A rare case of dual glomerular pathology: Alport syndrome and immune complex-mediated MPGN.

IF 2.4 4区 医学 Q2 UROLOGY & NEPHROLOGY
Seyda Gul Ozcan, Eylul Koc, Ahmet Murt, Mevlut Tamer Dincer, Iclal Gurses, Nurhan Seyahi, Sinan Trabulus
{"title":"A rare case of dual glomerular pathology: Alport syndrome and immune complex-mediated MPGN.","authors":"Seyda Gul Ozcan, Eylul Koc, Ahmet Murt, Mevlut Tamer Dincer, Iclal Gurses, Nurhan Seyahi, Sinan Trabulus","doi":"10.1186/s12882-025-04400-z","DOIUrl":null,"url":null,"abstract":"<p><strong>Background: </strong>Immune complex-mediated membranoproliferative glomerulonephritis (IC-MPGN) and Alport syndrome are distinct glomerular diseases with different pathophysiologic mechanisms. Their coexistence is extremely rare and may present diagnostic and therapeutic challenges.</p><p><strong>Case presentation: </strong>A 42-year-old woman presented with persistent proteinuria and hematuria. Initial laboratory evaluations showed a progressive increase in proteinuria. She had a family history of renal disease. A renal biopsy, which had initially been postponed on patient request, subsequently revealed diffuse mesangial and focal endocapillary proliferation, GBM thickening, periglomerular fibrosis, and immune complex deposition with IgM, C3, and C1q, thereby confirming the diagnosis of IC-MPGN. Genetic testing identified a heterozygous COL4A5 c.1871G > A (p.Gly624Asp) mutation consistent with X-linked Alport syndrome. The patient follows conservative management now.</p><p><strong>Conclusion: </strong>This case highlights the rare coexistence of IC-MPGN, chronic TIN and Alport syndrome. In patients with progressive glomerular disease, especially with a family history of renal disease or extrarenal findings, genetic evaluation should be considered. Early renal biopsy and genetic testing are essential to guide management in complex cases with overlapping features.</p>","PeriodicalId":9089,"journal":{"name":"BMC Nephrology","volume":"26 1","pages":"514"},"PeriodicalIF":2.4000,"publicationDate":"2025-09-03","publicationTypes":"Journal Article","fieldsOfStudy":null,"isOpenAccess":false,"openAccessPdf":"https://www.ncbi.nlm.nih.gov/pmc/articles/PMC12409941/pdf/","citationCount":"0","resultStr":null,"platform":"Semanticscholar","paperid":null,"PeriodicalName":"BMC Nephrology","FirstCategoryId":"3","ListUrlMain":"https://doi.org/10.1186/s12882-025-04400-z","RegionNum":4,"RegionCategory":"医学","ArticlePicture":[],"TitleCN":null,"AbstractTextCN":null,"PMCID":null,"EPubDate":"","PubModel":"","JCR":"Q2","JCRName":"UROLOGY & NEPHROLOGY","Score":null,"Total":0}
引用次数: 0

Abstract

Background: Immune complex-mediated membranoproliferative glomerulonephritis (IC-MPGN) and Alport syndrome are distinct glomerular diseases with different pathophysiologic mechanisms. Their coexistence is extremely rare and may present diagnostic and therapeutic challenges.

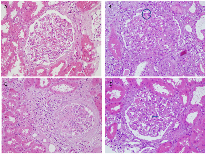
Case presentation: A 42-year-old woman presented with persistent proteinuria and hematuria. Initial laboratory evaluations showed a progressive increase in proteinuria. She had a family history of renal disease. A renal biopsy, which had initially been postponed on patient request, subsequently revealed diffuse mesangial and focal endocapillary proliferation, GBM thickening, periglomerular fibrosis, and immune complex deposition with IgM, C3, and C1q, thereby confirming the diagnosis of IC-MPGN. Genetic testing identified a heterozygous COL4A5 c.1871G > A (p.Gly624Asp) mutation consistent with X-linked Alport syndrome. The patient follows conservative management now.

Conclusion: This case highlights the rare coexistence of IC-MPGN, chronic TIN and Alport syndrome. In patients with progressive glomerular disease, especially with a family history of renal disease or extrarenal findings, genetic evaluation should be considered. Early renal biopsy and genetic testing are essential to guide management in complex cases with overlapping features.

Abstract Image

Abstract Image

Abstract Image

罕见的双重肾小球病理:Alport综合征和免疫复合物介导的MPGN。
背景:免疫复合物介导的膜增殖性肾小球肾炎(IC-MPGN)和Alport综合征是两种不同的肾小球疾病,具有不同的病理生理机制。它们的共存极为罕见,可能会给诊断和治疗带来挑战。病例介绍:一名42岁女性,表现为持续性蛋白尿和血尿。初步实验室检查显示蛋白尿进行性增加。她有肾脏疾病的家族史。肾活检最初应患者要求推迟,随后发现弥漫性系膜和局灶性毛细血管内增生,GBM增厚,肾小球周围纤维化,IgM, C3和C1q免疫复合物沉积,从而确认IC-MPGN的诊断。基因检测发现COL4A5 c.1871G > a (p.Gly624Asp)杂合突变与x连锁Alport综合征一致。病人现在接受保守治疗。结论:本病例突出了IC-MPGN、慢性TIN和Alport综合征共存的罕见病例。进行性肾小球疾病患者,特别是有肾脏疾病家族史或肾外病变的患者,应考虑进行遗传评估。早期肾活检和基因检测对具有重叠特征的复杂病例的指导管理至关重要。
本文章由计算机程序翻译,如有差异,请以英文原文为准。
求助全文
约1分钟内获得全文 求助全文
来源期刊
BMC Nephrology
BMC Nephrology UROLOGY & NEPHROLOGY-
CiteScore
4.30
自引率
0.00%
发文量
375
审稿时长
3-8 weeks
期刊介绍: BMC Nephrology is an open access journal publishing original peer-reviewed research articles in all aspects of the prevention, diagnosis and management of kidney and associated disorders, as well as related molecular genetics, pathophysiology, and epidemiology.
×
引用
GB/T 7714-2015
复制
MLA
复制
APA
复制
导出至
BibTeX EndNote RefMan NoteFirst NoteExpress
×
提示
您的信息不完整,为了账户安全,请先补充。
现在去补充
×
提示
您因"违规操作"
具体请查看互助需知
我知道了
×
提示
确定
请完成安全验证×
copy
已复制链接
快去分享给好友吧!
我知道了
右上角分享
点击右上角分享
0
联系我们:info@booksci.cn Book学术提供免费学术资源搜索服务,方便国内外学者检索中英文文献。致力于提供最便捷和优质的服务体验。 Copyright © 2023 布克学术 All rights reserved.
京ICP备2023020795号-1
ghs 京公网安备 11010802042870号
Book学术文献互助
Book学术文献互助群
群 号:604180095
Book学术官方微信