A Personalized 3D-Printed CAD/CAM Functional Space Maintainer Following the Premature Loss of a Primary First Molar in a Five-Year-Old Child.

IF 0.8 Q3 MEDICINE, GENERAL & INTERNAL
Rasa Mladenovic, Andrija Nedeljkovic, Ljiljana Vujacic, Marko Stevanovic, Vladan Djordjevic, Srbislav Pajic, Kristina Mladenovic
{"title":"A Personalized 3D-Printed CAD/CAM Functional Space Maintainer Following the Premature Loss of a Primary First Molar in a Five-Year-Old Child.","authors":"Rasa Mladenovic, Andrija Nedeljkovic, Ljiljana Vujacic, Marko Stevanovic, Vladan Djordjevic, Srbislav Pajic, Kristina Mladenovic","doi":"10.3390/reports8030125","DOIUrl":null,"url":null,"abstract":"<p><p>Primary teeth play a crucial role in a child's development, particularly in maintaining space for permanent teeth. The premature loss of a primary tooth can lead to orthodontic issues, making the use of space maintainers essential to ensure proper growth and development of permanent teeth. To preserve space, the fabrication of a space maintainer is necessary. Since conventional space maintainers do not restore masticatory function, this study presents an innovative solution for space preservation following the extraction of the first primary molar through the design of the functional space maintainer KOS&MET (Key Orthodontic System and Materials Enhanced Therapy). The space maintainer was designed using the 3Shape Dental Designer 2023 version software tool and manufactured via additive 3D printing, utilizing a metal alloy with high resistance to masticatory forces. The crown is supported by the primary canine, while an intraoral window is created to monitor the eruption of the successor tooth. This design does not interfere with occlusion and enables bilateral chewing. Masticatory performance was assessed using two-color chewing gum, and the results showed improvement after cementing the space maintainer. This innovative approach not only preserves space for permanent teeth but also enhances masticatory function, contributing to the proper growth and development of the jaws and teeth.</p>","PeriodicalId":74664,"journal":{"name":"Reports (MDPI)","volume":"8 3","pages":""},"PeriodicalIF":0.8000,"publicationDate":"2025-07-29","publicationTypes":"Journal Article","fieldsOfStudy":null,"isOpenAccess":false,"openAccessPdf":"https://www.ncbi.nlm.nih.gov/pmc/articles/PMC12372091/pdf/","citationCount":"0","resultStr":null,"platform":"Semanticscholar","paperid":null,"PeriodicalName":"Reports (MDPI)","FirstCategoryId":"1085","ListUrlMain":"https://doi.org/10.3390/reports8030125","RegionNum":0,"RegionCategory":null,"ArticlePicture":[],"TitleCN":null,"AbstractTextCN":null,"PMCID":null,"EPubDate":"","PubModel":"","JCR":"Q3","JCRName":"MEDICINE, GENERAL & INTERNAL","Score":null,"Total":0}
引用次数: 0

