The potential relationship between Toxocara canis infection and epilepsy in a rat model.

IF 2 3区 医学 Q2 PARASITOLOGY
Amina M Salama, Dina I Elgendy, Rasha A Elmahy, Asmaa F Eltantawy, Monira A Seleem, Ahmed M Elgohary, Omaima K Docmac, Marwa E F Al Mwafy, Ahmed A Almeldin, Mahmoud S Sharaf
{"title":"The potential relationship between Toxocara canis infection and epilepsy in a rat model.","authors":"Amina M Salama, Dina I Elgendy, Rasha A Elmahy, Asmaa F Eltantawy, Monira A Seleem, Ahmed M Elgohary, Omaima K Docmac, Marwa E F Al Mwafy, Ahmed A Almeldin, Mahmoud S Sharaf","doi":"10.1007/s00436-025-08528-7","DOIUrl":null,"url":null,"abstract":"<p><p>Human toxocariasis presents in several forms, including visceral larva migrans, ocular larva migrans, covert toxocariasis, and neurotoxocariasis. Although several studies suggest a potential link between toxocariasis and epilepsy, this link is still debated. Additional mechanistic and experimental studies in animal models are essential for a better understanding of this association. Our study aimed to explore the relationship between neurotoxocariasis and epilepsy in an animal model. In this study, 24 male Swiss albino rats were used. Rats were randomly assigned to three groups of eight: group I (normal control), group II (received pilocarpine hydrochloride in a single dose of 400 mg/kg body), and group III (infected with Toxocara canis). Several parameters were used to evaluate the possible link between toxocariasis and epilepsy, including clinical, histopathological, immunohistochemical, and biochemical studies. All rats in group III exhibited motor seizures 10 to 15 days post-infection, with no significant difference noticed regarding the maximum stage of seizures when compared with group II. Our study revealed definite structural and functional changes in the brain tissue, evidenced by the recorded histopathological changes, the increased GFAP, MMP2, and TNF-α expression, and the significant disturbances in neurotransmitter profile. Furthermore, a state of oxidative stress was noticed, with a significant increase in serum IL-6 levels. Our results indicate that the migration of Toxocara canis larvae to the central nervous system can result in significant structural changes and shifts in neurotransmitter levels, both of which may play a role in the development of epilepsy. Additionally, this research underscores the importance of oxidative stress and inflammatory cytokines in contributing to neuronal damage. These findings open avenues for future research aimed at identifying possible therapeutic targets and interventions to alleviate the neurological effects of toxocariasis.</p>","PeriodicalId":19968,"journal":{"name":"Parasitology Research","volume":"124 9","pages":"98"},"PeriodicalIF":2.0000,"publicationDate":"2025-09-04","publicationTypes":"Journal Article","fieldsOfStudy":null,"isOpenAccess":false,"openAccessPdf":"https://www.ncbi.nlm.nih.gov/pmc/articles/PMC12411587/pdf/","citationCount":"0","resultStr":null,"platform":"Semanticscholar","paperid":null,"PeriodicalName":"Parasitology Research","FirstCategoryId":"3","ListUrlMain":"https://doi.org/10.1007/s00436-025-08528-7","RegionNum":3,"RegionCategory":"医学","ArticlePicture":[],"TitleCN":null,"AbstractTextCN":null,"PMCID":null,"EPubDate":"","PubModel":"","JCR":"Q2","JCRName":"PARASITOLOGY","Score":null,"Total":0}
引用次数: 0

