Noninvasive Maternal-Fetal Hemodynamic Monitoring as A Predictor of Severe Preeclampsia in Low-Resource Settings: A Case Report.

IF 0.6 Q4 PEDIATRICS
AJP Reports Pub Date : 2025-09-05 eCollection Date: 2025-07-01 DOI:10.1055/a-2689-2550
Lilian Toledo-Jaldin, Richard Gomez, Litzi Lazo-Vega, Alison Larrea, Adolfo Vásquez, Wilson Ormachea-Orellana, Valquiria Miranda-Girrado, Colleen G Julian
{"title":"Noninvasive Maternal-Fetal Hemodynamic Monitoring as A Predictor of Severe Preeclampsia in Low-Resource Settings: A Case Report.","authors":"Lilian Toledo-Jaldin, Richard Gomez, Litzi Lazo-Vega, Alison Larrea, Adolfo Vásquez, Wilson Ormachea-Orellana, Valquiria Miranda-Girrado, Colleen G Julian","doi":"10.1055/a-2689-2550","DOIUrl":null,"url":null,"abstract":"<p><p>Preeclampsia is a multiorgan vascular disease complicating approximately 8.5 million pregnancies worldwide annually and is a leading cause of maternal and neonatal mortality. The impact is especially severe in Latin America, where maternal deaths attributable to preeclampsia are 2.5 times higher than in any other region. Bolivia is particularly affected due to economic and environmental challenges, including high altitude, which increases the risk of fetal growth restriction and hypertensive disorders of pregnancy. Early and accessible diagnostic tools are required to maximize patient care and improve reproductive outcomes in limited-resource settings. This report details a case from Bolivia of rapid-onset severe preeclampsia with liver rupture in the third trimester; the patient required multiple surgical interventions for recurrent liver bleeding and extended hospitalization in the intensive care unit (ICU). She delivered a preterm, growth-restricted infant with signs of acute hypoxia by emergency cesarean section. Notably, 2 weeks before ICU admission, abnormal uterine artery and maternal hemodynamic measurements were detected, without other signs of preeclampsia. The patient had previously been healthy and was considered low risk. Both mother and newborn survived. This case underscores the value of combining uterine artery Doppler with maternal hemodynamics to identify high-risk pregnancies early and prevent life-threatening complications.</p>","PeriodicalId":7645,"journal":{"name":"AJP Reports","volume":"15 3","pages":"e142-e145"},"PeriodicalIF":0.6000,"publicationDate":"2025-09-05","publicationTypes":"Journal Article","fieldsOfStudy":null,"isOpenAccess":false,"openAccessPdf":"https://www.ncbi.nlm.nih.gov/pmc/articles/PMC12413273/pdf/","citationCount":"0","resultStr":null,"platform":"Semanticscholar","paperid":null,"PeriodicalName":"AJP Reports","FirstCategoryId":"1085","ListUrlMain":"https://doi.org/10.1055/a-2689-2550","RegionNum":0,"RegionCategory":null,"ArticlePicture":[],"TitleCN":null,"AbstractTextCN":null,"PMCID":null,"EPubDate":"2025/7/1 0:00:00","PubModel":"eCollection","JCR":"Q4","JCRName":"PEDIATRICS","Score":null,"Total":0}
引用次数: 0

