Stereotactic Body Radiation Therapy Facilitating Debulking Surgery in Metastatic VIPoma with Severe Diarrhea and Hypovolemic Shock.

IF 0.7 Q3 MEDICINE, GENERAL & INTERNAL
Ahsan Wahab, Puneet Raman, Matthew Koshy, Yolande Chen
{"title":"Stereotactic Body Radiation Therapy Facilitating Debulking Surgery in Metastatic VIPoma with Severe Diarrhea and Hypovolemic Shock.","authors":"Ahsan Wahab, Puneet Raman, Matthew Koshy, Yolande Chen","doi":"10.12659/AJCR.949041","DOIUrl":null,"url":null,"abstract":"<p><p>BACKGROUND Treatment of metastatic vasoactive intestinal peptide tumors (VIPoma) is challenging and requires a careful multidisciplinary approach to achieve optimal disease control. We present a case of metastatic VIPoma with recurring episodes of life-threatening diarrhea necessitating multiple intensive care unit (ICU) admissions. CASE REPORT A 54-year-old man presented with severe watery diarrhea and metabolic acidosis with MRI showing a necrotic pancreatic body mass, and multiple liver lesions. Histopathologic and biochemical findings were consistent with VIPoma. Due to the multifocal liver lesions, he was deemed unsuitable for curative surgical intervention, shifting focus to other therapies. Initial treatments over 7 months included octreotide, transarterial chemoembolization, yttrium-90 radioembolization, and systemic therapy with everolimus, with decreases in serum vasoactive intestinal peptide (VIP) levels from a peak of 3180 pg/mL to undetectable levels corresponding to temporary relief of diarrhea. However, the temporary relief was followed by a rapid increase in VIP levels into the 200s and 300s and recurrence of 3-11 liters of diarrhea per day. He had multiple ICU admissions due to severe diarrhea/hypovolemic shock until he was treated with stereotactic body radiation therapy (SBRT). SBRT of the pancreatic site immediately yielded long-term hemodynamic stability, prevented further ICU admissions, and enabled the patient to receive debulking surgery. CONCLUSIONS Although radiation is not typically a primary treatment modality for VIPoma, in this case, the high dose per fraction delivered with stereotactic technique to a pancreatic mass played a crucial role in alleviating his catastrophic volume loss through intravenous octreotide-refractory diarrhea, making the patient a suitable candidate for debulking surgery. This case highlights the importance of considering all available treatment options, even those not traditionally employed, when managing complex cases with refractory symptoms.</p>","PeriodicalId":39064,"journal":{"name":"American Journal of Case Reports","volume":"26 ","pages":"e949041"},"PeriodicalIF":0.7000,"publicationDate":"2025-09-06","publicationTypes":"Journal Article","fieldsOfStudy":null,"isOpenAccess":false,"openAccessPdf":"https://www.ncbi.nlm.nih.gov/pmc/articles/PMC12421919/pdf/","citationCount":"0","resultStr":null,"platform":"Semanticscholar","paperid":null,"PeriodicalName":"American Journal of Case Reports","FirstCategoryId":"1085","ListUrlMain":"https://doi.org/10.12659/AJCR.949041","RegionNum":0,"RegionCategory":null,"ArticlePicture":[],"TitleCN":null,"AbstractTextCN":null,"PMCID":null,"EPubDate":"","PubModel":"","JCR":"Q3","JCRName":"MEDICINE, GENERAL & INTERNAL","Score":null,"Total":0}
引用次数: 0

