Anatomical variants of nasal cavities and nasal septum in Nepalese patients: a retrospective cross-sectional study at a tertiary care center.

IF 1.6 Q2 MEDICINE, GENERAL & INTERNAL
Annals of Medicine and Surgery Pub Date : 2025-08-07 eCollection Date: 2025-09-01 DOI:10.1097/MS9.0000000000003692
Prajwal Dahal, Sagar Poudel, Prajina Pradhan, Samjhana Ghimire, Sabina Parajuli, Natasha Dhakal
{"title":"Anatomical variants of nasal cavities and nasal septum in Nepalese patients: a retrospective cross-sectional study at a tertiary care center.","authors":"Prajwal Dahal, Sagar Poudel, Prajina Pradhan, Samjhana Ghimire, Sabina Parajuli, Natasha Dhakal","doi":"10.1097/MS9.0000000000003692","DOIUrl":null,"url":null,"abstract":"<p><strong>Background: </strong>Variants of nasal septum and structures of nasal cavity are key in nasal surgeries, with some linked to certain pathologies. This study aims to determine their prevalence in the Nepali population at our hospital.</p><p><strong>Method: </strong>A retrospective, cross section study was conducted at a private hospital in Nepal with 342 adults (aged >13). Two radiologists assessed CT scans for variants of nasal septum, nasal septum deviation angles, and variants of the nasal turbinates and pneumatized uncinate process. Nasal septum deviations were graded from I to IV, and gender-specific prevalences and mean nasal septal deviation (NSD) angle were calculated. Statistical significance was tested using chi-squared test, <i>t</i>-tests, and ANOVA.</p><p><strong>Results: </strong>The prevalences were: nasal septum deviation (76.68%), septal spur (41.98%), septal pneumatization (40.23%), hypertrophied inferior turbinate (38.48%), lamellar concha (34.11%), concha bullosa (CB) (19.83%), supreme turbinate (9.33%), paradoxical middle turbinates (9.33%) and pneumatized uncinate process (8.45%). Nasal septum deviation was right-sided in 34.11%, left-sided in 34.40%, and S-shaped in 8.16%. The prevalences of nasal septum types were: type I (30.9%), type II (48.1%), type III (16.91%), and type IV (4.08%). The mean septal deviation angle was 6.77° (SD 4.52°).The mean septal deviation in deviated septum was 8.64° (SD 3.2°) Significant association were found between deviated septum and septal spur, CB, hypertrophied inferior turbinate, and paradoxical middle turbinate (<i>P</i> < 0.001, 0.012, 0.001, 0.016), as well as between variants of NSD and sides of CB, hypertrophied inferior turbinate, and septal spur (<i>P</i> = 0.006, <0.001, <0.001). The prevalence of CB was significantly high in female (<i>P</i> = 0.001). There was significant association of types of nasal septum with CB (<i>P</i> = 0.003). There was significant difference in deviation angle between variants of deviated nasal septum (<i>P</i> = 0.048), notably between septum deviated to left side and \"S\"-shaped nasal septum (<i>P</i> = 0.024).</p><p><strong>Conclusion: </strong>Recognizing variants of nasal septum and nasal cavities is crucial to prevent surgical complications.</p>","PeriodicalId":8025,"journal":{"name":"Annals of Medicine and Surgery","volume":"87 9","pages":"5482-5493"},"PeriodicalIF":1.6000,"publicationDate":"2025-08-07","publicationTypes":"Journal Article","fieldsOfStudy":null,"isOpenAccess":false,"openAccessPdf":"https://www.ncbi.nlm.nih.gov/pmc/articles/PMC12401296/pdf/","citationCount":"0","resultStr":null,"platform":"Semanticscholar","paperid":null,"PeriodicalName":"Annals of Medicine and Surgery","FirstCategoryId":"1085","ListUrlMain":"https://doi.org/10.1097/MS9.0000000000003692","RegionNum":0,"RegionCategory":null,"ArticlePicture":[],"TitleCN":null,"AbstractTextCN":null,"PMCID":null,"EPubDate":"2025/9/1 0:00:00","PubModel":"eCollection","JCR":"Q2","JCRName":"MEDICINE, GENERAL & INTERNAL","Score":null,"Total":0}
引用次数: 0

Abstract

Background: Variants of nasal septum and structures of nasal cavity are key in nasal surgeries, with some linked to certain pathologies. This study aims to determine their prevalence in the Nepali population at our hospital.

