A Case of Ectopic Spleen Transplanted Into the Sigmoid Colon and Pelvic Peritoneum.

IF 0.7 Q3 MEDICINE, GENERAL & INTERNAL
Case Reports in Medicine Pub Date : 2025-08-29 eCollection Date: 2025-01-01 DOI:10.1155/carm/4875687
Ming Liu, Miao Zhang, Jingyu Xiang, Yifang Zhang, Jian Liu
{"title":"A Case of Ectopic Spleen Transplanted Into the Sigmoid Colon and Pelvic Peritoneum.","authors":"Ming Liu, Miao Zhang, Jingyu Xiang, Yifang Zhang, Jian Liu","doi":"10.1155/carm/4875687","DOIUrl":null,"url":null,"abstract":"<p><p>Ectopic spleen (ES) is a rare complication of autologous transplant following spleen injury. Autopsy studies suggest that the true incidence rate could be as high as 67%, though only 5%-10% of patients require clinical intervention. This case report describes a highly cautionary case of ES, with an extremely long latent period. The patient presented with dull lower abdominal pain 24 years after undergoing a splenectomy. An ultrasound examination revealed a round-shaped, solid mass measuring 1.6 × 2.5 cm adjacent to the right ovary. Following laparoscopic surgery, a 2.5 × 1.5 cm mass on the surface of the sigmoid colon and a 1.0 cm dark red nodule on the pelvic floor were completely removed. Pathological and immunohistochemical examinations confirmed that both lesions were splenic tissue. This case highlights the fact that the latent period of ES can last for decades. For patients with a history of splenectomy, any new pelvic or abdominal masses should be included in the differential diagnosis of ES. We urge the implementation of standardized long-term follow-up mechanisms combined with multimodal imaging techniques for a comprehensive assessment in order to effectively avoid misdiagnosis and overtreatment.</p>","PeriodicalId":9627,"journal":{"name":"Case Reports in Medicine","volume":"2025 ","pages":"4875687"},"PeriodicalIF":0.7000,"publicationDate":"2025-08-29","publicationTypes":"Journal Article","fieldsOfStudy":null,"isOpenAccess":false,"openAccessPdf":"https://www.ncbi.nlm.nih.gov/pmc/articles/PMC12413271/pdf/","citationCount":"0","resultStr":null,"platform":"Semanticscholar","paperid":null,"PeriodicalName":"Case Reports in Medicine","FirstCategoryId":"1085","ListUrlMain":"https://doi.org/10.1155/carm/4875687","RegionNum":0,"RegionCategory":null,"ArticlePicture":[],"TitleCN":null,"AbstractTextCN":null,"PMCID":null,"EPubDate":"2025/1/1 0:00:00","PubModel":"eCollection","JCR":"Q3","JCRName":"MEDICINE, GENERAL & INTERNAL","Score":null,"Total":0}
引用次数: 0

Abstract

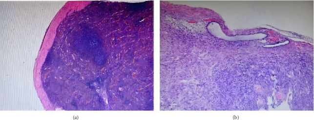
Ectopic spleen (ES) is a rare complication of autologous transplant following spleen injury. Autopsy studies suggest that the true incidence rate could be as high as 67%, though only 5%-10% of patients require clinical intervention. This case report describes a highly cautionary case of ES, with an extremely long latent period. The patient presented with dull lower abdominal pain 24 years after undergoing a splenectomy. An ultrasound examination revealed a round-shaped, solid mass measuring 1.6 × 2.5 cm adjacent to the right ovary. Following laparoscopic surgery, a 2.5 × 1.5 cm mass on the surface of the sigmoid colon and a 1.0 cm dark red nodule on the pelvic floor were completely removed. Pathological and immunohistochemical examinations confirmed that both lesions were splenic tissue. This case highlights the fact that the latent period of ES can last for decades. For patients with a history of splenectomy, any new pelvic or abdominal masses should be included in the differential diagnosis of ES. We urge the implementation of standardized long-term follow-up mechanisms combined with multimodal imaging techniques for a comprehensive assessment in order to effectively avoid misdiagnosis and overtreatment.

Abstract Image

Abstract Image

Abstract Image

异位脾移植至乙状结肠及盆腔腹膜1例。
脾异位(ES)是脾脏损伤后自体移植的罕见并发症。尸检研究表明,真实的发病率可能高达67%,尽管只有5%-10%的患者需要临床干预。本病例报告描述了一个高度警惕的ES病例,潜伏期极长。患者在脾切除术后24年出现钝性下腹痛。超声检查示右侧卵巢旁圆形实性肿块,大小1.6 × 2.5 cm。腹腔镜手术后,乙状结肠表面2.5 × 1.5 cm的肿块和盆底1.0 cm的暗红色结节被完全切除。病理和免疫组化检查证实两例病变均为脾组织。这个病例突出了一个事实,即ES的潜伏期可以持续几十年。对于有脾切除术史的患者,任何新的盆腔或腹部肿块都应包括在ES的鉴别诊断中。我们敦促实施标准化的长期随访机制,结合多模态成像技术进行综合评估,以有效避免误诊和过度治疗。
本文章由计算机程序翻译,如有差异,请以英文原文为准。
求助全文
约1分钟内获得全文 求助全文
来源期刊
Case Reports in Medicine
Case Reports in Medicine MEDICINE, GENERAL & INTERNAL-
CiteScore
1.70
自引率
0.00%
发文量
53
审稿时长
13 weeks
×
引用
GB/T 7714-2015
复制
MLA
复制
APA
复制
导出至
BibTeX EndNote RefMan NoteFirst NoteExpress
×
提示
您的信息不完整,为了账户安全,请先补充。
现在去补充
×
提示
您因"违规操作"
具体请查看互助需知
我知道了
×
提示
确定
请完成安全验证×
copy
已复制链接
快去分享给好友吧!
我知道了
右上角分享
点击右上角分享
0
联系我们:info@booksci.cn Book学术提供免费学术资源搜索服务,方便国内外学者检索中英文文献。致力于提供最便捷和优质的服务体验。 Copyright © 2023 布克学术 All rights reserved.
京ICP备2023020795号-1
ghs 京公网安备 11010802042870号
Book学术文献互助
Book学术文献互助群
群 号:604180095
Book学术官方微信