Radiologic evaluation of the uncinate fasciculus using diffusion tensor imaging and tractography: review of technical considerations and clinical implications.

Polish journal of radiology Pub Date : 2025-07-07 eCollection Date: 2025-01-01 DOI:10.5114/pjr/206075
Anna Stefańska, Sara Kierońska-Siwak
{"title":"Radiologic evaluation of the uncinate fasciculus using diffusion tensor imaging and tractography: review of technical considerations and clinical implications.","authors":"Anna Stefańska, Sara Kierońska-Siwak","doi":"10.5114/pjr/206075","DOIUrl":null,"url":null,"abstract":"<p><p>Diffusion tensor imaging (DTI) and tractography are powerful non-invasive techniques for studying the human brain's white matter pathways. The uncinate fasciculus (UF) is a key frontotemporal tract involved in emotion regulation, memory, and language. Despite advancements, challenges persist in accurately mapping its structure and function due to methodological limitations in data acquisition and analysis. This review aims to provide a comprehensive overview of the strengths and limitations of DTI and tractography in studying the UF, focusing on its anatomy, data acquisition techniques, and associated neurological and psychiatric disorders. A systematic review of over 30 years of literature on UF was conducted, encompassing anatomical studies, DTI methodologies, and clinical applications. Studies involving both postmortem dissections and <i>in vivo</i> imaging were analysed, with particular attention to different DTI acquisition parameters, fibre tracking algorithms, and their impact on imaging accuracy. DTI has significantly improved our understanding of UF anatomy and its role in neurocognitive functions. However, methodological constraints such as low spatial resolution, crossing fibres, and inter-subject variability limit its precision. Advances in higher-field magnetic resonance imaging, improved diffusion models, and artificial intelligence-enhanced tractography offer promising solutions. UF abnormalities have been linked to various disorders, including schizophrenia, depression, autism spectrum disorders, and neurodegenerative diseases. While DTI and tractography are invaluable tools for studying the UF, their limitations necessitate cautious interpretation of results. Future research should focus on refining imaging techniques to enhance accuracy and clinical applicability, paving the way for better diagnostic and therapeutic strategies.</p>","PeriodicalId":94174,"journal":{"name":"Polish journal of radiology","volume":"90 ","pages":"e324-e344"},"PeriodicalIF":0.0000,"publicationDate":"2025-07-07","publicationTypes":"Journal Article","fieldsOfStudy":null,"isOpenAccess":false,"openAccessPdf":"https://www.ncbi.nlm.nih.gov/pmc/articles/PMC12403653/pdf/","citationCount":"0","resultStr":null,"platform":"Semanticscholar","paperid":null,"PeriodicalName":"Polish journal of radiology","FirstCategoryId":"1085","ListUrlMain":"https://doi.org/10.5114/pjr/206075","RegionNum":0,"RegionCategory":null,"ArticlePicture":[],"TitleCN":null,"AbstractTextCN":null,"PMCID":null,"EPubDate":"2025/1/1 0:00:00","PubModel":"eCollection","JCR":"","JCRName":"","Score":null,"Total":0}
引用次数: 0

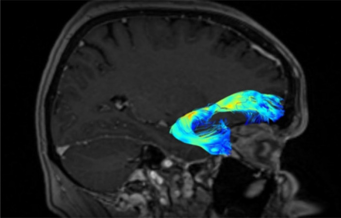
Abstract

Diffusion tensor imaging (DTI) and tractography are powerful non-invasive techniques for studying the human brain's white matter pathways. The uncinate fasciculus (UF) is a key frontotemporal tract involved in emotion regulation, memory, and language. Despite advancements, challenges persist in accurately mapping its structure and function due to methodological limitations in data acquisition and analysis. This review aims to provide a comprehensive overview of the strengths and limitations of DTI and tractography in studying the UF, focusing on its anatomy, data acquisition techniques, and associated neurological and psychiatric disorders. A systematic review of over 30 years of literature on UF was conducted, encompassing anatomical studies, DTI methodologies, and clinical applications. Studies involving both postmortem dissections and in vivo imaging were analysed, with particular attention to different DTI acquisition parameters, fibre tracking algorithms, and their impact on imaging accuracy. DTI has significantly improved our understanding of UF anatomy and its role in neurocognitive functions. However, methodological constraints such as low spatial resolution, crossing fibres, and inter-subject variability limit its precision. Advances in higher-field magnetic resonance imaging, improved diffusion models, and artificial intelligence-enhanced tractography offer promising solutions. UF abnormalities have been linked to various disorders, including schizophrenia, depression, autism spectrum disorders, and neurodegenerative diseases. While DTI and tractography are invaluable tools for studying the UF, their limitations necessitate cautious interpretation of results. Future research should focus on refining imaging techniques to enhance accuracy and clinical applicability, paving the way for better diagnostic and therapeutic strategies.

Abstract Image

Abstract Image

Abstract Image

利用弥散张量成像和神经束造影对钩状束的放射学评价:技术考虑和临床意义的回顾。
弥散张量成像(DTI)和神经束造影是研究人脑白质通路的有力的非侵入性技术。钩状束是一个重要的额颞叶束,参与情绪调节、记忆和语言。尽管取得了进步,但由于数据采集和分析方法的限制,在准确绘制其结构和功能方面仍然存在挑战。本文旨在全面概述DTI和神经束造影在UF研究中的优势和局限性,重点介绍其解剖、数据采集技术以及相关的神经和精神疾病。系统回顾了30多年来关于UF的文献,包括解剖学研究、DTI方法和临床应用。本文分析了涉及死后解剖和体内成像的研究,特别关注不同的DTI采集参数、纤维跟踪算法及其对成像精度的影响。DTI大大提高了我们对UF解剖及其在神经认知功能中的作用的理解。然而,方法上的限制,如低空间分辨率、交叉纤维和学科间的可变性限制了其精度。高场磁共振成像、改进的扩散模型和人工智能增强的神经束造影技术的进步提供了有希望的解决方案。UF异常与各种疾病有关,包括精神分裂症、抑郁症、自闭症谱系障碍和神经退行性疾病。虽然DTI和牵束成像是研究UF的宝贵工具,但它们的局限性需要谨慎解释结果。未来的研究应侧重于改进成像技术,以提高准确性和临床适用性,为更好的诊断和治疗策略铺平道路。
本文章由计算机程序翻译,如有差异,请以英文原文为准。
求助全文
约1分钟内获得全文 求助全文
来源期刊
CiteScore
2.10
自引率
0.00%
发文量
0
×
引用
GB/T 7714-2015
复制
MLA
复制
APA
复制
导出至
BibTeX EndNote RefMan NoteFirst NoteExpress
×
提示
您的信息不完整,为了账户安全,请先补充。
现在去补充
×
提示
您因"违规操作"
具体请查看互助需知
我知道了
×
提示
确定
请完成安全验证×
copy
已复制链接
快去分享给好友吧!
我知道了
右上角分享
点击右上角分享
0
联系我们:info@booksci.cn Book学术提供免费学术资源搜索服务,方便国内外学者检索中英文文献。致力于提供最便捷和优质的服务体验。 Copyright © 2023 布克学术 All rights reserved.
京ICP备2023020795号-1
ghs 京公网安备 11010802042870号
Book学术文献互助
Book学术文献互助群
群 号:604180095
Book学术官方微信