Blue Nevi and Melanoma Arising in Blue Nevus: A Comparative Histopathological Case Series.

IF 0.8 Q3 MEDICINE, GENERAL & INTERNAL
Hristo Popov, Pavel Pavlov, George S Stoyanov
{"title":"Blue Nevi and Melanoma Arising in Blue Nevus: A Comparative Histopathological Case Series.","authors":"Hristo Popov, Pavel Pavlov, George S Stoyanov","doi":"10.3390/reports8030131","DOIUrl":null,"url":null,"abstract":"<p><p><b>Background and Clinical Significance:</b> Blue nevi are a dubious pigmented lesion. While somewhat common throughout the population, they are significantly less common than other melanocytic neoplasms, and both their morphology and development bring them closer to true hamartomas than neoplasms. An exceedingly rare occurrence is the development of melanoma from a preexisting blue nevus. This nosological unit, defined as melanoma arising in a blue nevus, also known as malignant blue nevus, blue naevus-like melanoma, melanoma ex-blue naevus, and melanoma mimicking cellular blue naevus, is required to either originate from an area of previously excised blue nevus or have a blue nevus remnant adjacent to it. Due to the spindle cell morphology of melanoma arising in blue nevus, the terminology is often misused by some authors to include spindle cell melanomas, which exhibit a distinct pathogenesis and, although morphologically similar, have differing molecular profiles as well. <b>Case presentations:</b> The following manuscript discusses comparative morphological features in a case series of blue nevi and melanoma arising in blue nevi. <b>Discussion:</b> Blue nevi present with unique morphological features, with melanomas originating from them having a unique molecular pathology profile, which significantly differs from other cutaneous melanomas and is closer to that of uveal melanomas.</p>","PeriodicalId":74664,"journal":{"name":"Reports (MDPI)","volume":"8 3","pages":""},"PeriodicalIF":0.8000,"publicationDate":"2025-08-01","publicationTypes":"Journal Article","fieldsOfStudy":null,"isOpenAccess":false,"openAccessPdf":"https://www.ncbi.nlm.nih.gov/pmc/articles/PMC12371955/pdf/","citationCount":"0","resultStr":null,"platform":"Semanticscholar","paperid":null,"PeriodicalName":"Reports (MDPI)","FirstCategoryId":"1085","ListUrlMain":"https://doi.org/10.3390/reports8030131","RegionNum":0,"RegionCategory":null,"ArticlePicture":[],"TitleCN":null,"AbstractTextCN":null,"PMCID":null,"EPubDate":"","PubModel":"","JCR":"Q3","JCRName":"MEDICINE, GENERAL & INTERNAL","Score":null,"Total":0}
引用次数: 0

Abstract

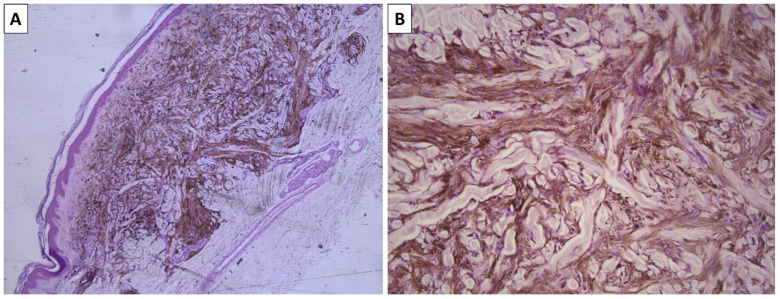
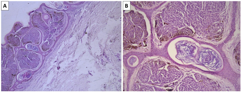
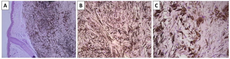
Background and Clinical Significance: Blue nevi are a dubious pigmented lesion. While somewhat common throughout the population, they are significantly less common than other melanocytic neoplasms, and both their morphology and development bring them closer to true hamartomas than neoplasms. An exceedingly rare occurrence is the development of melanoma from a preexisting blue nevus. This nosological unit, defined as melanoma arising in a blue nevus, also known as malignant blue nevus, blue naevus-like melanoma, melanoma ex-blue naevus, and melanoma mimicking cellular blue naevus, is required to either originate from an area of previously excised blue nevus or have a blue nevus remnant adjacent to it. Due to the spindle cell morphology of melanoma arising in blue nevus, the terminology is often misused by some authors to include spindle cell melanomas, which exhibit a distinct pathogenesis and, although morphologically similar, have differing molecular profiles as well. Case presentations: The following manuscript discusses comparative morphological features in a case series of blue nevi and melanoma arising in blue nevi. Discussion: Blue nevi present with unique morphological features, with melanomas originating from them having a unique molecular pathology profile, which significantly differs from other cutaneous melanomas and is closer to that of uveal melanomas.

Abstract Image

Abstract Image

Abstract Image

蓝痣和蓝痣中产生的黑色素瘤:一个比较的组织病理学病例系列。
背景及临床意义:蓝色痣是一种可疑的色素病变。虽然在人群中有些常见,但与其他黑色素细胞肿瘤相比,它们明显不那么常见,而且它们的形态和发育都使它们比肿瘤更接近真正的错构瘤。一种极其罕见的情况是由先前存在的蓝色痣发展成黑色素瘤。这种疾病单位被定义为起源于蓝色痣的黑色素瘤,也被称为恶性蓝色痣、蓝色痣样黑色素瘤、前蓝色痣黑色素瘤和模拟细胞蓝色痣的黑色素瘤,要求要么起源于先前切除的蓝色痣区域,要么在其附近有蓝色痣残余。由于蓝痣中黑色素瘤的梭形细胞形态,该术语经常被一些作者误用,包括梭形细胞黑色素瘤,它们表现出不同的发病机制,尽管形态相似,但也有不同的分子谱。病例介绍:下面的手稿讨论了比较形态学特征的案例系列的蓝色痣和黑色素瘤产生于蓝色痣。讨论:蓝痣具有独特的形态特征,源自蓝痣的黑色素瘤具有独特的分子病理特征,与其他皮肤黑色素瘤有明显区别,更接近葡萄膜黑色素瘤。
本文章由计算机程序翻译,如有差异,请以英文原文为准。
求助全文
约1分钟内获得全文 求助全文
来源期刊
自引率
0.00%
发文量
0
审稿时长
11 weeks
×
引用
GB/T 7714-2015
复制
MLA
复制
APA
复制
导出至
BibTeX EndNote RefMan NoteFirst NoteExpress
×
提示
您的信息不完整,为了账户安全,请先补充。
现在去补充
×
提示
您因"违规操作"
具体请查看互助需知
我知道了
×
提示
确定
请完成安全验证×
copy
已复制链接
快去分享给好友吧!
我知道了
右上角分享
点击右上角分享
0
联系我们:info@booksci.cn Book学术提供免费学术资源搜索服务,方便国内外学者检索中英文文献。致力于提供最便捷和优质的服务体验。 Copyright © 2023 布克学术 All rights reserved.
京ICP备2023020795号-1
ghs 京公网安备 11010802042870号
Book学术文献互助
Book学术文献互助群
群 号:604180095
Book学术官方微信