Preclinical Safety Assessment of an Ayurvedic Dentifrice: Acute and 28-Day Oral Toxicity Studies in Wistar Albino Rats.

IF 3 Q2 TOXICOLOGY
Journal of Toxicology Pub Date : 2025-08-26 eCollection Date: 2025-01-01 DOI:10.1155/jt/1379571
Delfin Lovelina Francis, Saravanan Sampoornam Pape Reddy, Balaji Manohar, Shaili Pradhan
{"title":"Preclinical Safety Assessment of an Ayurvedic Dentifrice: Acute and 28-Day Oral Toxicity Studies in Wistar Albino Rats.","authors":"Delfin Lovelina Francis, Saravanan Sampoornam Pape Reddy, Balaji Manohar, Shaili Pradhan","doi":"10.1155/jt/1379571","DOIUrl":null,"url":null,"abstract":"<p><p><b>Background:</b> Herbal formulations with antimicrobial and anti-inflammatory properties are commonly used in traditional medicine for oral hygiene. Despite growing popularity, little or no research exists on the safety profile of these products to confirm their long-term safety. An ayurvedic dentifrice formulation was analyzed in Wistar albino rats for acute and subacute oral toxicity, with emphasis on the toxic effects of the product on physiological, hematological, biochemical, and histopathological parameters. <b>Methods:</b> Wistar rats (<i>n</i> = 6) were administered a single dose of the test formulation above 2000 mg/kg body weight and were kept on a 14-day observation period for acute toxicity. Subacute toxicity was induced by daily oral administration of 300, 600, and 1000 mg/kg of the test formulation to male (<i>n</i> = 30) and female (<i>n</i> = 30) rats for 28 days. A 14-day recovery period in the high-dose group was then carried out. Clinical signs, including mortality, food and water intake, body weight, hematological and biochemical parameters, vital organ weights, and histopathological alterations, were assessed. <b>Results:</b> Acute and subacute toxicity studies did not reveal any mortality or significant clinical signs. At 2000 mg/kg body weight, the hepatic changes were minor and reversible. The no-observed-adverse-effect level (NOAEL) was determined to be 1000 mg/kg body weight, as there were no significant changes in biochemical, hematological, and histopathological parameters until this dose. <b>Conclusions:</b> In Wistar albino rats, the tested Ayurvedic dentifrice formulation tapered with quiescent toxicity can be considered safe for oral use. Long-term studies in the form of clinical trials are recommended for human use.</p>","PeriodicalId":17421,"journal":{"name":"Journal of Toxicology","volume":"2025 ","pages":"1379571"},"PeriodicalIF":3.0000,"publicationDate":"2025-08-26","publicationTypes":"Journal Article","fieldsOfStudy":null,"isOpenAccess":false,"openAccessPdf":"https://www.ncbi.nlm.nih.gov/pmc/articles/PMC12404827/pdf/","citationCount":"0","resultStr":null,"platform":"Semanticscholar","paperid":null,"PeriodicalName":"Journal of Toxicology","FirstCategoryId":"3","ListUrlMain":"https://doi.org/10.1155/jt/1379571","RegionNum":0,"RegionCategory":null,"ArticlePicture":[],"TitleCN":null,"AbstractTextCN":null,"PMCID":null,"EPubDate":"2025/1/1 0:00:00","PubModel":"eCollection","JCR":"Q2","JCRName":"TOXICOLOGY","Score":null,"Total":0}
引用次数: 0

