Catheter erosion through the rectum 8 years after uncomplicated ventriculoperitoneal shunt placement: illustrative case.

Matthew Wierzbicki, India Shelley, Matthews Lan, Aria Mahtabfar, Christopher J Farrell
{"title":"Catheter erosion through the rectum 8 years after uncomplicated ventriculoperitoneal shunt placement: illustrative case.","authors":"Matthew Wierzbicki, India Shelley, Matthews Lan, Aria Mahtabfar, Christopher J Farrell","doi":"10.3171/CASE25365","DOIUrl":null,"url":null,"abstract":"<p><strong>Background: </strong>Distal bowel perforation by peritoneal catheter (BPPC) is a rare complication following ventriculoperitoneal shunt (VPS) placement for the treatment of hydrocephalus. In some cases, BPPC may present with extrusion through the anus and can occur years after VPS placement.</p><p><strong>Observations: </strong>The authors report the case of a 30-year-old woman who had a VPS placed 8 years prior and found a catheter protruding from her rectum. Having pulled out 1 foot of catheter, she presented to the hospital where the shunt was externalized before concurrent VPS removal and laparotomy to repair the bowel perforation.</p><p><strong>Lessons: </strong>BPPC with anal extrusion is a rare complication of VPS that can occur years after shunt placement and can present with a broad array of symptoms. BPPC should remain on the differential for people with VPS and systemic symptoms for the duration of their lives. https://thejns.org/doi/10.3171/CASE25365.</p>","PeriodicalId":94098,"journal":{"name":"Journal of neurosurgery. Case lessons","volume":"10 9","pages":""},"PeriodicalIF":0.0000,"publicationDate":"2025-09-01","publicationTypes":"Journal Article","fieldsOfStudy":null,"isOpenAccess":false,"openAccessPdf":"https://www.ncbi.nlm.nih.gov/pmc/articles/PMC12400841/pdf/","citationCount":"0","resultStr":null,"platform":"Semanticscholar","paperid":null,"PeriodicalName":"Journal of neurosurgery. Case lessons","FirstCategoryId":"1085","ListUrlMain":"https://doi.org/10.3171/CASE25365","RegionNum":0,"RegionCategory":null,"ArticlePicture":[],"TitleCN":null,"AbstractTextCN":null,"PMCID":null,"EPubDate":"","PubModel":"","JCR":"","JCRName":"","Score":null,"Total":0}
引用次数: 0

Abstract

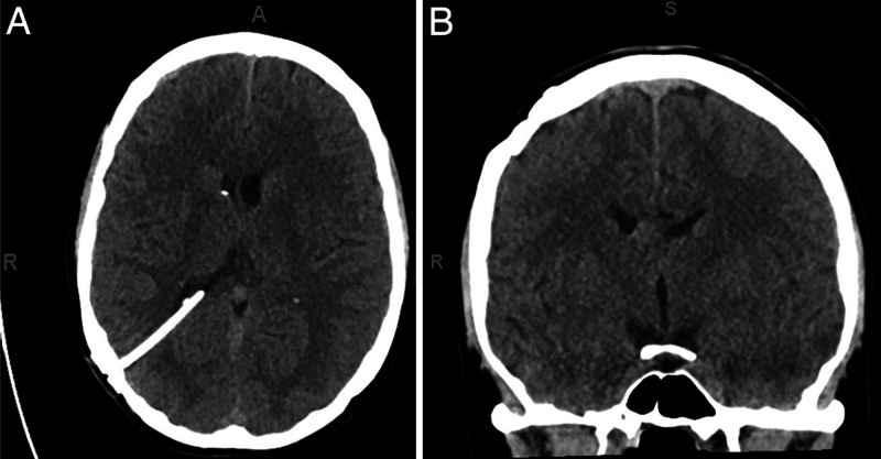
Background: Distal bowel perforation by peritoneal catheter (BPPC) is a rare complication following ventriculoperitoneal shunt (VPS) placement for the treatment of hydrocephalus. In some cases, BPPC may present with extrusion through the anus and can occur years after VPS placement.

Observations: The authors report the case of a 30-year-old woman who had a VPS placed 8 years prior and found a catheter protruding from her rectum. Having pulled out 1 foot of catheter, she presented to the hospital where the shunt was externalized before concurrent VPS removal and laparotomy to repair the bowel perforation.

Lessons: BPPC with anal extrusion is a rare complication of VPS that can occur years after shunt placement and can present with a broad array of symptoms. BPPC should remain on the differential for people with VPS and systemic symptoms for the duration of their lives. https://thejns.org/doi/10.3171/CASE25365.

Abstract Image

Abstract Image

Abstract Image

无并发症脑室腹腔分流放置后8年直肠导管糜烂:说明性病例。
背景:腹膜导管远端肠穿孔(BPPC)是脑室-腹膜分流术(VPS)治疗脑积水后罕见的并发症。在某些情况下,BPPC可能表现为通过肛门挤压,并可能在VPS放置数年后发生。观察:作者报告了一名30岁妇女的病例,她在8年前放置了VPS,发现导管从她的直肠突出。在拔出1英尺的导管后,她来到医院,在同时移除VPS和开腹修复肠穿孔之前,分流器被取出。结论:BPPC合并肛门挤压是VPS的罕见并发症,可在分流器放置数年后发生,并可呈现多种症状。对于有VPS和全身性症状的患者,BPPC应在其一生中保持差异。https://thejns.org/doi/10.3171/CASE25365。
本文章由计算机程序翻译,如有差异,请以英文原文为准。
求助全文
约1分钟内获得全文 求助全文
来源期刊
CiteScore
0.40
自引率
0.00%
发文量
0
×
引用
GB/T 7714-2015
复制
MLA
复制
APA
复制
导出至
BibTeX EndNote RefMan NoteFirst NoteExpress
×
提示
您的信息不完整,为了账户安全,请先补充。
现在去补充
×
提示
您因"违规操作"
具体请查看互助需知
我知道了
×
提示
确定
请完成安全验证×
copy
已复制链接
快去分享给好友吧!
我知道了
右上角分享
点击右上角分享
0
联系我们:info@booksci.cn Book学术提供免费学术资源搜索服务,方便国内外学者检索中英文文献。致力于提供最便捷和优质的服务体验。 Copyright © 2023 布克学术 All rights reserved.
京ICP备2023020795号-1
ghs 京公网安备 11010802042870号
Book学术文献互助
Book学术文献互助群
群 号:604180095
Book学术官方微信