A Rare Case Report of Wunderlich Syndrome in a Chronic Hemodialysis Patient.

IF 0.8 Q3 MEDICINE, GENERAL & INTERNAL
Elizabeth Artinyan, Evelina Valcheva, Marina Vaysilova, Nikolay Dimov
{"title":"A Rare Case Report of Wunderlich Syndrome in a Chronic Hemodialysis Patient.","authors":"Elizabeth Artinyan, Evelina Valcheva, Marina Vaysilova, Nikolay Dimov","doi":"10.3390/reports8030121","DOIUrl":null,"url":null,"abstract":"<p><p><b>Background and Clinical Significance:</b> Spontaneous renal hematoma, also known as Wunderlich syndrome (WS), is a rare disease characterized by the acute onset of spontaneous renal hemorrhage into the subcapsular, perirenal, and/or pararenal spaces without a history of prior trauma. WS can be a life-threatening condition due to hemorrhagic shock; consequently, prompt diagnosis and a therapeutic approach are essential for favorable outcomes. Treatment ranges from conservative management to surgical intervention. The most common etiologies are neoplasms and vascular diseases, but WS can also be observed in patients undergoing hemodialysis. In patients with end-stage renal disease (ESRD), especially those on hemodialysis, acquired cystic kidney disease and renal cell carcinoma are among the primary causes of WS. Although less common, WS can develop in dialysis patients even in the absence of traditional (primary) risk factors. In general, patients with chronic kidney disease (CKD) have a paradoxical hemostatic profile, likely explaining their higher tendency to bleed, so WS can occur without existing predisposing factors. The multifactorial pathogenesis in these patients includes functional platelet abnormalities, intimal arterial fibrosis, chronic inflammation, and oxidative stress associated with ESRD. The use of hemodialysis-related antithrombotic medications could serve as another contributing factor increasing the risk of bleeding. <b>C</b><b>ase Presentation:</b> We present a case report of a 62-year-old male on chronic dialysis who developed sudden right-sided lumbar pain and hematuria during dialysis without evidence of prior trauma. Imaging revealed a large subcapsular hematoma of the right kidney. Further investigations did not reveal additional risk factors in this instance; however, his routinely used hemodialysis-related antithrombotic medications were potentially a contributing factor. Despite conservative treatment, his condition worsened, and the hematoma enlarged, requiring emergency nephrectomy. Postoperatively, his condition gradually improved. <b>Conclusions:</b> This case highlights the importance of considering WS in hemodialysis patients, even without the presence of traditional risk factors, as well as including WS in the differential diagnosis of acute abdominal pain.</p>","PeriodicalId":74664,"journal":{"name":"Reports (MDPI)","volume":"8 3","pages":""},"PeriodicalIF":0.8000,"publicationDate":"2025-07-25","publicationTypes":"Journal Article","fieldsOfStudy":null,"isOpenAccess":false,"openAccessPdf":"https://www.ncbi.nlm.nih.gov/pmc/articles/PMC12371969/pdf/","citationCount":"0","resultStr":null,"platform":"Semanticscholar","paperid":null,"PeriodicalName":"Reports (MDPI)","FirstCategoryId":"1085","ListUrlMain":"https://doi.org/10.3390/reports8030121","RegionNum":0,"RegionCategory":null,"ArticlePicture":[],"TitleCN":null,"AbstractTextCN":null,"PMCID":null,"EPubDate":"","PubModel":"","JCR":"Q3","JCRName":"MEDICINE, GENERAL & INTERNAL","Score":null,"Total":0}
引用次数: 0

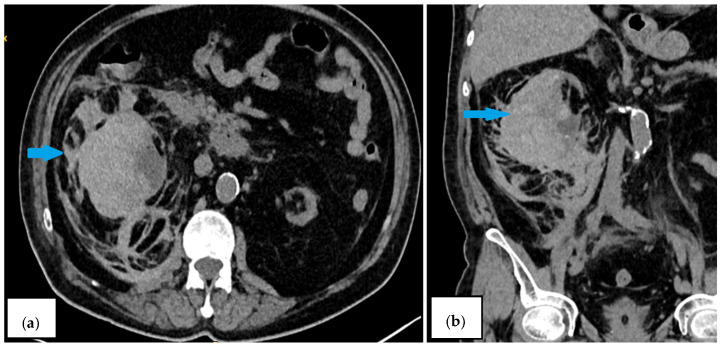
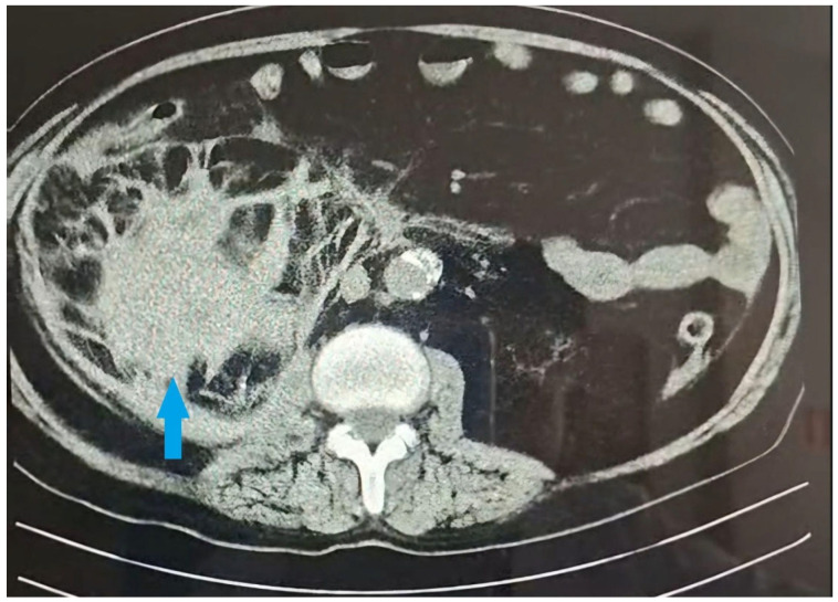
Abstract

