Infective Endocarditis with Gerbode Defect and DRESS Syndrome: A Rare Case Report.

IF 0.8 Q3 MEDICINE, GENERAL & INTERNAL
Corina Ureche, Diana Lavinia Moldovan, Ionel Vița, Valeria Guila, Teodora Nicola-Varo
{"title":"Infective Endocarditis with Gerbode Defect and DRESS Syndrome: A Rare Case Report.","authors":"Corina Ureche, Diana Lavinia Moldovan, Ionel Vița, Valeria Guila, Teodora Nicola-Varo","doi":"10.3390/reports8030127","DOIUrl":null,"url":null,"abstract":"<p><p><b>Background and Clinical Significance:</b> Infective endocarditis (IE) is a serious condition with rising incidence, frequently caused by <i>Staphylococcus aureus</i>. However, cases involving rare congenital anomalies such as Gerbode's defect are uncommon. <b>Case Presentation:</b> This report presents the first documented case of IE in a patient with a congenital Gerbode defect complicated by DRESS syndrome-a severe, drug-induced hypersensitivity reaction typically triggered by antibiotics like oxacillin. A 65-year-old woman developed infective endocarditis involving vegetations on the cardiac device lead, the tricuspid valve, and adjacent to a Gerbode defect. The diagnosis was confirmed by positive blood cultures and echocardiographic findings. She received treatment with oxacillin. Subsequently, she exhibited clinical features consistent with DRESS syndrome, including rash, eosinophilia, and multi-organ involvement. Rapid recognition and management, including corticosteroid therapy and antibiotic modification, led to clinical improvement. <b>Conclusions:</b> This case highlights the importance of vigilance for DRESS syndrome in prolonged antibiotic therapy for IE, especially in the context of rare congenital cardiac anomalies. In addition, guidelines are needed to optimize the diagnosis and treatment of this potentially lethal complication.</p>","PeriodicalId":74664,"journal":{"name":"Reports (MDPI)","volume":"8 3","pages":""},"PeriodicalIF":0.8000,"publicationDate":"2025-07-31","publicationTypes":"Journal Article","fieldsOfStudy":null,"isOpenAccess":false,"openAccessPdf":"https://www.ncbi.nlm.nih.gov/pmc/articles/PMC12372111/pdf/","citationCount":"0","resultStr":null,"platform":"Semanticscholar","paperid":null,"PeriodicalName":"Reports (MDPI)","FirstCategoryId":"1085","ListUrlMain":"https://doi.org/10.3390/reports8030127","RegionNum":0,"RegionCategory":null,"ArticlePicture":[],"TitleCN":null,"AbstractTextCN":null,"PMCID":null,"EPubDate":"","PubModel":"","JCR":"Q3","JCRName":"MEDICINE, GENERAL & INTERNAL","Score":null,"Total":0}
引用次数: 0

Abstract

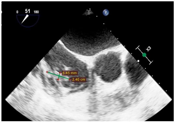
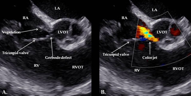
Background and Clinical Significance: Infective endocarditis (IE) is a serious condition with rising incidence, frequently caused by Staphylococcus aureus. However, cases involving rare congenital anomalies such as Gerbode's defect are uncommon. Case Presentation: This report presents the first documented case of IE in a patient with a congenital Gerbode defect complicated by DRESS syndrome-a severe, drug-induced hypersensitivity reaction typically triggered by antibiotics like oxacillin. A 65-year-old woman developed infective endocarditis involving vegetations on the cardiac device lead, the tricuspid valve, and adjacent to a Gerbode defect. The diagnosis was confirmed by positive blood cultures and echocardiographic findings. She received treatment with oxacillin. Subsequently, she exhibited clinical features consistent with DRESS syndrome, including rash, eosinophilia, and multi-organ involvement. Rapid recognition and management, including corticosteroid therapy and antibiotic modification, led to clinical improvement. Conclusions: This case highlights the importance of vigilance for DRESS syndrome in prolonged antibiotic therapy for IE, especially in the context of rare congenital cardiac anomalies. In addition, guidelines are needed to optimize the diagnosis and treatment of this potentially lethal complication.

Abstract Image

Abstract Image

Abstract Image

感染性心内膜炎合并Gerbode缺损及DRESS综合征1例报告。
背景与临床意义:感染性心内膜炎(IE)是一种发病率不断上升的严重疾病,多由金黄色葡萄球菌引起。然而,涉及罕见的先天性异常,如Gerbode的缺陷是不常见的。病例介绍:本报告报告了首例有文献记载的先天性Gerbode缺陷并发DRESS综合征的IE病例,DRESS综合征是一种严重的药物性超敏反应,通常由抗生素如oxacillin引发。一名65岁女性发生感染性心内膜炎,累及心脏装置导联、三尖瓣和邻近Gerbode缺损的植物。阳性血培养和超声心动图结果证实了诊断。她接受了奥西林治疗。随后,她表现出与DRESS综合征一致的临床特征,包括皮疹、嗜酸性粒细胞增多和多器官受累。快速识别和管理,包括皮质类固醇治疗和抗生素修改,导致临床改善。结论:本病例强调了在IE的长期抗生素治疗中警惕DRESS综合征的重要性,特别是在罕见的先天性心脏异常的情况下。此外,还需要指南来优化这种潜在致命并发症的诊断和治疗。
本文章由计算机程序翻译,如有差异,请以英文原文为准。
求助全文
约1分钟内获得全文 求助全文
来源期刊
自引率
0.00%
发文量
0
审稿时长
11 weeks
×
引用
GB/T 7714-2015
复制
MLA
复制
APA
复制
导出至
BibTeX EndNote RefMan NoteFirst NoteExpress
×
提示
您的信息不完整,为了账户安全,请先补充。
现在去补充
×
提示
您因"违规操作"
具体请查看互助需知
我知道了
×
提示
确定
请完成安全验证×
copy
已复制链接
快去分享给好友吧!
我知道了
右上角分享
点击右上角分享
0
联系我们:info@booksci.cn Book学术提供免费学术资源搜索服务,方便国内外学者检索中英文文献。致力于提供最便捷和优质的服务体验。 Copyright © 2023 布克学术 All rights reserved.
京ICP备2023020795号-1
ghs 京公网安备 11010802042870号
Book学术文献互助
Book学术文献互助群
群 号:604180095
Book学术官方微信