[Corrigendum] Protective effects of atorvastatin on cerebral vessel autoregulation in an experimental rabbit model of subarachnoid hemorrhage.

IF 3.5 3区 医学 Q2 MEDICINE, RESEARCH & EXPERIMENTAL
Molecular medicine reports Pub Date : 2025-11-01 Epub Date: 2025-09-05 DOI:10.3892/mmr.2025.13673
Jun-Hui Chen, Ting Wu, Li-Kun Yang, Lei Chen, Jie Zhu, Pei-Pei Li, Xu Hu, Yu-Hai Wang
{"title":"[Corrigendum] Protective effects of atorvastatin on cerebral vessel autoregulation in an experimental rabbit model of subarachnoid hemorrhage.","authors":"Jun-Hui Chen, Ting Wu, Li-Kun Yang, Lei Chen, Jie Zhu, Pei-Pei Li, Xu Hu, Yu-Hai Wang","doi":"10.3892/mmr.2025.13673","DOIUrl":null,"url":null,"abstract":"<p><p>Following the publication of the above paper, an interested reader drew the authors' attention to the fact that images showing TUNEL staining of hippocampus following SAH induction in Fig. 2A, and the western blot data in Fig. 7, apparently had already been previously published in an article written by the same research group in the journal <i>International Journal of Molecular Medicine</i>. After asking the authors to provide an explanation for the inclusion of the same data in the above paper, the authors responded to say that these two studies were finished at around the same time in their laboratory, both of which explored the neuroprotective effects of atorvastatin following subarachnoid hemorrhage. The study published in <i>International Journal of Molecular Medicine</i> focused on the effect of atorvastatin on AQP4 expression and early brain injury following subarachnoid hemorrhage, whereas the above study explored the protective effects of atorvastatin on cerebral vessel autoregulation and early brain injury after subarachnoid hemorrhage. As the results of the apoptosis experiments were applicable to both studies, the authors deemed it appropriate to include the same data and figures (which were the TUNEL staining data in Fig. 4 and the caspase‑3 western data in Fig. 7 in the above paper) in the two studies. In response to the identification of the matching data in these two papers that were published by this research group, the authors have submitted revised versions of Figs. 4 and 7, now featuring data from the repeated experiments in either case. The Editor of <i>Molecular Medicine Reports</i> has considered that it would be prudent to publish a corrigendum for the above paper featuring these alternative data, and the revised versions of Figs. 4 and 7 are presented on the next page. The authors are grateful to the Editor for allowing them the opportunity to publish this corrigendum for the purposes of the scientific record. [Molecular Medicine Reports 17: 1651‑1659, 2018; DOI: 10.3892/mmr.2017.8074].</p>","PeriodicalId":18818,"journal":{"name":"Molecular medicine reports","volume":"32 5","pages":""},"PeriodicalIF":3.5000,"publicationDate":"2025-11-01","publicationTypes":"Journal Article","fieldsOfStudy":null,"isOpenAccess":false,"openAccessPdf":"https://www.ncbi.nlm.nih.gov/pmc/articles/PMC12427605/pdf/","citationCount":"0","resultStr":null,"platform":"Semanticscholar","paperid":null,"PeriodicalName":"Molecular medicine reports","FirstCategoryId":"3","ListUrlMain":"https://doi.org/10.3892/mmr.2025.13673","RegionNum":3,"RegionCategory":"医学","ArticlePicture":[],"TitleCN":null,"AbstractTextCN":null,"PMCID":null,"EPubDate":"2025/9/5 0:00:00","PubModel":"Epub","JCR":"Q2","JCRName":"MEDICINE, RESEARCH & EXPERIMENTAL","Score":null,"Total":0}
引用次数: 0