Abstract

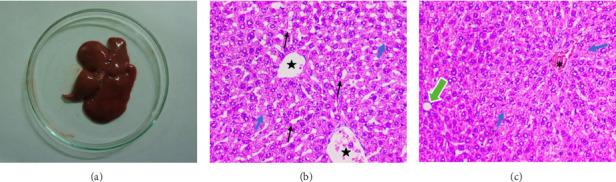
Background: Herbal formulations with antimicrobial and anti-inflammatory properties are commonly used in traditional medicine for oral hygiene. Despite growing popularity, little or no research exists on the safety profile of these products to confirm their long-term safety. An ayurvedic dentifrice formulation was analyzed in Wistar albino rats for acute and subacute oral toxicity, with emphasis on the toxic effects of the product on physiological, hematological, biochemical, and histopathological parameters. Methods: Wistar rats (n = 6) were administered a single dose of the test formulation above 2000 mg/kg body weight and were kept on a 14-day observation period for acute toxicity. Subacute toxicity was induced by daily oral administration of 300, 600, and 1000 mg/kg of the test formulation to male (n = 30) and female (n = 30) rats for 28 days. A 14-day recovery period in the high-dose group was then carried out. Clinical signs, including mortality, food and water intake, body weight, hematological and biochemical parameters, vital organ weights, and histopathological alterations, were assessed. Results: Acute and subacute toxicity studies did not reveal any mortality or significant clinical signs. At 2000 mg/kg body weight, the hepatic changes were minor and reversible. The no-observed-adverse-effect level (NOAEL) was determined to be 1000 mg/kg body weight, as there were no significant changes in biochemical, hematological, and histopathological parameters until this dose. Conclusions: In Wistar albino rats, the tested Ayurvedic dentifrice formulation tapered with quiescent toxicity can be considered safe for oral use. Long-term studies in the form of clinical trials are recommended for human use.

Abstract Image

Abstract Image

Abstract Image

阿育吠陀牙膏的临床前安全性评估:Wistar白化大鼠急性和28天口服毒性研究。
背景:具有抗菌和抗炎特性的草药制剂通常用于口腔卫生的传统医学。尽管越来越受欢迎,但很少或根本没有关于这些产品的安全性的研究来证实它们的长期安全性。本文分析了一种阿育吠陀牙膏制剂在Wistar白化大鼠急性和亚急性口服毒性,重点研究了该制剂对生理、血液学、生化和组织病理学参数的毒性作用。方法:Wistar大鼠(n = 6)单次给药,剂量大于2000 mg/kg体重,急性毒性观察14 d。每日口服300、600和1000 mg/kg试验制剂对雄性(n = 30)和雌性(n = 30)大鼠产生亚急性毒性,持续28 d。高剂量组恢复期14天。评估临床体征,包括死亡率、食物和水的摄入量、体重、血液学和生化参数、重要器官重量和组织病理学改变。结果:急性和亚急性毒性研究未发现任何死亡或显著临床症状。在2000 mg/kg体重时,肝脏变化轻微且可逆。未观察到的不良反应水平(NOAEL)被确定为1000 mg/kg体重,因为在此剂量之前,生化、血液学和组织病理学参数没有显着变化。结论:在Wistar白化大鼠中,阿育吠陀牙膏制剂的静态毒性逐渐减弱,可以认为口服是安全的。建议以临床试验的形式进行长期研究以供人类使用。
本文章由计算机程序翻译,如有差异,请以英文原文为准。
求助全文
约1分钟内获得全文 求助全文
来源期刊
Journal of Toxicology
Journal of Toxicology TOXICOLOGY-
CiteScore
5.50
自引率
3.40%
发文量
0
审稿时长
10 weeks
期刊介绍: Journal of Toxicology is a peer-reviewed, Open Access journal that publishes original research articles, review articles, and clinical studies in all areas of toxicological sciences. The journal will consider articles looking at the structure, function, and mechanism of agents that are toxic to humans and/or animals, as well as toxicological medicine, risk assessment, safety evaluation, and environmental health.
×
引用
GB/T 7714-2015
复制
MLA
复制
APA
复制
导出至
BibTeX EndNote RefMan NoteFirst NoteExpress
×
提示
您的信息不完整,为了账户安全,请先补充。
现在去补充
×
提示
您因"违规操作"
具体请查看互助需知
我知道了
×
提示
确定
请完成安全验证×
copy
已复制链接
快去分享给好友吧!
我知道了
右上角分享
点击右上角分享
0
联系我们:info@booksci.cn Book学术提供免费学术资源搜索服务,方便国内外学者检索中英文文献。致力于提供最便捷和优质的服务体验。 Copyright © 2023 布克学术 All rights reserved.
京ICP备2023020795号-1
ghs 京公网安备 11010802042870号
Book学术文献互助
Book学术文献互助群
群 号:604180095
Book学术官方微信