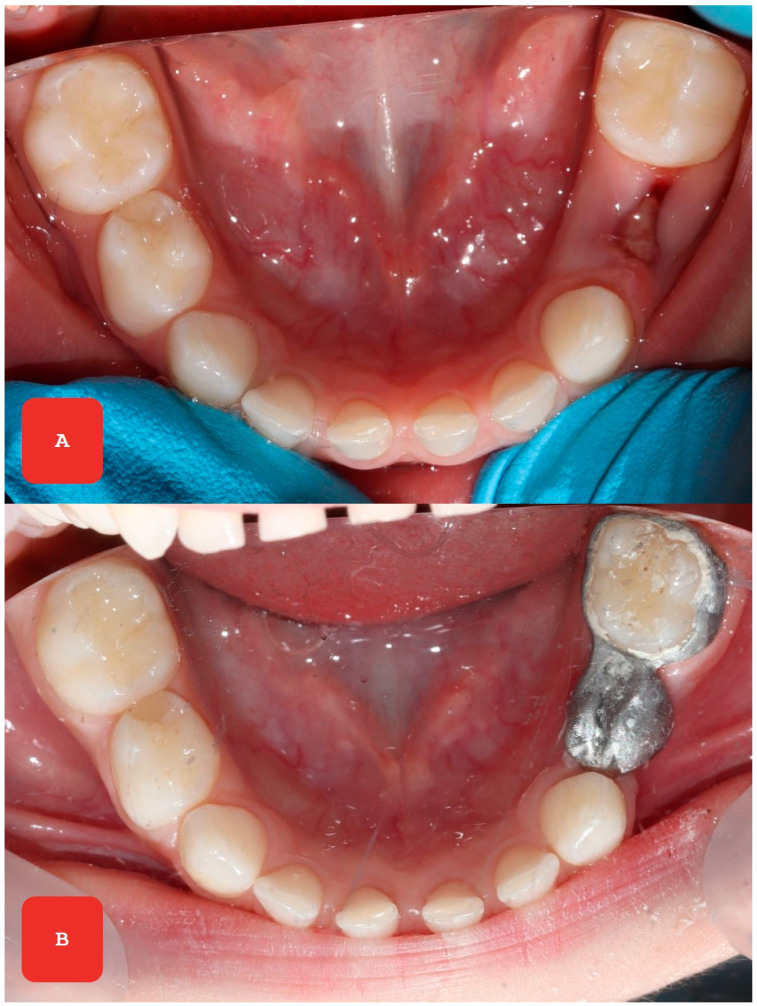
Abstract

Primary teeth play a crucial role in a child's development, particularly in maintaining space for permanent teeth. The premature loss of a primary tooth can lead to orthodontic issues, making the use of space maintainers essential to ensure proper growth and development of permanent teeth. To preserve space, the fabrication of a space maintainer is necessary. Since conventional space maintainers do not restore masticatory function, this study presents an innovative solution for space preservation following the extraction of the first primary molar through the design of the functional space maintainer KOS&MET (Key Orthodontic System and Materials Enhanced Therapy). The space maintainer was designed using the 3Shape Dental Designer 2023 version software tool and manufactured via additive 3D printing, utilizing a metal alloy with high resistance to masticatory forces. The crown is supported by the primary canine, while an intraoral window is created to monitor the eruption of the successor tooth. This design does not interfere with occlusion and enables bilateral chewing. Masticatory performance was assessed using two-color chewing gum, and the results showed improvement after cementing the space maintainer. This innovative approach not only preserves space for permanent teeth but also enhances masticatory function, contributing to the proper growth and development of the jaws and teeth.

Abstract Image

Abstract Image

Abstract Image

个性化3d打印CAD/CAM功能空间维持器在五岁儿童第一磨牙过早脱落后的应用
乳牙在儿童的发育中起着至关重要的作用,特别是在为恒牙保持空间方面。乳牙过早脱落会导致正畸问题,因此使用空间维持器对于确保恒牙的正常生长和发育至关重要。为了保护空间,制造一个空间维护器是必要的。由于传统的空间维持器不能恢复咀嚼功能,本研究通过设计功能性空间维持器KOS&MET (Key Orthodontic System and Materials Enhanced Therapy),提出了一种创新的解决方案,用于第一初级磨牙拔牙后的空间保存。空间维护器是使用3Shape Dental Designer 2023版本软件工具设计的,并通过增材3D打印制造,使用具有高抗咀嚼力的金属合金。牙冠由主要的犬齿支撑,而一个口内窗口是用来监测后继牙齿的爆发。这种设计不会干扰咬合,使双侧咀嚼成为可能。采用双色口香糖对大鼠的咀嚼功能进行评价,结果表明,固接空间保持器后,大鼠的咀嚼功能有所改善。这种创新的方法不仅保留了恒牙的空间,而且增强了咀嚼功能,有助于颌骨和牙齿的正常生长和发育。
本文章由计算机程序翻译,如有差异,请以英文原文为准。
求助全文
约1分钟内获得全文 求助全文
来源期刊
自引率
0.00%
发文量
0
审稿时长
11 weeks
×
引用
GB/T 7714-2015
复制
MLA
复制
APA
复制
导出至
BibTeX EndNote RefMan NoteFirst NoteExpress
×
提示
您的信息不完整,为了账户安全,请先补充。
现在去补充
×
提示
您因"违规操作"
具体请查看互助需知
我知道了
×
提示
确定
请完成安全验证×
copy
已复制链接
快去分享给好友吧!
我知道了
右上角分享
点击右上角分享
0
联系我们:info@booksci.cn Book学术提供免费学术资源搜索服务,方便国内外学者检索中英文文献。致力于提供最便捷和优质的服务体验。 Copyright © 2023 布克学术 All rights reserved.
京ICP备2023020795号-1
ghs 京公网安备 11010802042870号
Book学术文献互助
Book学术文献互助群
群 号:604180095
Book学术官方微信