Revisiting Transvenous Phrenic Nerve Stimulation in Central Sleep Apnoea and Heart Failure: Emerging Innovations in Clinical Trials Analysis.

IF 5.7 Q1 CARDIAC & CARDIOVASCULAR SYSTEMS
Cardiac Failure Review Pub Date : 2025-08-20 eCollection Date: 2025-01-01 DOI:10.15420/cfr.2025.07
Tarek Bekfani, Joseph D Abraham, William T Abraham
{"title":"Revisiting Transvenous Phrenic Nerve Stimulation in Central Sleep Apnoea and Heart Failure: Emerging Innovations in Clinical Trials Analysis.","authors":"Tarek Bekfani, Joseph D Abraham, William T Abraham","doi":"10.15420/cfr.2025.07","DOIUrl":null,"url":null,"abstract":"<p><p>Central sleep apnoea (CSA) is a common comorbidity in patients with heart failure. Due to its insidious and chronic nature, CSA often remains unrecognised. Patients with CSA typically present with symptoms, such as daytime fatigue, recurrent heart failure decompensations and cardiac arrhythmias. Although the pathophysiology of CSA is not yet fully understood, the most widely accepted theory suggests that fluctuations in PaCO<sub>2</sub> levels, particularly crossing the apnoeic threshold, play a central role in its development. CSA is associated with various changes, including activation of the sympathetic nervous system, neurohormonal disturbances and haemodynamic perturbations, all of which contribute to increased morbidity and mortality. Transvenous phrenic nerve stimulation (TPNS) has been demonstrated to be a safe and effective therapy for reducing the apnoea-hypopnoea index and improving both left ventricular ejection fraction and quality of life in patients with CSA. These benefits have been validated in randomised clinical trials (RCTs). New methods of analysing RCTs were recently introduced. Applying the win ratio method in a post hoc analysis of the primary RCTs evaluating TPNS suggested that TPNS may also contribute to reduced mortality and fewer heart failure hospitalisations. In this article we explore the pathophysiology of CSA and evaluate the existing evidence on therapeutic options, with a particular focus on TPNS.</p>","PeriodicalId":33741,"journal":{"name":"Cardiac Failure Review","volume":"11 ","pages":"e22"},"PeriodicalIF":5.7000,"publicationDate":"2025-08-20","publicationTypes":"Journal Article","fieldsOfStudy":null,"isOpenAccess":false,"openAccessPdf":"https://www.ncbi.nlm.nih.gov/pmc/articles/PMC12400169/pdf/","citationCount":"0","resultStr":null,"platform":"Semanticscholar","paperid":null,"PeriodicalName":"Cardiac Failure Review","FirstCategoryId":"1085","ListUrlMain":"https://doi.org/10.15420/cfr.2025.07","RegionNum":0,"RegionCategory":null,"ArticlePicture":[],"TitleCN":null,"AbstractTextCN":null,"PMCID":null,"EPubDate":"2025/1/1 0:00:00","PubModel":"eCollection","JCR":"Q1","JCRName":"CARDIAC & CARDIOVASCULAR SYSTEMS","Score":null,"Total":0}
引用次数: 0

Abstract

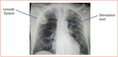
Central sleep apnoea (CSA) is a common comorbidity in patients with heart failure. Due to its insidious and chronic nature, CSA often remains unrecognised. Patients with CSA typically present with symptoms, such as daytime fatigue, recurrent heart failure decompensations and cardiac arrhythmias. Although the pathophysiology of CSA is not yet fully understood, the most widely accepted theory suggests that fluctuations in PaCO2 levels, particularly crossing the apnoeic threshold, play a central role in its development. CSA is associated with various changes, including activation of the sympathetic nervous system, neurohormonal disturbances and haemodynamic perturbations, all of which contribute to increased morbidity and mortality. Transvenous phrenic nerve stimulation (TPNS) has been demonstrated to be a safe and effective therapy for reducing the apnoea-hypopnoea index and improving both left ventricular ejection fraction and quality of life in patients with CSA. These benefits have been validated in randomised clinical trials (RCTs). New methods of analysing RCTs were recently introduced. Applying the win ratio method in a post hoc analysis of the primary RCTs evaluating TPNS suggested that TPNS may also contribute to reduced mortality and fewer heart failure hospitalisations. In this article we explore the pathophysiology of CSA and evaluate the existing evidence on therapeutic options, with a particular focus on TPNS.

Abstract Image

Abstract Image

Abstract Image

重访经静脉膈神经刺激治疗中枢性睡眠呼吸暂停和心力衰竭:临床试验分析中的新创新。
中枢性睡眠呼吸暂停(CSA)是心力衰竭患者的常见合并症。由于其隐蔽性和长期性,CSA经常被忽视。CSA患者通常表现为白天疲劳、反复心衰失代偿和心律失常等症状。尽管CSA的病理生理学尚不完全清楚,但最被广泛接受的理论表明,PaCO2水平的波动,特别是超过窒息阈值,在其发展中起着核心作用。CSA与多种变化有关,包括交感神经系统的激活,神经激素紊乱和血流动力学紊乱,所有这些都导致发病率和死亡率增加。经静脉膈神经刺激(TPNS)已被证明是一种安全有效的治疗方法,可降低呼吸暂停-低通气指数,改善CSA患者的左室射血分数和生活质量。这些益处已在随机临床试验(rct)中得到验证。最近介绍了分析随机对照试验的新方法。在评价TPNS的主要随机对照试验的事后分析中应用赢比方法表明,TPNS也可能有助于降低死亡率和减少心力衰竭住院。在这篇文章中,我们探讨了CSA的病理生理学,并评估了现有的治疗选择的证据,特别关注TPNS。
本文章由计算机程序翻译,如有差异,请以英文原文为准。
求助全文
约1分钟内获得全文 求助全文
来源期刊
CiteScore
5.60
自引率
0.00%
发文量
31
审稿时长
9 weeks
×
引用
GB/T 7714-2015
复制
MLA
复制
APA
复制
导出至
BibTeX EndNote RefMan NoteFirst NoteExpress
×
提示
您的信息不完整,为了账户安全,请先补充。
现在去补充
×
提示
您因"违规操作"
具体请查看互助需知
我知道了
×
提示
确定
请完成安全验证×
copy
已复制链接
快去分享给好友吧!
我知道了
右上角分享
点击右上角分享
0
联系我们:info@booksci.cn Book学术提供免费学术资源搜索服务,方便国内外学者检索中英文文献。致力于提供最便捷和优质的服务体验。 Copyright © 2023 布克学术 All rights reserved.
京ICP备2023020795号-1
ghs 京公网安备 11010802042870号
Book学术文献互助
Book学术文献互助群
群 号:604180095
Book学术官方微信