Disseminated Infection With Mycobacterium genavense in the Setting of HIV Infection Misdiagnosed as Sarcoidosis.

IF 0.8 Q4 INFECTIOUS DISEASES
Case Reports in Infectious Diseases Pub Date : 2025-08-24 eCollection Date: 2025-01-01 DOI:10.1155/crdi/2249985
Alireza Eskandari, Mitra Rezaei, Minoosh Shabani, Mihan Pourabdoullah, Afshin Moniri, Majid Marjani
{"title":"Disseminated Infection With <i>Mycobacterium genavense</i> in the Setting of HIV Infection Misdiagnosed as Sarcoidosis.","authors":"Alireza Eskandari, Mitra Rezaei, Minoosh Shabani, Mihan Pourabdoullah, Afshin Moniri, Majid Marjani","doi":"10.1155/crdi/2249985","DOIUrl":null,"url":null,"abstract":"<p><p><i>Mycobacterium genavense</i> was first identified in a patient with HIV. Here, we describe a 40-year-old man with prolonged fever and mediastinal and abdominal lymphadenopathy, who was initially misdiagnosed with sarcoidosis. A molecular study was conducted after mycobacterium was isolated from a lymph node biopsy, leading to the identification of <i>M. genavense</i>. The identification of this microbe, along with recurrent oral candidiasis and varicella skin lesions, raised suspicion of an immunodeficiency disorder, which ultimately resulted in an HIV diagnosis. Concurrently, the patient experienced polyradiculopathy caused by cytomegalovirus. This case highlights that after identifying a granuloma in tissue, a comprehensive investigation to exclude infectious causes using microbiological and molecular methods is crucial.</p>","PeriodicalId":9608,"journal":{"name":"Case Reports in Infectious Diseases","volume":"2025 ","pages":"2249985"},"PeriodicalIF":0.8000,"publicationDate":"2025-08-24","publicationTypes":"Journal Article","fieldsOfStudy":null,"isOpenAccess":false,"openAccessPdf":"https://www.ncbi.nlm.nih.gov/pmc/articles/PMC12399350/pdf/","citationCount":"0","resultStr":null,"platform":"Semanticscholar","paperid":null,"PeriodicalName":"Case Reports in Infectious Diseases","FirstCategoryId":"1085","ListUrlMain":"https://doi.org/10.1155/crdi/2249985","RegionNum":0,"RegionCategory":null,"ArticlePicture":[],"TitleCN":null,"AbstractTextCN":null,"PMCID":null,"EPubDate":"2025/1/1 0:00:00","PubModel":"eCollection","JCR":"Q4","JCRName":"INFECTIOUS DISEASES","Score":null,"Total":0}
引用次数: 0

Abstract

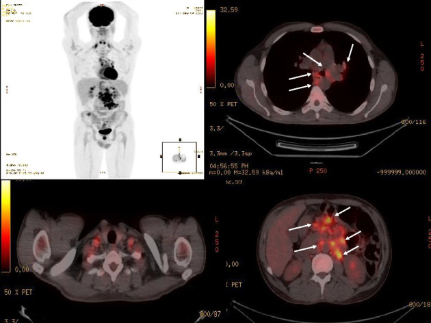
Mycobacterium genavense was first identified in a patient with HIV. Here, we describe a 40-year-old man with prolonged fever and mediastinal and abdominal lymphadenopathy, who was initially misdiagnosed with sarcoidosis. A molecular study was conducted after mycobacterium was isolated from a lymph node biopsy, leading to the identification of M. genavense. The identification of this microbe, along with recurrent oral candidiasis and varicella skin lesions, raised suspicion of an immunodeficiency disorder, which ultimately resulted in an HIV diagnosis. Concurrently, the patient experienced polyradiculopathy caused by cytomegalovirus. This case highlights that after identifying a granuloma in tissue, a comprehensive investigation to exclude infectious causes using microbiological and molecular methods is crucial.

Abstract Image

Abstract Image

Abstract Image

在HIV感染被误诊为结节病的背景下弥散性属支杆菌感染。
genavense分枝杆菌最初是在一名艾滋病毒患者中发现的。在这里,我们描述了一个40岁的男性长期发烧和纵隔和腹部淋巴结病,谁最初被误诊为结节病。从淋巴结活检中分离出分枝杆菌后进行了分子研究,从而鉴定出了genavense分枝杆菌。这种微生物的鉴定,连同复发性口腔念珠菌病和水痘皮肤病变,引起了对免疫缺陷疾病的怀疑,最终导致HIV诊断。同时,患者经历了巨细胞病毒引起的多神经根病。本病例强调,在确定组织中的肉芽肿后,使用微生物学和分子方法进行全面调查以排除感染原因至关重要。
本文章由计算机程序翻译,如有差异,请以英文原文为准。
求助全文
约1分钟内获得全文 求助全文
来源期刊
自引率
0.00%
发文量
64
审稿时长
13 weeks
×
引用
GB/T 7714-2015
复制
MLA
复制
APA
复制
导出至
BibTeX EndNote RefMan NoteFirst NoteExpress
×
提示
您的信息不完整,为了账户安全,请先补充。
现在去补充
×
提示
您因"违规操作"
具体请查看互助需知
我知道了
×
提示
确定
请完成安全验证×
copy
已复制链接
快去分享给好友吧!
我知道了
右上角分享
点击右上角分享
0
联系我们:info@booksci.cn Book学术提供免费学术资源搜索服务,方便国内外学者检索中英文文献。致力于提供最便捷和优质的服务体验。 Copyright © 2023 布克学术 All rights reserved.
京ICP备2023020795号-1
ghs 京公网安备 11010802042870号
Book学术文献互助
Book学术文献互助群
群 号:604180095
Book学术官方微信