Diverticular perforation with exclusive local invasion in cytomegalovirus infection during ganciclovir treatment: an autopsy case report.

IF 1.6 Q2 MEDICINE, GENERAL & INTERNAL
Annals of Medicine and Surgery Pub Date : 2025-07-18 eCollection Date: 2025-09-01 DOI:10.1097/MS9.0000000000003573
Yoshitaka Ishiguro, Akira Kuriyama, Shingo Ishiguro
{"title":"Diverticular perforation with exclusive local invasion in cytomegalovirus infection during ganciclovir treatment: an autopsy case report.","authors":"Yoshitaka Ishiguro, Akira Kuriyama, Shingo Ishiguro","doi":"10.1097/MS9.0000000000003573","DOIUrl":null,"url":null,"abstract":"<p><strong>Introduction and importance: </strong>Cytomegalovirus (CMV) can cause severe colitis in immunocompromised patients. While its morphological manifestations vary, diverticular perforation is rare, with most lesions remaining intact. We report a rare case of CMV-related diverticular perforation in an elderly woman undergoing ganciclovir treatment. Despite intensive care, she died during hospitalization. Autopsy findings showed a congested small intestine without significant erosion or ulceration.</p><p><strong>Clinical presentation: </strong>An 83-year-old woman with prolonged methotrexate and steroid use for rheumatoid arthritis was referred to our hospital due to hypotension, hypoxemia, and altered mental status following bloody stools. Endoscopy revealed a rectal hemorrhage. After hemostasis, the patient developed septic shock and diarrhea, raising suspicion of CMV colitis, which was confirmed by CMV antigenemia. Despite treatment with ganciclovir, the patient developed a diverticular perforation. Histological examination of the surgical specimen revealed localized infiltration of CMV-infected cells in the granulation tissue at the perforation site, without other inflammatory changes. The patient died from liver failure on the 28th day of hospitalization.</p><p><strong>Clinical discussion: </strong>CMV colitis is reported in patients with autoimmune diseases and, in severe cases, can lead to gastrointestinal perforation. In this case, CMV infection caused diverticular perforation; however, autopsy revealed no significant inflammatory changes throughout the gastrointestinal tract. This suggests a highly localized CMV invasion, a rare clinical presentation.</p><p><strong>Conclusion: </strong>Ganciclovir failed to prevent focal bowel perforation, although it may have eradicated CMV within rectal ulcer lesions. Clinicians should be aware that CMV infection can present as diverticular perforation due to localized invasion, even during antiviral therapy.</p>","PeriodicalId":8025,"journal":{"name":"Annals of Medicine and Surgery","volume":"87 9","pages":"6083-6087"},"PeriodicalIF":1.6000,"publicationDate":"2025-07-18","publicationTypes":"Journal Article","fieldsOfStudy":null,"isOpenAccess":false,"openAccessPdf":"https://www.ncbi.nlm.nih.gov/pmc/articles/PMC12401353/pdf/","citationCount":"0","resultStr":null,"platform":"Semanticscholar","paperid":null,"PeriodicalName":"Annals of Medicine and Surgery","FirstCategoryId":"1085","ListUrlMain":"https://doi.org/10.1097/MS9.0000000000003573","RegionNum":0,"RegionCategory":null,"ArticlePicture":[],"TitleCN":null,"AbstractTextCN":null,"PMCID":null,"EPubDate":"2025/9/1 0:00:00","PubModel":"eCollection","JCR":"Q2","JCRName":"MEDICINE, GENERAL & INTERNAL","Score":null,"Total":0}
引用次数: 0

Abstract

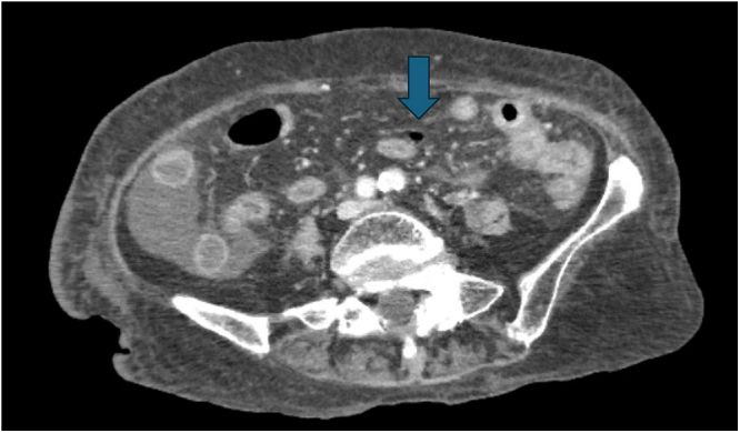
Introduction and importance: Cytomegalovirus (CMV) can cause severe colitis in immunocompromised patients. While its morphological manifestations vary, diverticular perforation is rare, with most lesions remaining intact. We report a rare case of CMV-related diverticular perforation in an elderly woman undergoing ganciclovir treatment. Despite intensive care, she died during hospitalization. Autopsy findings showed a congested small intestine without significant erosion or ulceration.

