CT features and short-term outcome in cats presenting with pyothorax.

IF 2.1 2区 农林科学 Q2 VETERINARY SCIENCES
Journal of Feline Medicine and Surgery Pub Date : 2025-09-01 Epub Date: 2025-09-04 DOI:10.1177/1098612X251360637
Ines Lopes Rei, Emilie Paran, Helen Wilson, Mariette Pilot, Alison Catherine Major
{"title":"CT features and short-term outcome in cats presenting with pyothorax.","authors":"Ines Lopes Rei, Emilie Paran, Helen Wilson, Mariette Pilot, Alison Catherine Major","doi":"10.1177/1098612X251360637","DOIUrl":null,"url":null,"abstract":"<p><p>ObjectivesThe purpose of this retrospective, descriptive study was to assess CT findings and short-term outcome of cats with pyothorax presented to a referral hospital.MethodsThoracic CT studies of 41 cats with pyothorax comprising pre-contrast lung and soft tissue reconstructions and post-contrast soft tissue reconstructions were blindly reviewed by two European College of Veterinary Diagnostic Imaging (ECVDI) board-certified radiologists and a third-year ECVDI resident, referencing a predetermined list of imaging features. Clinical outcomes, including treatment options, survival to discharge and length of hospitalisation, were recorded.ResultsAll cats (100%) had pleural effusion. Common imaging findings included intrathoracic lymphadenomegaly (85%), pleural thickening (85%), presence of pannus (81%) and evidence of pneumonia (49%). Pulmonary abscessation was suspected in 22% of cats and foreign bodies in 12%. Of the 41 cats, 20 were managed medically, 20 underwent surgery and one had unsuccessful medical treatment followed by surgical intervention. The median duration of hospitalisation was 7 days, and 36 cats survived to discharge.Conclusions and relevanceThis study demonstrates that cats with pyothorax commonly have marked changes on CT that involve multiple thoracic compartments. Our study population highlights that feline pyothorax can have a good short-term outcome when managed either medically or surgically.</p>","PeriodicalId":15851,"journal":{"name":"Journal of Feline Medicine and Surgery","volume":"27 9","pages":"1098612X251360637"},"PeriodicalIF":2.1000,"publicationDate":"2025-09-01","publicationTypes":"Journal Article","fieldsOfStudy":null,"isOpenAccess":false,"openAccessPdf":"https://www.ncbi.nlm.nih.gov/pmc/articles/PMC12411727/pdf/","citationCount":"0","resultStr":null,"platform":"Semanticscholar","paperid":null,"PeriodicalName":"Journal of Feline Medicine and Surgery","FirstCategoryId":"97","ListUrlMain":"https://doi.org/10.1177/1098612X251360637","RegionNum":2,"RegionCategory":"农林科学","ArticlePicture":[],"TitleCN":null,"AbstractTextCN":null,"PMCID":null,"EPubDate":"2025/9/4 0:00:00","PubModel":"Epub","JCR":"Q2","JCRName":"VETERINARY SCIENCES","Score":null,"Total":0}
引用次数: 0