Abstract

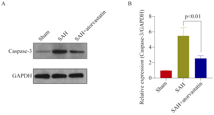
Following the publication of the above paper, an interested reader drew the authors' attention to the fact that images showing TUNEL staining of hippocampus following SAH induction in Fig. 2A, and the western blot data in Fig. 7, apparently had already been previously published in an article written by the same research group in the journal International Journal of Molecular Medicine. After asking the authors to provide an explanation for the inclusion of the same data in the above paper, the authors responded to say that these two studies were finished at around the same time in their laboratory, both of which explored the neuroprotective effects of atorvastatin following subarachnoid hemorrhage. The study published in International Journal of Molecular Medicine focused on the effect of atorvastatin on AQP4 expression and early brain injury following subarachnoid hemorrhage, whereas the above study explored the protective effects of atorvastatin on cerebral vessel autoregulation and early brain injury after subarachnoid hemorrhage. As the results of the apoptosis experiments were applicable to both studies, the authors deemed it appropriate to include the same data and figures (which were the TUNEL staining data in Fig. 4 and the caspase‑3 western data in Fig. 7 in the above paper) in the two studies. In response to the identification of the matching data in these two papers that were published by this research group, the authors have submitted revised versions of Figs. 4 and 7, now featuring data from the repeated experiments in either case. The Editor of Molecular Medicine Reports has considered that it would be prudent to publish a corrigendum for the above paper featuring these alternative data, and the revised versions of Figs. 4 and 7 are presented on the next page. The authors are grateful to the Editor for allowing them the opportunity to publish this corrigendum for the purposes of the scientific record. [Molecular Medicine Reports 17: 1651‑1659, 2018; DOI: 10.3892/mmr.2017.8074].

Abstract Image

Abstract Image

[勘误]阿托伐他汀对兔蛛网膜下腔出血模型脑血管自动调节的保护作用。
在上述论文发表后,一位感兴趣的读者提请作者注意,图2A中SAH诱导后海马TUNEL染色的图像和图7中的western blot数据显然已经在同一研究小组之前发表在《国际分子医学杂志》上的一篇文章中。在要求作者对上述论文中包含相同数据进行解释后,作者回应说,这两项研究在他们的实验室中几乎同时完成,都是探讨阿托伐他汀在蛛网膜下腔出血后的神经保护作用。发表在《International Journal of Molecular Medicine》上的研究关注的是阿托伐他汀对蛛网膜下腔出血后AQP4表达及早期脑损伤的影响,而上述研究则探讨了阿托伐他汀对蛛网膜下腔出血后脑血管自动调节及早期脑损伤的保护作用。由于凋亡实验的结果适用于两项研究,因此作者认为在两项研究中采用相同的数据和图(即本文图4中的TUNEL染色数据和图7中的caspase‑3 western数据)是合适的。针对本课题组已发表的这两篇论文中匹配数据的识别,作者提交了修改后的图4和图7,现在显示了两种情况下重复实验的数据。《分子医学报告》的编辑认为,为上述论文发表一份包含这些替代数据的更正是谨慎的,图4和图7的修订版本将在下一页展示。作者感谢编辑允许他们有机会为科学记录的目的出版此勘误表。[分子医学报告]17:1651‑1659,2018;DOI: 10.3892 / mmr.2017.8074]。
本文章由计算机程序翻译,如有差异,请以英文原文为准。
求助全文
约1分钟内获得全文 求助全文
来源期刊
Molecular medicine reports
Molecular medicine reports 医学-病理学
CiteScore
7.60
自引率
0.00%
发文量
321
审稿时长
1.5 months
期刊介绍: Molecular Medicine Reports is a monthly, peer-reviewed journal available in print and online, that includes studies devoted to molecular medicine, underscoring aspects including pharmacology, pathology, genetics, neurosciences, infectious diseases, molecular cardiology and molecular surgery. In vitro and in vivo studies of experimental model systems pertaining to the mechanisms of a variety of diseases offer researchers the necessary tools and knowledge with which to aid the diagnosis and treatment of human diseases.
×
引用
GB/T 7714-2015
复制
MLA
复制
APA
复制
导出至
BibTeX EndNote RefMan NoteFirst NoteExpress
×
提示
您的信息不完整,为了账户安全,请先补充。
现在去补充
×
提示
您因"违规操作"
具体请查看互助需知
我知道了
×
提示
确定
请完成安全验证×
copy
已复制链接
快去分享给好友吧!
我知道了
右上角分享
点击右上角分享
0
联系我们:info@booksci.cn Book学术提供免费学术资源搜索服务,方便国内外学者检索中英文文献。致力于提供最便捷和优质的服务体验。 Copyright © 2023 布克学术 All rights reserved.
京ICP备2023020795号-1
ghs 京公网安备 11010802042870号
Book学术文献互助
Book学术文献互助群
群 号:604180095
Book学术官方微信