Abstract

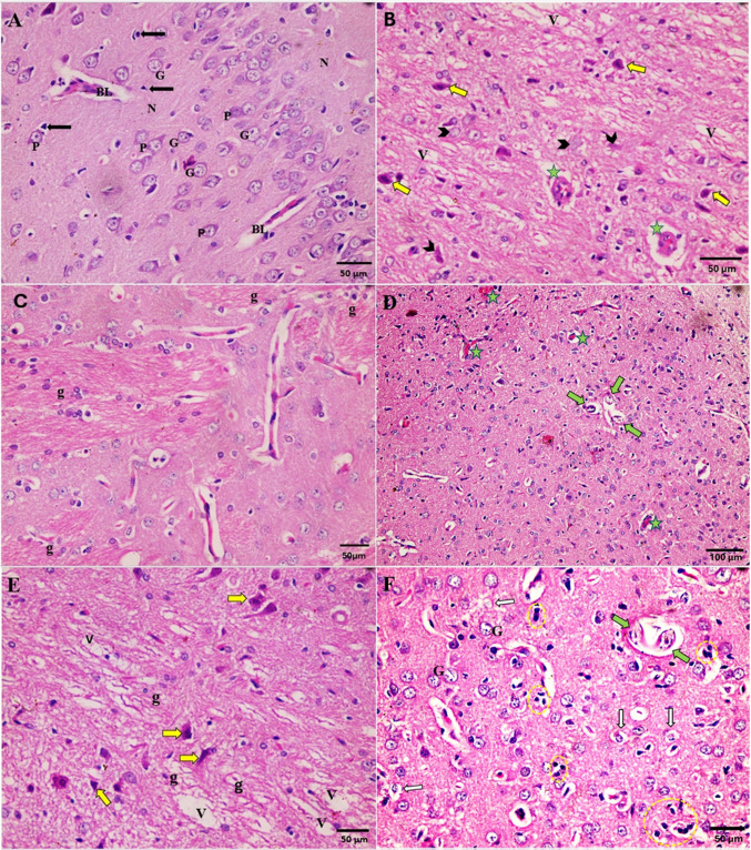
Human toxocariasis presents in several forms, including visceral larva migrans, ocular larva migrans, covert toxocariasis, and neurotoxocariasis. Although several studies suggest a potential link between toxocariasis and epilepsy, this link is still debated. Additional mechanistic and experimental studies in animal models are essential for a better understanding of this association. Our study aimed to explore the relationship between neurotoxocariasis and epilepsy in an animal model. In this study, 24 male Swiss albino rats were used. Rats were randomly assigned to three groups of eight: group I (normal control), group II (received pilocarpine hydrochloride in a single dose of 400 mg/kg body), and group III (infected with Toxocara canis). Several parameters were used to evaluate the possible link between toxocariasis and epilepsy, including clinical, histopathological, immunohistochemical, and biochemical studies. All rats in group III exhibited motor seizures 10 to 15 days post-infection, with no significant difference noticed regarding the maximum stage of seizures when compared with group II. Our study revealed definite structural and functional changes in the brain tissue, evidenced by the recorded histopathological changes, the increased GFAP, MMP2, and TNF-α expression, and the significant disturbances in neurotransmitter profile. Furthermore, a state of oxidative stress was noticed, with a significant increase in serum IL-6 levels. Our results indicate that the migration of Toxocara canis larvae to the central nervous system can result in significant structural changes and shifts in neurotransmitter levels, both of which may play a role in the development of epilepsy. Additionally, this research underscores the importance of oxidative stress and inflammatory cytokines in contributing to neuronal damage. These findings open avenues for future research aimed at identifying possible therapeutic targets and interventions to alleviate the neurological effects of toxocariasis.

Abstract Image

Abstract Image

Abstract Image

犬弓形虫感染与大鼠癫痫的潜在关系。
人类弓形虫病表现为几种形式,包括内脏幼虫迁移、眼部幼虫迁移、隐蔽性弓形虫病和神经弓形虫病。尽管几项研究表明弓形虫病与癫痫之间存在潜在联系,但这种联系仍存在争议。为了更好地理解这种关联,在动物模型中进行额外的机制和实验研究是必不可少的。我们的研究旨在探讨神经弓形虫病与癫痫的动物模型的关系。本研究选用24只雄性瑞士白化大鼠。将大鼠随机分为3组,每组8只:ⅰ组(正常对照)、ⅱ组(给予盐酸匹罗卡品单次剂量400 mg/kg体)和ⅲ组(感染犬弓形虫)。几个参数被用来评估弓形虫病和癫痫之间可能的联系,包括临床、组织病理学、免疫组织化学和生化研究。III组大鼠感染后10 ~ 15天均出现运动癫痫发作,最大发作期与II组比较无显著差异。我们的研究揭示了脑组织结构和功能的明确变化,记录的组织病理学改变,GFAP, MMP2和TNF-α表达增加,神经递质谱明显紊乱。此外,氧化应激状态被注意到,血清IL-6水平显著升高。我们的研究结果表明,犬弓形虫幼虫向中枢神经系统的迁移会导致显著的结构变化和神经递质水平的改变,这两者都可能在癫痫的发展中起作用。此外,这项研究强调了氧化应激和炎症细胞因子在促进神经元损伤中的重要性。这些发现为未来的研究开辟了道路,旨在确定可能的治疗靶点和干预措施,以减轻弓形虫病的神经系统影响。
本文章由计算机程序翻译,如有差异,请以英文原文为准。
求助全文
约1分钟内获得全文 求助全文
来源期刊
Parasitology Research
Parasitology Research 医学-寄生虫学
CiteScore
4.10
自引率
5.00%
发文量
346
审稿时长
6 months
期刊介绍: The journal Parasitology Research covers the latest developments in parasitology across a variety of disciplines, including biology, medicine and veterinary medicine. Among many topics discussed are chemotherapy and control of parasitic disease, and the relationship of host and parasite. Other coverage includes: Protozoology, Helminthology, Entomology; Morphology (incl. Pathomorphology, Ultrastructure); Biochemistry, Physiology including Pathophysiology; Parasite-Host-Relationships including Immunology and Host Specificity; life history, ecology and epidemiology; and Diagnosis, Chemotherapy and Control of Parasitic Diseases.
×
引用
GB/T 7714-2015
复制
MLA
复制
APA
复制
导出至
BibTeX EndNote RefMan NoteFirst NoteExpress
×
提示
您的信息不完整,为了账户安全,请先补充。
现在去补充
×
提示
您因"违规操作"
具体请查看互助需知
我知道了
×
提示
确定
请完成安全验证×
copy
已复制链接
快去分享给好友吧!
我知道了
右上角分享
点击右上角分享
0
联系我们:info@booksci.cn Book学术提供免费学术资源搜索服务,方便国内外学者检索中英文文献。致力于提供最便捷和优质的服务体验。 Copyright © 2023 布克学术 All rights reserved.
京ICP备2023020795号-1
ghs 京公网安备 11010802042870号
Book学术文献互助
Book学术文献互助群
群 号:604180095
Book学术官方微信