Abstract

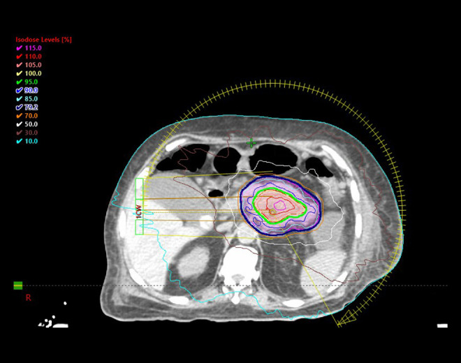
BACKGROUND Treatment of metastatic vasoactive intestinal peptide tumors (VIPoma) is challenging and requires a careful multidisciplinary approach to achieve optimal disease control. We present a case of metastatic VIPoma with recurring episodes of life-threatening diarrhea necessitating multiple intensive care unit (ICU) admissions. CASE REPORT A 54-year-old man presented with severe watery diarrhea and metabolic acidosis with MRI showing a necrotic pancreatic body mass, and multiple liver lesions. Histopathologic and biochemical findings were consistent with VIPoma. Due to the multifocal liver lesions, he was deemed unsuitable for curative surgical intervention, shifting focus to other therapies. Initial treatments over 7 months included octreotide, transarterial chemoembolization, yttrium-90 radioembolization, and systemic therapy with everolimus, with decreases in serum vasoactive intestinal peptide (VIP) levels from a peak of 3180 pg/mL to undetectable levels corresponding to temporary relief of diarrhea. However, the temporary relief was followed by a rapid increase in VIP levels into the 200s and 300s and recurrence of 3-11 liters of diarrhea per day. He had multiple ICU admissions due to severe diarrhea/hypovolemic shock until he was treated with stereotactic body radiation therapy (SBRT). SBRT of the pancreatic site immediately yielded long-term hemodynamic stability, prevented further ICU admissions, and enabled the patient to receive debulking surgery. CONCLUSIONS Although radiation is not typically a primary treatment modality for VIPoma, in this case, the high dose per fraction delivered with stereotactic technique to a pancreatic mass played a crucial role in alleviating his catastrophic volume loss through intravenous octreotide-refractory diarrhea, making the patient a suitable candidate for debulking surgery. This case highlights the importance of considering all available treatment options, even those not traditionally employed, when managing complex cases with refractory symptoms.

Abstract Image

Abstract Image

Abstract Image

立体定向体放射治疗促进转移性VIPoma伴严重腹泻和低血容量性休克的减容手术。
背景:转移性血管活性肠肽肿瘤(VIPoma)的治疗具有挑战性,需要谨慎的多学科方法来实现最佳的疾病控制。我们提出一例转移性VIPoma与复发发作危及生命的腹泻需要多次重症监护病房(ICU)入院。病例报告:一名54岁男性表现为严重水样腹泻和代谢性酸中毒,MRI显示胰腺坏死体块和多发肝脏病变。组织病理学和生化检查结果与VIPoma一致。由于多灶性肝脏病变,他被认为不适合治疗性手术干预,将重点转移到其他治疗。7个月的初始治疗包括奥曲肽、经动脉化疗栓塞、钇-90放射栓塞和依维莫司全身治疗,血清血管活性肠肽(VIP)水平从3180 pg/mL的峰值下降到无法检测到的水平,对应于腹泻的暂时缓解。然而,短暂的缓解之后,VIP水平迅速上升到200,300,每天再次出现3-11升的腹泻。由于严重腹泻/低血容量性休克,他多次入住ICU,直到接受立体定向全身放射治疗(SBRT)。胰腺部位的SBRT立即获得了长期的血流动力学稳定性,避免了进一步的ICU住院,并使患者能够接受减容手术。结论:虽然放疗不是典型的VIPoma的主要治疗方式,但在本病例中,通过立体定向技术向胰腺肿块给予高剂量,在减轻静脉注射奥曲肽难治性腹泻导致的灾难性体积损失方面发挥了关键作用,使患者成为减体积手术的合适候选人。该病例强调了在处理具有难治性症状的复杂病例时考虑所有可用治疗方案的重要性,即使是那些传统上没有采用的治疗方案。
本文章由计算机程序翻译,如有差异,请以英文原文为准。
求助全文
约1分钟内获得全文 求助全文
来源期刊
American Journal of Case Reports
American Journal of Case Reports Medicine-Medicine (all)
CiteScore
1.80
自引率
0.00%
发文量
599
期刊介绍: American Journal of Case Reports is an international, peer-reviewed scientific journal that publishes single and series case reports in all medical fields. American Journal of Case Reports is issued on a continuous basis as a primary electronic journal. Print copies of a single article or a set of articles can be ordered on demand.
×
引用
GB/T 7714-2015
复制
MLA
复制
APA
复制
导出至
BibTeX EndNote RefMan NoteFirst NoteExpress
×
提示
您的信息不完整,为了账户安全,请先补充。
现在去补充
×
提示
您因"违规操作"
具体请查看互助需知
我知道了
×
提示
确定
请完成安全验证×
copy
已复制链接
快去分享给好友吧!
我知道了
右上角分享
点击右上角分享
0
联系我们:info@booksci.cn Book学术提供免费学术资源搜索服务,方便国内外学者检索中英文文献。致力于提供最便捷和优质的服务体验。 Copyright © 2023 布克学术 All rights reserved.
京ICP备2023020795号-1
ghs 京公网安备 11010802042870号
Book学术文献互助
Book学术文献互助群
群 号:604180095
Book学术官方微信