Method: A retrospective, cross section study was conducted at a private hospital in Nepal with 342 adults (aged >13). Two radiologists assessed CT scans for variants of nasal septum, nasal septum deviation angles, and variants of the nasal turbinates and pneumatized uncinate process. Nasal septum deviations were graded from I to IV, and gender-specific prevalences and mean nasal septal deviation (NSD) angle were calculated. Statistical significance was tested using chi-squared test, t-tests, and ANOVA.

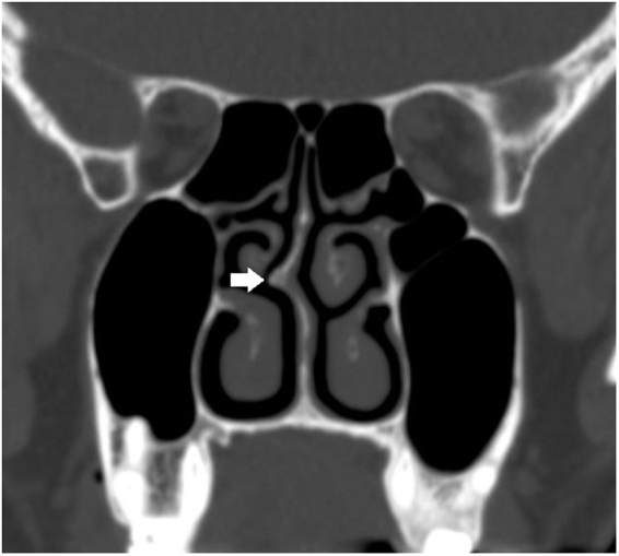
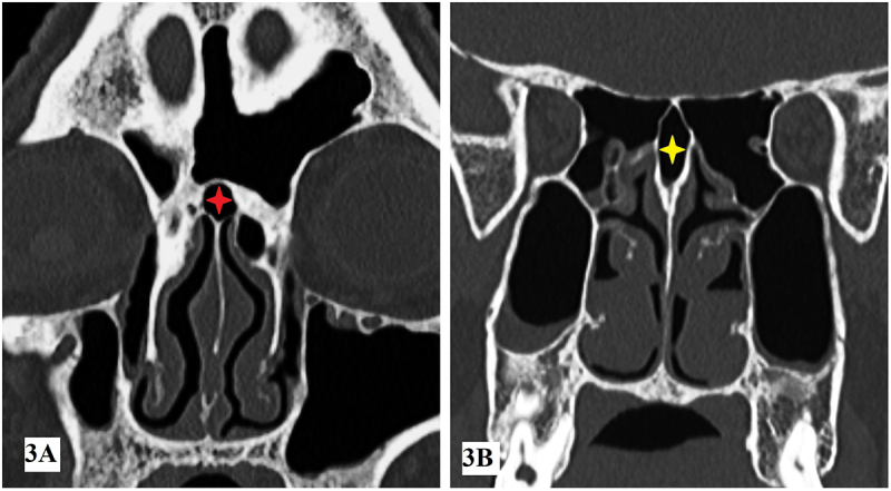
Results: The prevalences were: nasal septum deviation (76.68%), septal spur (41.98%), septal pneumatization (40.23%), hypertrophied inferior turbinate (38.48%), lamellar concha (34.11%), concha bullosa (CB) (19.83%), supreme turbinate (9.33%), paradoxical middle turbinates (9.33%) and pneumatized uncinate process (8.45%). Nasal septum deviation was right-sided in 34.11%, left-sided in 34.40%, and S-shaped in 8.16%. The prevalences of nasal septum types were: type I (30.9%), type II (48.1%), type III (16.91%), and type IV (4.08%). The mean septal deviation angle was 6.77° (SD 4.52°).The mean septal deviation in deviated septum was 8.64° (SD 3.2°) Significant association were found between deviated septum and septal spur, CB, hypertrophied inferior turbinate, and paradoxical middle turbinate (P < 0.001, 0.012, 0.001, 0.016), as well as between variants of NSD and sides of CB, hypertrophied inferior turbinate, and septal spur (P = 0.006, <0.001, <0.001). The prevalence of CB was significantly high in female (P = 0.001). There was significant association of types of nasal septum with CB (P = 0.003). There was significant difference in deviation angle between variants of deviated nasal septum (P = 0.048), notably between septum deviated to left side and "S"-shaped nasal septum (P = 0.024).

