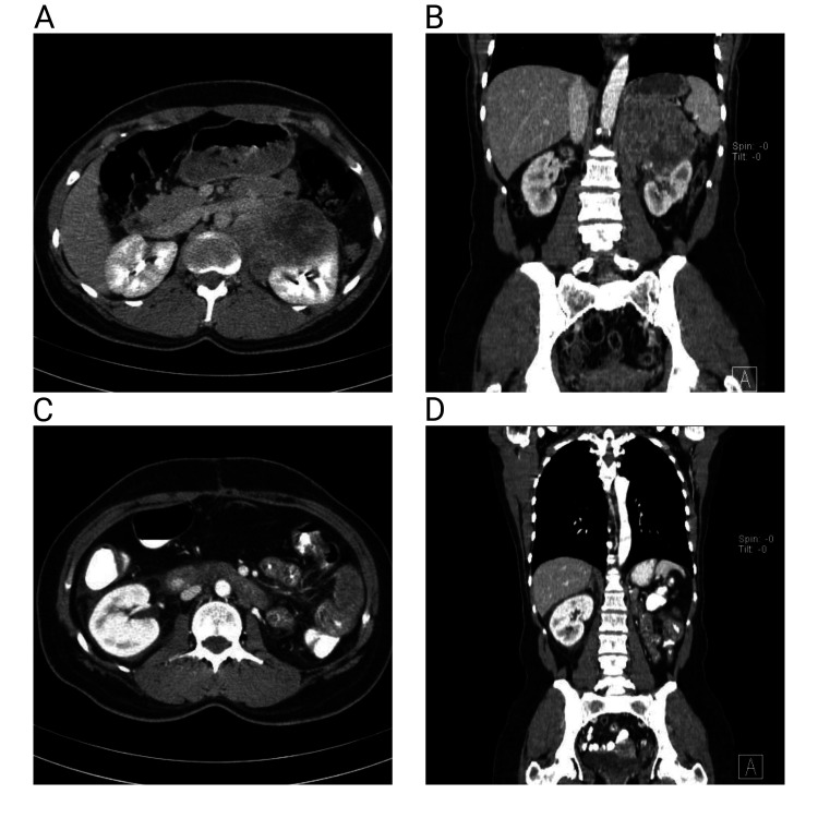
Locally advanced renal cell carcinoma (RCC) presents significant therapeutic challenges, particularly in resource-limited settings with restricted access to new therapies. This report describes a new exploratory multimodal therapeutic approach for a patient with locally advanced clear cell RCC (ccRCC) with adrenal and lymph node metastases. A 45-year-old woman presented with an incidentally discovered 9-cm mass in the left kidney, which was later diagnosed as grade-2 ccRCC with adrenal and lymph node involvement. After radical nephrectomy, a multimodal treatment regimen consisting of sunitinib, pembrolizumab, bevacizumab, sirolimus, and zoledronic acid was initiated. Following eight cycles of treatment, computed tomography imaging and ultrasound showed considerable tumor shrinkage, with residual mass decreasing from 22 × 42 mm to 22 × 18 mm, which constituted a "radiologically complete response." The patient had compensatory hypertrophy of the contralateral kidney with preserved renal function. This case illustrates the potential efficacy of a novel multimodal treatment strategy combining targeted therapies, immunotherapy, and bone-modifying agents in a resource-limited setting. Further research is needed to validate this approach in larger, diverse patient cohorts.

Abstract Image

舒尼替尼、派姆单抗、贝伐单抗、西罗莫司和唑来膦酸联合治疗局部晚期透明细胞肾细胞癌1例
局部晚期肾细胞癌(RCC)提出了重大的治疗挑战,特别是在资源有限的环境中,难以获得新的治疗方法。本报告描述了一种新的探索性多模式治疗方法,用于治疗伴有肾上腺和淋巴结转移的局部晚期透明细胞RCC (ccRCC)患者。患者45岁,左肾偶然发现9厘米肿块,后诊断为2级ccRCC,累及肾上腺和淋巴结。根治性肾切除术后,开始了由舒尼替尼、派姆单抗、贝伐单抗、西罗莫司和唑来膦酸组成的多模式治疗方案。经过8个周期的治疗,计算机断层成像和超声显示肿瘤明显缩小,残余肿块从22 × 42 mm减少到22 × 18 mm,这构成了“放射学完全缓解”。患者对侧肾脏代偿性肥大,肾功能保留。该病例说明了在资源有限的情况下,结合靶向治疗、免疫治疗和骨修饰剂的新型多模式治疗策略的潜在疗效。需要进一步的研究来验证这种方法在更大、更多样化的患者群体中的有效性。
本文章由计算机程序翻译,如有差异,请以英文原文为准。
求助全文
约1分钟内获得全文 求助全文
来源期刊
Croatian Medical Journal
Croatian Medical Journal 医学-医学:内科
CiteScore
3.00
自引率
5.30%
发文量
105
审稿时长
6-12 weeks
期刊介绍: Croatian Medical Journal (CMJ) is an international peer reviewed journal open to scientists from all fields of biomedicine and health related research. Although CMJ welcomes all contributions that increase and expand on medical knowledge, the two areas are of the special interest: topics globally relevant for biomedicine and health and medicine in developing and emerging countries.
×
引用
GB/T 7714-2015
复制
MLA
复制
APA
复制
导出至
BibTeX EndNote RefMan NoteFirst NoteExpress
×
提示
您的信息不完整,为了账户安全,请先补充。
现在去补充
×
提示
您因"违规操作"
具体请查看互助需知
我知道了
×
提示
确定
请完成安全验证×
copy
已复制链接
快去分享给好友吧!
我知道了
右上角分享
点击右上角分享
0
联系我们:info@booksci.cn Book学术提供免费学术资源搜索服务,方便国内外学者检索中英文文献。致力于提供最便捷和优质的服务体验。 Copyright © 2023 布克学术 All rights reserved.
京ICP备2023020795号-1
ghs 京公网安备 11010802042870号
Book学术文献互助
Book学术文献互助群
群 号:604180095
Book学术官方微信