Abstract

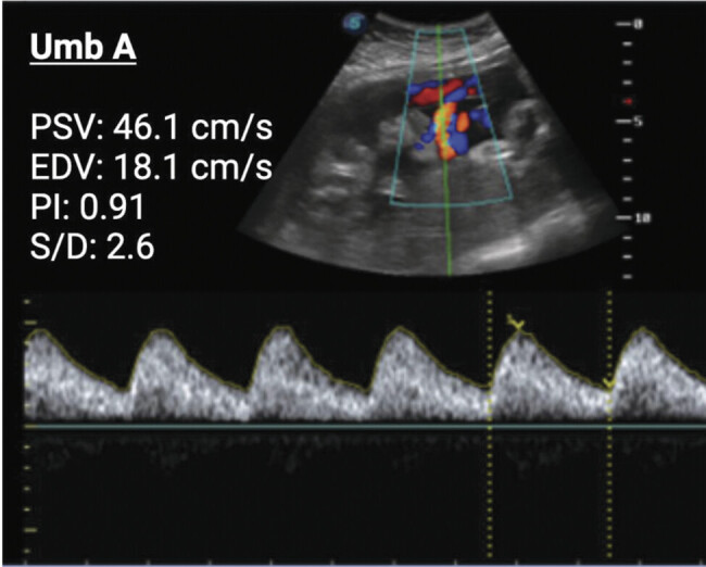
Preeclampsia is a multiorgan vascular disease complicating approximately 8.5 million pregnancies worldwide annually and is a leading cause of maternal and neonatal mortality. The impact is especially severe in Latin America, where maternal deaths attributable to preeclampsia are 2.5 times higher than in any other region. Bolivia is particularly affected due to economic and environmental challenges, including high altitude, which increases the risk of fetal growth restriction and hypertensive disorders of pregnancy. Early and accessible diagnostic tools are required to maximize patient care and improve reproductive outcomes in limited-resource settings. This report details a case from Bolivia of rapid-onset severe preeclampsia with liver rupture in the third trimester; the patient required multiple surgical interventions for recurrent liver bleeding and extended hospitalization in the intensive care unit (ICU). She delivered a preterm, growth-restricted infant with signs of acute hypoxia by emergency cesarean section. Notably, 2 weeks before ICU admission, abnormal uterine artery and maternal hemodynamic measurements were detected, without other signs of preeclampsia. The patient had previously been healthy and was considered low risk. Both mother and newborn survived. This case underscores the value of combining uterine artery Doppler with maternal hemodynamics to identify high-risk pregnancies early and prevent life-threatening complications.

Abstract Image

Abstract Image

无创母胎血流动力学监测作为低资源环境中严重子痫前期的预测因子:一个病例报告。
子痫前期是一种多器官血管疾病,全世界每年约有850万例妊娠伴发,是孕产妇和新生儿死亡的主要原因。这种影响在拉丁美洲尤其严重,该地区因子痫前期导致的孕产妇死亡率是任何其他区域的2.5倍。玻利维亚尤其受到经济和环境挑战的影响,包括高海拔,这增加了胎儿生长受限和妊娠高血压疾病的风险。需要早期和可获得的诊断工具,以便在资源有限的环境中最大限度地对患者进行护理并改善生殖结果。本报告详细介绍了一例来自玻利维亚的急性重度先兆子痫伴妊娠晚期肝破裂的病例;该患者因复发性肝出血需要多次手术治疗,并延长了在重症监护病房(ICU)的住院时间。她通过紧急剖宫产生下了一个早产、生长受限、有急性缺氧迹象的婴儿。值得注意的是,在入院前2周,子宫动脉及母体血流动力学测量均出现异常,未发现其他子痫前期体征。该患者此前一直健康,被认为是低风险患者。母亲和新生儿都活了下来。本病例强调了子宫动脉多普勒与母体血流动力学相结合对早期识别高危妊娠和预防危及生命的并发症的价值。
本文章由计算机程序翻译,如有差异,请以英文原文为准。
求助全文
约1分钟内获得全文 求助全文
来源期刊
AJP Reports
AJP Reports PEDIATRICS-
CiteScore
2.20
自引率
0.00%
发文量
30
审稿时长
12 weeks
×
引用
GB/T 7714-2015
复制
MLA
复制
APA
复制
导出至
BibTeX EndNote RefMan NoteFirst NoteExpress
×
提示
您的信息不完整,为了账户安全,请先补充。
现在去补充
×
提示
您因"违规操作"
具体请查看互助需知
我知道了
×
提示
确定
请完成安全验证×
copy
已复制链接
快去分享给好友吧!
我知道了
右上角分享
点击右上角分享
0
联系我们:info@booksci.cn Book学术提供免费学术资源搜索服务,方便国内外学者检索中英文文献。致力于提供最便捷和优质的服务体验。 Copyright © 2023 布克学术 All rights reserved.
京ICP备2023020795号-1
ghs 京公网安备 11010802042870号
Book学术文献互助
Book学术文献互助群
群 号:604180095
Book学术官方微信