Conclusion: Recognizing variants of nasal septum and nasal cavities is crucial to prevent surgical complications.

Abstract Image

Abstract Image

Abstract Image

尼泊尔患者鼻腔和鼻中隔的解剖变异:一项三级保健中心的回顾性横断面研究。
背景:鼻中隔和鼻腔结构的变异是鼻外科手术的关键,其中一些与某些病理有关。本研究旨在确定其在我们医院尼泊尔人口中的患病率。方法:在尼泊尔一家私立医院对342名成人(年龄在10 ~ 13岁)进行回顾性横断面研究。两名放射科医生评估了CT扫描的鼻中隔变异、鼻中隔偏角、鼻甲骨变异和钩突充气。鼻中隔偏曲从I级到IV级,并计算性别特异性患病率和平均鼻中隔偏曲(NSD)角。采用卡方检验、t检验和方差分析进行统计学显著性检验。结果:鼻中隔偏曲(76.68%)、鼻中隔骨刺(41.98%)、鼻中隔气化(40.23%)、下鼻甲肥大(38.48%)、板层鼻甲(34.11%)、大鼻甲(19.83%)、上鼻甲(9.33%)、中鼻甲异位(9.33%)、钩突气化(8.45%)。鼻中隔偏右侧占34.11%,左侧占34.40%,s型占8.16%。鼻中隔类型患病率为:I型(30.9%)、II型(48.1%)、III型(16.91%)、IV型(4.08%)。平均间隔偏角为6.77°(SD为4.52°)。中隔偏曲的平均偏度为8.64°(SD为3.2°)。中隔偏曲与中隔骨刺、CB、下鼻甲肥大、中鼻甲异位有显著相关性(P = 0.006, P = 0.001)。鼻中隔类型与CB有显著相关性(P = 0.003)。不同类型鼻中隔偏曲角度差异有统计学意义(P = 0.048),偏左鼻中隔与S型鼻中隔偏曲角度差异有统计学意义(P = 0.024)。结论:识别鼻中隔和鼻腔的变异是预防手术并发症的关键。
本文章由计算机程序翻译,如有差异,请以英文原文为准。
求助全文
约1分钟内获得全文 求助全文
来源期刊
Annals of Medicine and Surgery
Annals of Medicine and Surgery MEDICINE, GENERAL & INTERNAL-
自引率
5.90%
发文量
1665
×
引用
GB/T 7714-2015
复制
MLA
复制
APA
复制
导出至
BibTeX EndNote RefMan NoteFirst NoteExpress
×
提示
您的信息不完整,为了账户安全,请先补充。
现在去补充
×
提示
您因"违规操作"
具体请查看互助需知
我知道了
×
提示
确定
请完成安全验证×
copy
已复制链接
快去分享给好友吧!
我知道了
右上角分享
点击右上角分享
0
联系我们:info@booksci.cn Book学术提供免费学术资源搜索服务,方便国内外学者检索中英文文献。致力于提供最便捷和优质的服务体验。 Copyright © 2023 布克学术 All rights reserved.
京ICP备2023020795号-1
ghs 京公网安备 11010802042870号
Book学术文献互助
Book学术文献互助群
群 号:604180095
Book学术官方微信