Abstract

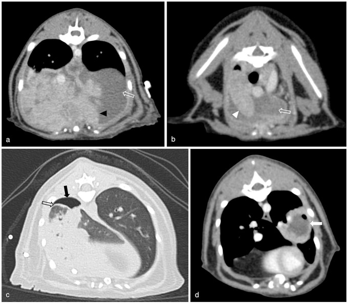
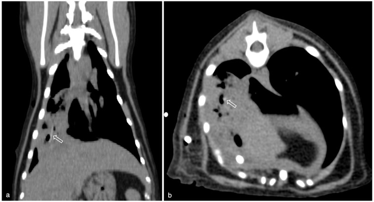
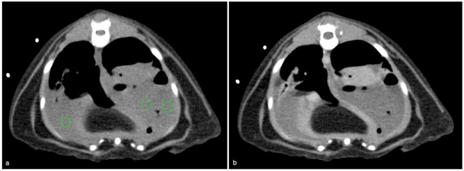
ObjectivesThe purpose of this retrospective, descriptive study was to assess CT findings and short-term outcome of cats with pyothorax presented to a referral hospital.MethodsThoracic CT studies of 41 cats with pyothorax comprising pre-contrast lung and soft tissue reconstructions and post-contrast soft tissue reconstructions were blindly reviewed by two European College of Veterinary Diagnostic Imaging (ECVDI) board-certified radiologists and a third-year ECVDI resident, referencing a predetermined list of imaging features. Clinical outcomes, including treatment options, survival to discharge and length of hospitalisation, were recorded.ResultsAll cats (100%) had pleural effusion. Common imaging findings included intrathoracic lymphadenomegaly (85%), pleural thickening (85%), presence of pannus (81%) and evidence of pneumonia (49%). Pulmonary abscessation was suspected in 22% of cats and foreign bodies in 12%. Of the 41 cats, 20 were managed medically, 20 underwent surgery and one had unsuccessful medical treatment followed by surgical intervention. The median duration of hospitalisation was 7 days, and 36 cats survived to discharge.Conclusions and relevanceThis study demonstrates that cats with pyothorax commonly have marked changes on CT that involve multiple thoracic compartments. Our study population highlights that feline pyothorax can have a good short-term outcome when managed either medically or surgically.

Abstract Image

Abstract Image

Abstract Image

以脓胸为表现的猫的CT表现及近期预后。
目的:本回顾性描述性研究的目的是评估转诊医院的脓胸猫的CT表现和短期预后。方法由两名欧洲兽医诊断成像学院(ECVDI)委员会认证的放射科医师和一名三年级ECVDI住院医师,参考预先确定的影像学特征列表,对41只患有脓胸的猫的胸部CT研究进行了盲目回顾,包括对比前的肺部和软组织重建以及对比后的软组织重建。记录临床结果,包括治疗方案、存活至出院和住院时间。结果所有猫(100%)均有胸腔积液。常见的影像学表现包括胸内淋巴结肿大(85%)、胸膜增厚(85%)、胸膜瘤存在(81%)和肺炎证据(49%)。22%的猫怀疑有肺脓肿,12%怀疑有异物。在41只猫中,20只接受了医学治疗,20只接受了手术,1只在手术干预后接受了不成功的药物治疗。平均住院时间为7天,36只猫存活至出院。结论和相关性本研究表明,患有脓胸的猫通常在CT上有明显的改变,涉及多个胸间室。我们的研究人群强调,无论是药物治疗还是手术治疗,猫脓胸在短期内都有良好的效果。
本文章由计算机程序翻译,如有差异,请以英文原文为准。
求助全文
约1分钟内获得全文 求助全文
来源期刊
CiteScore
3.90
自引率
17.60%
发文量
254
审稿时长
8-16 weeks
期刊介绍: JFMS is an international, peer-reviewed journal aimed at both practitioners and researchers with an interest in the clinical veterinary healthcare of domestic cats. The journal is published monthly in two formats: ‘Classic’ editions containing high-quality original papers on all aspects of feline medicine and surgery, including basic research relevant to clinical practice; and dedicated ‘Clinical Practice’ editions primarily containing opinionated review articles providing state-of-the-art information for feline clinicians, along with other relevant articles such as consensus guidelines.
×
引用
GB/T 7714-2015
复制
MLA
复制
APA
复制
导出至
BibTeX EndNote RefMan NoteFirst NoteExpress
×
提示
您的信息不完整,为了账户安全,请先补充。
现在去补充
×
提示
您因"违规操作"
具体请查看互助需知
我知道了
×
提示
确定
请完成安全验证×
copy
已复制链接
快去分享给好友吧!
我知道了
右上角分享
点击右上角分享
0
联系我们:info@booksci.cn Book学术提供免费学术资源搜索服务,方便国内外学者检索中英文文献。致力于提供最便捷和优质的服务体验。 Copyright © 2023 布克学术 All rights reserved.
京ICP备2023020795号-1
ghs 京公网安备 11010802042870号
Book学术文献互助
Book学术文献互助群
群 号:604180095
Book学术官方微信