Frog skin as an alternative temporary dressing for diabetic foot ulcers treatment: animal model.

IF 1.3
Acta cirurgica brasileira Pub Date : 2025-08-18 eCollection Date: 2025-01-01 DOI:10.1590/acb406625
Cristina Pires Camargo, Janayna Terlera Paulino, Deborah Luisa de Sousa Santos, Bianca Loula Santos, Ezequiel da Silva Passos Porto, Maria José Ferreira Alves, Miyuki Uno, Tatiane Katsue Furuya, Rolf Gemperli
{"title":"Frog skin as an alternative temporary dressing for diabetic foot ulcers treatment: animal model.","authors":"Cristina Pires Camargo, Janayna Terlera Paulino, Deborah Luisa de Sousa Santos, Bianca Loula Santos, Ezequiel da Silva Passos Porto, Maria José Ferreira Alves, Miyuki Uno, Tatiane Katsue Furuya, Rolf Gemperli","doi":"10.1590/acb406625","DOIUrl":null,"url":null,"abstract":"<p><strong>Purpose: </strong>Diabetic foot ulcers (DFUs) are chronic lesions, and despite extensive research, no standardized treatment exists yet. This study aimed to evaluate the effect of frog skin application as a temporary dressing on the DFUs of diabetic rats.</p><p><strong>Methods: </strong>Diabetes was induced in male Wistar rats (n = 22) weighing 200-300 g through a streptozotocin injection (55 mg/kg). The animals received sub-doses of long-acting insulin to induce a moderate, chronic diabetic state. A DFU was surgically created on the animal's paws (1 × 1 cm). The animals were divided into two groups: a control group treated with gauze and 0.9% saline solution (n = 10), and the frog skin group (n = 12). Both groups were further subdivided so it was possible to analyze their healing on postoperative 7 and 14 days (POD7 and POD14). The primary endpoints assessed included DFU contraction area, histological analysis, and gene expression.</p><p><strong>Results: </strong>On POD14, the frog skin group showed six times less contracture when compared to the control group. Histological analysis revealed a 30% increase in neoangiogenesis and 50% reduction in inflammation in the POD14 frog skin group when compared to the control group. Additionally, on POD7, Il10 expression was about five times higher in the frog skin group compared to the respective control (p = 0.011).</p><p><strong>Conclusion: </strong>This study suggests that the use of frog skin as temporary biological dressing can reduce DFU secondary contraction and inflammation, offering potential therapeutic benefits for chronic wound management.</p>","PeriodicalId":93850,"journal":{"name":"Acta cirurgica brasileira","volume":"40 ","pages":"e406625"},"PeriodicalIF":1.3000,"publicationDate":"2025-08-18","publicationTypes":"Journal Article","fieldsOfStudy":null,"isOpenAccess":false,"openAccessPdf":"https://www.ncbi.nlm.nih.gov/pmc/articles/PMC12360677/pdf/","citationCount":"0","resultStr":null,"platform":"Semanticscholar","paperid":null,"PeriodicalName":"Acta cirurgica brasileira","FirstCategoryId":"1085","ListUrlMain":"https://doi.org/10.1590/acb406625","RegionNum":0,"RegionCategory":null,"ArticlePicture":[],"TitleCN":null,"AbstractTextCN":null,"PMCID":null,"EPubDate":"2025/1/1 0:00:00","PubModel":"eCollection","JCR":"","JCRName":"","Score":null,"Total":0}
引用次数: 0

Abstract

Purpose: Diabetic foot ulcers (DFUs) are chronic lesions, and despite extensive research, no standardized treatment exists yet. This study aimed to evaluate the effect of frog skin application as a temporary dressing on the DFUs of diabetic rats.

Methods: Diabetes was induced in male Wistar rats (n = 22) weighing 200-300 g through a streptozotocin injection (55 mg/kg). The animals received sub-doses of long-acting insulin to induce a moderate, chronic diabetic state. A DFU was surgically created on the animal's paws (1 × 1 cm). The animals were divided into two groups: a control group treated with gauze and 0.9% saline solution (n = 10), and the frog skin group (n = 12). Both groups were further subdivided so it was possible to analyze their healing on postoperative 7 and 14 days (POD7 and POD14). The primary endpoints assessed included DFU contraction area, histological analysis, and gene expression.

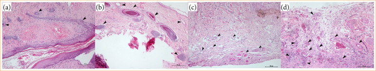
Results: On POD14, the frog skin group showed six times less contracture when compared to the control group. Histological analysis revealed a 30% increase in neoangiogenesis and 50% reduction in inflammation in the POD14 frog skin group when compared to the control group. Additionally, on POD7, Il10 expression was about five times higher in the frog skin group compared to the respective control (p = 0.011).

Conclusion: This study suggests that the use of frog skin as temporary biological dressing can reduce DFU secondary contraction and inflammation, offering potential therapeutic benefits for chronic wound management.

Abstract Image

蛙皮作为糖尿病足溃疡治疗的临时敷料:动物模型。
目的:糖尿病足溃疡(DFUs)是一种慢性病变,尽管有广泛的研究,但尚未有标准化的治疗方法。本研究旨在评价蛙皮临时敷料对糖尿病大鼠DFUs的影响。方法:用链脲佐菌素(55 mg/kg)诱导体重200 ~ 300 g的雄性Wistar大鼠(22只)患糖尿病。这些动物接受了亚剂量的长效胰岛素,以诱导中度、慢性糖尿病状态。通过手术在动物的爪子上创造了一个DFU (1 × 1厘米)。将实验动物分为两组:纱布加0.9%生理盐水治疗对照组(n = 10)和蛙皮组(n = 12)。两组进一步细分,以便分析术后7天和14天(POD7和POD14)的愈合情况。评估的主要终点包括DFU收缩面积、组织学分析和基因表达。结果:在POD14上,青蛙皮肤组的挛缩程度是对照组的6倍。组织学分析显示,与对照组相比,POD14青蛙皮肤组的新生血管生成增加了30%,炎症减少了50%。此外,在POD7上,与相应的对照组相比,青蛙皮肤组的Il10表达量高出约5倍(p = 0.011)。结论:本研究提示,使用青蛙皮作为临时生物敷料可减少DFU继发性收缩和炎症,为慢性伤口治疗提供潜在的治疗效果。
本文章由计算机程序翻译,如有差异,请以英文原文为准。
求助全文
约1分钟内获得全文 求助全文
来源期刊
自引率
0.00%
发文量
0
×
引用
GB/T 7714-2015
复制
MLA
复制
APA
复制
导出至
BibTeX EndNote RefMan NoteFirst NoteExpress
×
提示
您的信息不完整,为了账户安全,请先补充。
现在去补充
×
提示
您因"违规操作"
具体请查看互助需知
我知道了
×
提示
确定
请完成安全验证×
copy
已复制链接
快去分享给好友吧!
我知道了
右上角分享
点击右上角分享
0
联系我们:info@booksci.cn Book学术提供免费学术资源搜索服务,方便国内外学者检索中英文文献。致力于提供最便捷和优质的服务体验。 Copyright © 2023 布克学术 All rights reserved.
京ICP备2023020795号-1
ghs 京公网安备 11010802042870号
Book学术文献互助
Book学术文献互助群
群 号:604180095
Book学术官方微信