Silently Wrapped: Embolization and Surgical Strategy for Giant Sciatic-Sparing Myxoid Liposarcoma-Case Report.

IF 0.8 Q3 MEDICINE, GENERAL & INTERNAL
Radu Aurelian Vișan, Victor Baluța
{"title":"Silently Wrapped: Embolization and Surgical Strategy for Giant Sciatic-Sparing Myxoid Liposarcoma-Case Report.","authors":"Radu Aurelian Vișan, Victor Baluța","doi":"10.3390/reports8030124","DOIUrl":null,"url":null,"abstract":"<p><p><b>Background and Clinical Significance:</b> Myxoid liposarcoma (MLS) is a malignant soft tissue tumor that often presents as a painless, slow-growing mass and is known for its atypical extrapulmonary metastatic pattern. Although sciatic nerve involvement is rare, when present, it usually causes neurologic symptoms. In this case, a large MLS silently expanded and completely encased the sciatic nerve without causing deficits, highlighting the importance of early imaging, multidisciplinary planning, and individualized surgical strategy in managing complex soft tissue sarcomas. <b>Case Presentation:</b> This case report describes a 67-year-old male with a 30 cm encapsulated myxoid liposarcoma of the posterior left thigh. The tumor had grown insidiously over one year and completely encased the sciatic nerve without causing pain, paresthesia, or motor impairment. Selective embolization was performed preoperatively to minimize blood loss. A posteromedial surgical approach allowed for en bloc resection with negative margins and preservation of sciatic nerve integrity. Histopathology confirmed a myxoid liposarcoma composed primarily of spindle-shaped tumor cells. The patient experienced no postoperative complications or neurologic deficits. At the two-year follow-up, he remains disease-free with full functional recovery. <b>Conclusions:</b> This case illustrates the potential for large, asymptomatic myxoid liposarcomas to encase critical neurovascular structures without infiltration. Preoperative embolization as part of a multidisciplinary plan was key to achieving safe resection and excellent functional outcomes.</p>","PeriodicalId":74664,"journal":{"name":"Reports (MDPI)","volume":"8 3","pages":""},"PeriodicalIF":0.8000,"publicationDate":"2025-07-28","publicationTypes":"Journal Article","fieldsOfStudy":null,"isOpenAccess":false,"openAccessPdf":"https://www.ncbi.nlm.nih.gov/pmc/articles/PMC12371972/pdf/","citationCount":"0","resultStr":null,"platform":"Semanticscholar","paperid":null,"PeriodicalName":"Reports (MDPI)","FirstCategoryId":"1085","ListUrlMain":"https://doi.org/10.3390/reports8030124","RegionNum":0,"RegionCategory":null,"ArticlePicture":[],"TitleCN":null,"AbstractTextCN":null,"PMCID":null,"EPubDate":"","PubModel":"","JCR":"Q3","JCRName":"MEDICINE, GENERAL & INTERNAL","Score":null,"Total":0}
引用次数: 0

Abstract

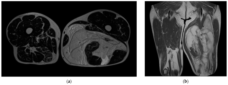
Background and Clinical Significance: Myxoid liposarcoma (MLS) is a malignant soft tissue tumor that often presents as a painless, slow-growing mass and is known for its atypical extrapulmonary metastatic pattern. Although sciatic nerve involvement is rare, when present, it usually causes neurologic symptoms. In this case, a large MLS silently expanded and completely encased the sciatic nerve without causing deficits, highlighting the importance of early imaging, multidisciplinary planning, and individualized surgical strategy in managing complex soft tissue sarcomas. Case Presentation: This case report describes a 67-year-old male with a 30 cm encapsulated myxoid liposarcoma of the posterior left thigh. The tumor had grown insidiously over one year and completely encased the sciatic nerve without causing pain, paresthesia, or motor impairment. Selective embolization was performed preoperatively to minimize blood loss. A posteromedial surgical approach allowed for en bloc resection with negative margins and preservation of sciatic nerve integrity. Histopathology confirmed a myxoid liposarcoma composed primarily of spindle-shaped tumor cells. The patient experienced no postoperative complications or neurologic deficits. At the two-year follow-up, he remains disease-free with full functional recovery. Conclusions: This case illustrates the potential for large, asymptomatic myxoid liposarcomas to encase critical neurovascular structures without infiltration. Preoperative embolization as part of a multidisciplinary plan was key to achieving safe resection and excellent functional outcomes.

Abstract Image

Abstract Image

Abstract Image

无声包裹:巨大坐骨保留黏液样脂肪肉瘤的栓塞和手术策略- 1例报告。
背景和临床意义:黏液样脂肪肉瘤(MLS)是一种恶性软组织肿瘤,通常表现为无痛、生长缓慢的肿块,以其非典型肺外转移模式而闻名。虽然坐骨神经受累是罕见的,但当它出现时,通常会引起神经系统症状。在本例中,一个巨大的MLS悄无声息地扩张并完全包裹坐骨神经,而没有造成缺损,这突出了早期成像、多学科规划和个性化手术策略在治疗复杂软组织肉瘤中的重要性。病例介绍:这个病例报告描述了一个67岁的男性,在左大腿后部有一个30厘米的囊性黏液样脂肪肉瘤。肿瘤已隐匿生长超过一年,并完全包裹坐骨神经,但未引起疼痛、感觉异常或运动障碍。术前进行选择性栓塞以减少失血。后内侧手术入路可实现负缘整块切除并保留坐骨神经的完整性。组织病理学证实为黏液样脂肪肉瘤,主要由梭形肿瘤细胞组成。患者无术后并发症或神经功能缺损。在两年的随访中,他仍然无病,功能完全恢复。结论:这个病例说明了大的、无症状的黏液样脂肪肉瘤可能包围关键的神经血管结构而不浸润。术前栓塞作为多学科计划的一部分是实现安全切除和良好功能结果的关键。
本文章由计算机程序翻译,如有差异,请以英文原文为准。
求助全文
约1分钟内获得全文 求助全文
来源期刊
自引率
0.00%
发文量
0
审稿时长
11 weeks
×
引用
GB/T 7714-2015
复制
MLA
复制
APA
复制
导出至
BibTeX EndNote RefMan NoteFirst NoteExpress
×
提示
您的信息不完整,为了账户安全,请先补充。
现在去补充
×
提示
您因"违规操作"
具体请查看互助需知
我知道了
×
提示
确定
请完成安全验证×
copy
已复制链接
快去分享给好友吧!
我知道了
右上角分享
点击右上角分享
0
联系我们:info@booksci.cn Book学术提供免费学术资源搜索服务,方便国内外学者检索中英文文献。致力于提供最便捷和优质的服务体验。 Copyright © 2023 布克学术 All rights reserved.
京ICP备2023020795号-1
ghs 京公网安备 11010802042870号
Book学术文献互助
Book学术文献互助群
群 号:604180095
Book学术官方微信