Surgical management of biventricular hydrocephalus caused by tuberculosis-induced bilateral obstruction of the foramen of Monro: illustrative case.

Kaveh Ebrahimzadeh, Mohammad Mirahmadi Eraghi, Mohammad Hallajnejad, Seyed Taher Mousavian, Mohammad Ansari, Shahram Sabeti
{"title":"Surgical management of biventricular hydrocephalus caused by tuberculosis-induced bilateral obstruction of the foramen of Monro: illustrative case.","authors":"Kaveh Ebrahimzadeh, Mohammad Mirahmadi Eraghi, Mohammad Hallajnejad, Seyed Taher Mousavian, Mohammad Ansari, Shahram Sabeti","doi":"10.3171/CASE25349","DOIUrl":null,"url":null,"abstract":"<p><strong>Background: </strong>Occlusion of the foramen of Monro is an exceedingly rare condition in adults and can lead to obstructive hydrocephalus. The authors present the first reported case of biventricular hydrocephalus caused by tuberculosis-induced bilateral obstruction of the foramen of Monro. They also discuss the technical nuances and surgical challenges associated with this condition.</p><p><strong>Observations: </strong>A 47-year-old female presented with a 3-month history of short-term memory disturbances, ultimately leading to loss of consciousness. Neuroimaging revealed symmetrical biventricular hydrocephalus accompanied by periventricular interstitial edema. A lumbar puncture indicated lymphocytic-dominant pleocytosis and reduced glucose levels. During the endoscopic approach, significant stenosis of the foramen of Monro was noticed and monroplasty and septostomy were performed. Pathological examination revealed granulomatous inflammation. At the 1-year follow-up, the patient demonstrated significant clinical and radiological improvement, with resolution of symptoms and hydrocephalus.</p><p><strong>Lessons: </strong>Tuberculosis-induced bilateral idiopathic occlusion of the foramen of Monro is an extremely uncommon cause of hydrocephalus. Neuroendoscopy allows for visualization, biopsy, and direct treatment of the obstruction simultaneously. While conservative management may be adequate for asymptomatic cases, neuroendoscopic procedures such as septostomy or foraminoplasty provide a minimally invasive option for restoring CSF flow, avoiding unnecessary shunt insertion in symptomatic cases. https://thejns.org/doi/10.3171/CASE25349.</p>","PeriodicalId":94098,"journal":{"name":"Journal of neurosurgery. Case lessons","volume":"10 9","pages":""},"PeriodicalIF":0.0000,"publicationDate":"2025-09-01","publicationTypes":"Journal Article","fieldsOfStudy":null,"isOpenAccess":false,"openAccessPdf":"https://www.ncbi.nlm.nih.gov/pmc/articles/PMC12400846/pdf/","citationCount":"0","resultStr":null,"platform":"Semanticscholar","paperid":null,"PeriodicalName":"Journal of neurosurgery. Case lessons","FirstCategoryId":"1085","ListUrlMain":"https://doi.org/10.3171/CASE25349","RegionNum":0,"RegionCategory":null,"ArticlePicture":[],"TitleCN":null,"AbstractTextCN":null,"PMCID":null,"EPubDate":"","PubModel":"","JCR":"","JCRName":"","Score":null,"Total":0}
引用次数: 0

Abstract

Background: Occlusion of the foramen of Monro is an exceedingly rare condition in adults and can lead to obstructive hydrocephalus. The authors present the first reported case of biventricular hydrocephalus caused by tuberculosis-induced bilateral obstruction of the foramen of Monro. They also discuss the technical nuances and surgical challenges associated with this condition.

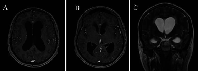
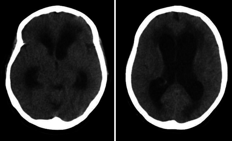
Observations: A 47-year-old female presented with a 3-month history of short-term memory disturbances, ultimately leading to loss of consciousness. Neuroimaging revealed symmetrical biventricular hydrocephalus accompanied by periventricular interstitial edema. A lumbar puncture indicated lymphocytic-dominant pleocytosis and reduced glucose levels. During the endoscopic approach, significant stenosis of the foramen of Monro was noticed and monroplasty and septostomy were performed. Pathological examination revealed granulomatous inflammation. At the 1-year follow-up, the patient demonstrated significant clinical and radiological improvement, with resolution of symptoms and hydrocephalus.

Lessons: Tuberculosis-induced bilateral idiopathic occlusion of the foramen of Monro is an extremely uncommon cause of hydrocephalus. Neuroendoscopy allows for visualization, biopsy, and direct treatment of the obstruction simultaneously. While conservative management may be adequate for asymptomatic cases, neuroendoscopic procedures such as septostomy or foraminoplasty provide a minimally invasive option for restoring CSF flow, avoiding unnecessary shunt insertion in symptomatic cases. https://thejns.org/doi/10.3171/CASE25349.

Abstract Image

Abstract Image

Abstract Image

结核性双侧门罗孔梗阻致双脑室脑积水的外科治疗:一例说明性病例。
背景:Monro孔闭塞是一种非常罕见的成人疾病,可导致梗阻性脑积水。作者提出了首例报告的双脑室脑积水由结核引起的双侧Monro孔阻塞引起。他们还讨论了与这种情况相关的技术细节和手术挑战。观察:一名47岁女性,有3个月的短期记忆障碍病史,最终导致意识丧失。神经影像学显示对称性双脑室脑积水伴脑室周围间质水肿。腰椎穿刺显示淋巴细胞占优势的多细胞症和血糖水平降低。在内镜入路中,发现Monro孔明显狭窄,并进行Monro成形术和中隔造口术。病理检查示肉芽肿性炎症。在1年的随访中,患者表现出明显的临床和影像学改善,症状和脑积水得到缓解。经验教训:结核引起的双侧特发性Monro孔闭塞是一种极为罕见的脑积水原因。神经内窥镜可以同时观察、活检和直接治疗梗阻。对于无症状的病例,保守治疗可能是足够的,神经内窥镜手术如中隔造口术或椎间孔成形术提供了恢复脑脊液流动的微创选择,避免了在有症状的病例中不必要的分流器插入。https://thejns.org/doi/10.3171/CASE25349。
本文章由计算机程序翻译,如有差异,请以英文原文为准。
求助全文
约1分钟内获得全文 求助全文
来源期刊
CiteScore
0.40
自引率
0.00%
发文量
0
×
引用
GB/T 7714-2015
复制
MLA
复制
APA
复制
导出至
BibTeX EndNote RefMan NoteFirst NoteExpress
×
提示
您的信息不完整,为了账户安全,请先补充。
现在去补充
×
提示
您因"违规操作"
具体请查看互助需知
我知道了
×
提示
确定
请完成安全验证×
copy
已复制链接
快去分享给好友吧!
我知道了
右上角分享
点击右上角分享
0
联系我们:info@booksci.cn Book学术提供免费学术资源搜索服务,方便国内外学者检索中英文文献。致力于提供最便捷和优质的服务体验。 Copyright © 2023 布克学术 All rights reserved.
京ICP备2023020795号-1
ghs 京公网安备 11010802042870号
Book学术文献互助
Book学术文献互助群
群 号:604180095
Book学术官方微信