Background and Clinical Significance: Spontaneous renal hematoma, also known as Wunderlich syndrome (WS), is a rare disease characterized by the acute onset of spontaneous renal hemorrhage into the subcapsular, perirenal, and/or pararenal spaces without a history of prior trauma. WS can be a life-threatening condition due to hemorrhagic shock; consequently, prompt diagnosis and a therapeutic approach are essential for favorable outcomes. Treatment ranges from conservative management to surgical intervention. The most common etiologies are neoplasms and vascular diseases, but WS can also be observed in patients undergoing hemodialysis. In patients with end-stage renal disease (ESRD), especially those on hemodialysis, acquired cystic kidney disease and renal cell carcinoma are among the primary causes of WS. Although less common, WS can develop in dialysis patients even in the absence of traditional (primary) risk factors. In general, patients with chronic kidney disease (CKD) have a paradoxical hemostatic profile, likely explaining their higher tendency to bleed, so WS can occur without existing predisposing factors. The multifactorial pathogenesis in these patients includes functional platelet abnormalities, intimal arterial fibrosis, chronic inflammation, and oxidative stress associated with ESRD. The use of hemodialysis-related antithrombotic medications could serve as another contributing factor increasing the risk of bleeding. Case Presentation: We present a case report of a 62-year-old male on chronic dialysis who developed sudden right-sided lumbar pain and hematuria during dialysis without evidence of prior trauma. Imaging revealed a large subcapsular hematoma of the right kidney. Further investigations did not reveal additional risk factors in this instance; however, his routinely used hemodialysis-related antithrombotic medications were potentially a contributing factor. Despite conservative treatment, his condition worsened, and the hematoma enlarged, requiring emergency nephrectomy. Postoperatively, his condition gradually improved. Conclusions: This case highlights the importance of considering WS in hemodialysis patients, even without the presence of traditional risk factors, as well as including WS in the differential diagnosis of acute abdominal pain.

Abstract Image

Abstract Image

慢性血液透析患者罕见的Wunderlich综合征1例报告。
背景和临床意义:自发性肾血肿,也被称为Wunderlich综合征(WS),是一种罕见的疾病,其特征是急性发作的自发性肾出血进入包膜下、肾周和/或肾旁间隙,没有先前的创伤史。由于出血性休克,WS可能是一种危及生命的疾病;因此,及时的诊断和治疗方法对于良好的结果是必不可少的。治疗范围从保守管理到手术干预。最常见的病因是肿瘤和血管疾病,但WS也可以在接受血液透析的患者中观察到。在终末期肾脏疾病(ESRD)患者,特别是血液透析患者中,获得性囊性肾病和肾细胞癌是WS的主要原因。虽然不太常见,但即使在没有传统(主要)危险因素的情况下,透析患者也可能发生WS。一般来说,慢性肾脏疾病(CKD)患者具有矛盾的止血特征,这可能解释了他们更高的出血倾向,因此WS可以在没有现有易感因素的情况下发生。这些患者的多因素发病机制包括与ESRD相关的功能性血小板异常、内膜动脉纤维化、慢性炎症和氧化应激。使用与血液透析相关的抗血栓药物可能是增加出血风险的另一个因素。病例介绍:我们报告了一个62岁的男性慢性透析患者,他在透析期间突然出现右侧腰痛和血尿,没有先前创伤的证据。影像显示右肾包膜下有大血肿。进一步的调查未发现该病例的其他危险因素;然而,他常规使用的血液透析相关抗血栓药物可能是一个因素。尽管保守治疗,他的病情恶化,血肿扩大,需要紧急肾切除术。术后病情逐渐好转。结论:本病例强调了在血液透析患者中考虑WS的重要性,即使没有传统的危险因素存在,以及将WS纳入急性腹痛的鉴别诊断。
本文章由计算机程序翻译,如有差异,请以英文原文为准。
求助全文
约1分钟内获得全文 求助全文
来源期刊
自引率
0.00%
发文量
0
审稿时长
11 weeks
×
引用
GB/T 7714-2015
复制
MLA
复制
APA
复制
导出至
BibTeX EndNote RefMan NoteFirst NoteExpress
×
提示
您的信息不完整,为了账户安全,请先补充。
现在去补充
×
提示
您因"违规操作"
具体请查看互助需知
我知道了
×
提示
确定
请完成安全验证×
copy
已复制链接
快去分享给好友吧!
我知道了
右上角分享
点击右上角分享
0
联系我们:info@booksci.cn Book学术提供免费学术资源搜索服务,方便国内外学者检索中英文文献。致力于提供最便捷和优质的服务体验。 Copyright © 2023 布克学术 All rights reserved.
京ICP备2023020795号-1
ghs 京公网安备 11010802042870号
Book学术文献互助
Book学术文献互助群
群 号:604180095
Book学术官方微信