Clinical presentation: An 83-year-old woman with prolonged methotrexate and steroid use for rheumatoid arthritis was referred to our hospital due to hypotension, hypoxemia, and altered mental status following bloody stools. Endoscopy revealed a rectal hemorrhage. After hemostasis, the patient developed septic shock and diarrhea, raising suspicion of CMV colitis, which was confirmed by CMV antigenemia. Despite treatment with ganciclovir, the patient developed a diverticular perforation. Histological examination of the surgical specimen revealed localized infiltration of CMV-infected cells in the granulation tissue at the perforation site, without other inflammatory changes. The patient died from liver failure on the 28th day of hospitalization.

Clinical discussion: CMV colitis is reported in patients with autoimmune diseases and, in severe cases, can lead to gastrointestinal perforation. In this case, CMV infection caused diverticular perforation; however, autopsy revealed no significant inflammatory changes throughout the gastrointestinal tract. This suggests a highly localized CMV invasion, a rare clinical presentation.

Conclusion: Ganciclovir failed to prevent focal bowel perforation, although it may have eradicated CMV within rectal ulcer lesions. Clinicians should be aware that CMV infection can present as diverticular perforation due to localized invasion, even during antiviral therapy.

Abstract Image

Abstract Image

Abstract Image

更昔洛韦治疗期间巨细胞病毒感染引起的憩室穿孔伴排他性局部侵袭:一例尸检病例报告。
简介及重要性:巨细胞病毒(CMV)可引起免疫功能低下患者的严重结肠炎。虽然其形态表现各异,憩室穿孔是罕见的,大多数病变保持完整。我们报告一例罕见的巨细胞病毒相关的憩室穿孔在接受更昔洛韦治疗的老年妇女。尽管经过重症监护,她还是在住院期间死亡。尸检结果显示小肠充血,无明显糜烂或溃疡。临床表现:一名83岁女性,长期使用甲氨蝶呤和类固醇治疗类风湿关节炎,因低血压、低氧血症和血便后精神状态改变而转诊至我院。内窥镜检查显示直肠出血。止血后,患者出现感染性休克和腹泻,怀疑为巨细胞病毒结肠炎,经巨细胞病毒抗原血症证实。尽管使用了更昔洛韦治疗,患者还是出现了憩室穿孔。手术标本的组织学检查显示穿孔部位肉芽组织中有cmv感染的细胞局部浸润,无其他炎症改变。患者于住院第28天死于肝功能衰竭。临床讨论:巨细胞病毒结肠炎见于自身免疫性疾病患者,严重者可导致胃肠道穿孔。本例中,巨细胞病毒感染引起憩室穿孔;然而,尸检显示整个胃肠道没有明显的炎症变化。这提示高度局部的巨细胞病毒侵袭,一种罕见的临床表现。结论:更昔洛韦虽能根除直肠溃疡病变内的巨细胞病毒,但未能预防局灶性肠穿孔。临床医生应该意识到,巨细胞病毒感染可以表现为憩室穿孔,由于局部入侵,即使在抗病毒治疗期间。
本文章由计算机程序翻译,如有差异,请以英文原文为准。
求助全文
约1分钟内获得全文 求助全文
来源期刊
Annals of Medicine and Surgery
Annals of Medicine and Surgery MEDICINE, GENERAL & INTERNAL-
自引率
5.90%
发文量
1665
×
引用
GB/T 7714-2015
复制
MLA
复制
APA
复制
导出至
BibTeX EndNote RefMan NoteFirst NoteExpress
×
提示
您的信息不完整,为了账户安全,请先补充。
现在去补充
×
提示
您因"违规操作"
具体请查看互助需知
我知道了
×
提示
确定
请完成安全验证×
copy
已复制链接
快去分享给好友吧!
我知道了
右上角分享
点击右上角分享
0
联系我们:info@booksci.cn Book学术提供免费学术资源搜索服务,方便国内外学者检索中英文文献。致力于提供最便捷和优质的服务体验。 Copyright © 2023 布克学术 All rights reserved.
京ICP备2023020795号-1
ghs 京公网安备 11010802042870号
Book学术文献互助
Book学术文献互助群
群 号:604180095
Book学术官方微信