Squamous Cell Carcinoma of the Vulva in Geriatric With Clinical Features of Papillomatous Plaque Resembling Anogenital Warts Caused by Human Papillomavirus Types 6 and 11.

Q3 Medicine
Case Reports in Dermatological Medicine Pub Date : 2025-08-27 eCollection Date: 2025-01-01 DOI:10.1155/crdm/1730469
Pati Aji Achdiat, Fathia Rianty, Risa Miliawati Nurul Hidayah, Miranti Pangastuti, Hermin Aminah Usman, Ida Ayu Made Niki Putri Ashrita, Retno Hesty Maharani
{"title":"Squamous Cell Carcinoma of the Vulva in Geriatric With Clinical Features of Papillomatous Plaque Resembling Anogenital Warts Caused by Human Papillomavirus Types 6 and 11.","authors":"Pati Aji Achdiat, Fathia Rianty, Risa Miliawati Nurul Hidayah, Miranti Pangastuti, Hermin Aminah Usman, Ida Ayu Made Niki Putri Ashrita, Retno Hesty Maharani","doi":"10.1155/crdm/1730469","DOIUrl":null,"url":null,"abstract":"<p><p>Squamous cell carcinoma (SCC) of the vulva is caused by disturbances in the proliferation and differentiation of the squamous epithelium, which can be associated with human papillomavirus (HPV) infection. Vulvar SCC is usually caused by high-risk HPV types, although there are some cases that are caused by low-risk HPV types. The clinical manifestations of vulvar SCC vary, one of which can resemble anogenital warts. A case of vulvar SCC was reported in a 75-year-old woman with a lesion that appeared as a yellowish-white papillomatous plaque on the vulva. From the history taking, it was found that the skin disorder had a chronic course. A skin biopsy was performed on the patient and from histopathological examination found hyperplastic, parakeratotic, and acanthotic stratified squamous epithelial cells with koilocytosis. In addition, there was evidence of tumor cell invasion in the connective tissue stroma with polymorphic and hyperchromatic nuclei, supporting a diagnosis of well-differentiated vulvar SCC. Genotyping polymerase chain reaction revealed the presence of HPV types 6 and 11 deoxyribonucleic acid. The risk of malignancy in low-risk HPV must be considered, especially in the elderly. HPV-dependent SCC caused by low-risk HPV types 6 and 11, though uncommon but still possible, with clinical manifestations that resemble anogenital warts.</p>","PeriodicalId":9630,"journal":{"name":"Case Reports in Dermatological Medicine","volume":"2025 ","pages":"1730469"},"PeriodicalIF":0.0000,"publicationDate":"2025-08-27","publicationTypes":"Journal Article","fieldsOfStudy":null,"isOpenAccess":false,"openAccessPdf":"https://www.ncbi.nlm.nih.gov/pmc/articles/PMC12408127/pdf/","citationCount":"0","resultStr":null,"platform":"Semanticscholar","paperid":null,"PeriodicalName":"Case Reports in Dermatological Medicine","FirstCategoryId":"1085","ListUrlMain":"https://doi.org/10.1155/crdm/1730469","RegionNum":0,"RegionCategory":null,"ArticlePicture":[],"TitleCN":null,"AbstractTextCN":null,"PMCID":null,"EPubDate":"2025/1/1 0:00:00","PubModel":"eCollection","JCR":"Q3","JCRName":"Medicine","Score":null,"Total":0}
引用次数: 0

Abstract

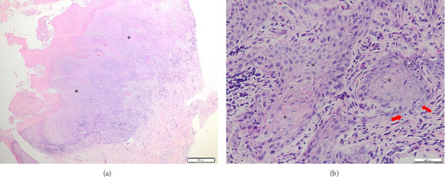
Squamous cell carcinoma (SCC) of the vulva is caused by disturbances in the proliferation and differentiation of the squamous epithelium, which can be associated with human papillomavirus (HPV) infection. Vulvar SCC is usually caused by high-risk HPV types, although there are some cases that are caused by low-risk HPV types. The clinical manifestations of vulvar SCC vary, one of which can resemble anogenital warts. A case of vulvar SCC was reported in a 75-year-old woman with a lesion that appeared as a yellowish-white papillomatous plaque on the vulva. From the history taking, it was found that the skin disorder had a chronic course. A skin biopsy was performed on the patient and from histopathological examination found hyperplastic, parakeratotic, and acanthotic stratified squamous epithelial cells with koilocytosis. In addition, there was evidence of tumor cell invasion in the connective tissue stroma with polymorphic and hyperchromatic nuclei, supporting a diagnosis of well-differentiated vulvar SCC. Genotyping polymerase chain reaction revealed the presence of HPV types 6 and 11 deoxyribonucleic acid. The risk of malignancy in low-risk HPV must be considered, especially in the elderly. HPV-dependent SCC caused by low-risk HPV types 6 and 11, though uncommon but still possible, with clinical manifestations that resemble anogenital warts.

Abstract Image

Abstract Image

老年外阴鳞状细胞癌伴由人乳头瘤病毒6型和11型引起的类似肛门生殖器疣的乳头状斑块的临床特征
外阴鳞状细胞癌(SCC)是由鳞状上皮增生和分化紊乱引起的,这可能与人乳头瘤病毒(HPV)感染有关。外阴SCC通常由高危型HPV引起,尽管也有一些病例是由低危型HPV引起的。外阴鳞状细胞癌的临床表现各不相同,其中一种类似于肛门生殖器疣。我们报告一位75岁女性外阴鳞状细胞癌的病例,其病变表现为外阴黄白色乳头状瘤斑块。从病史分析中发现,该皮肤病具有慢性病程。对患者进行皮肤活检,组织病理学检查发现增生、角化不全和棘皮层状鳞状上皮细胞伴空泡增多。此外,有证据表明肿瘤细胞侵袭结缔组织间质,细胞核多态和高染色,支持高分化外阴SCC的诊断。基因分型聚合酶链反应显示存在HPV 6型和11型脱氧核糖核酸。必须考虑低风险HPV的恶性肿瘤风险,特别是在老年人中。HPV依赖性SCC由低风险HPV 6型和11型引起,虽然不常见,但仍有可能,临床表现类似于肛门生殖器疣。
本文章由计算机程序翻译,如有差异,请以英文原文为准。
求助全文
约1分钟内获得全文 求助全文
来源期刊
CiteScore
1.50
自引率
0.00%
发文量
24
审稿时长
15 weeks
×
引用
GB/T 7714-2015
复制
MLA
复制
APA
复制
导出至
BibTeX EndNote RefMan NoteFirst NoteExpress
×
提示
您的信息不完整,为了账户安全,请先补充。
现在去补充
×
提示
您因"违规操作"
具体请查看互助需知
我知道了
×
提示
确定
请完成安全验证×
copy
已复制链接
快去分享给好友吧!
我知道了
右上角分享
点击右上角分享
0
联系我们:info@booksci.cn Book学术提供免费学术资源搜索服务,方便国内外学者检索中英文文献。致力于提供最便捷和优质的服务体验。 Copyright © 2023 布克学术 All rights reserved.
京ICP备2023020795号-1
ghs 京公网安备 11010802042870号
Book学术文献互助
Book学术文献互助群
群 号:604180095
Book学术官方微信