Gastric Sarcina ventriculi: A Report on Two Cases.

IF 0.8 Q3 MEDICINE, GENERAL & INTERNAL
Yaomin Chen, Yu Liu, Zhiyan Fu
{"title":"Gastric <i>Sarcina ventriculi</i>: A Report on Two Cases.","authors":"Yaomin Chen, Yu Liu, Zhiyan Fu","doi":"10.3390/reports8030128","DOIUrl":null,"url":null,"abstract":"<p><p><b>Background and Clinical Significance</b>: <i>Sarcina ventriculi</i> is a rare Gram-positive coccus that thrives in acidic environments such as the human stomach. It has been increasingly identified in individuals with delayed gastric emptying and has been reported in association with various gastric disorders. However, its exact pathogenic role is not fully understood and remains controversial. <b>Case Presentation</b>: We present two cases of patients, one with a small bowel obstruction and the other with epigastric pain, both diagnosed with <i>Sarcina ventriculi</i> infection by histological examination of gastric biopsies. The patients were managed with a combination of antibiotics and a proton pump inhibitor, resulting in symptom resolution and clearance of <i>Sarcina ventriculi</i> upon follow-up examinations. <b>Conclusions</b>: This report explores the pathogenicity of <i>Sarcina ventriculi</i> by documenting its presence in symptomatic patients without other identifiable pathogens and demonstrating complete symptom resolution following targeted therapy. These findings raise the possibility of <i>Sarcina ventriculi</i>'s pathogenic potential under specific clinical conditions, suggesting it may act as more than a benign colonizer.</p>","PeriodicalId":74664,"journal":{"name":"Reports (MDPI)","volume":"8 3","pages":""},"PeriodicalIF":0.8000,"publicationDate":"2025-08-01","publicationTypes":"Journal Article","fieldsOfStudy":null,"isOpenAccess":false,"openAccessPdf":"https://www.ncbi.nlm.nih.gov/pmc/articles/PMC12371949/pdf/","citationCount":"0","resultStr":null,"platform":"Semanticscholar","paperid":null,"PeriodicalName":"Reports (MDPI)","FirstCategoryId":"1085","ListUrlMain":"https://doi.org/10.3390/reports8030128","RegionNum":0,"RegionCategory":null,"ArticlePicture":[],"TitleCN":null,"AbstractTextCN":null,"PMCID":null,"EPubDate":"","PubModel":"","JCR":"Q3","JCRName":"MEDICINE, GENERAL & INTERNAL","Score":null,"Total":0}
引用次数: 0

Abstract

Background and Clinical Significance: Sarcina ventriculi is a rare Gram-positive coccus that thrives in acidic environments such as the human stomach. It has been increasingly identified in individuals with delayed gastric emptying and has been reported in association with various gastric disorders. However, its exact pathogenic role is not fully understood and remains controversial. Case Presentation: We present two cases of patients, one with a small bowel obstruction and the other with epigastric pain, both diagnosed with Sarcina ventriculi infection by histological examination of gastric biopsies. The patients were managed with a combination of antibiotics and a proton pump inhibitor, resulting in symptom resolution and clearance of Sarcina ventriculi upon follow-up examinations. Conclusions: This report explores the pathogenicity of Sarcina ventriculi by documenting its presence in symptomatic patients without other identifiable pathogens and demonstrating complete symptom resolution following targeted therapy. These findings raise the possibility of Sarcina ventriculi's pathogenic potential under specific clinical conditions, suggesting it may act as more than a benign colonizer.

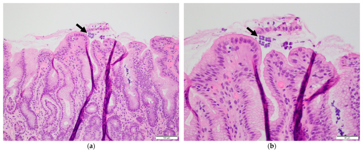
Abstract Image

Abstract Image

胃脑室肌瘤附2例报告。
背景和临床意义:脑室Sarcina是一种罕见的革兰氏阳性球菌,在酸性环境中繁殖,如人类胃。它已越来越多地在胃排空延迟的个体中被发现,并已报道与各种胃疾病有关。然而,其确切的致病作用尚不完全清楚,仍有争议。病例介绍:我们报告了两例患者,一例为小肠梗阻,另一例为胃脘痛,均通过胃活检的组织学检查诊断为脑室肌瘤感染。患者联合使用抗生素和质子泵抑制剂,经随访检查,症状缓解,脑室肌瘤清除。结论:本报告通过记录其在无其他可识别病原体的有症状患者中的存在以及在靶向治疗后症状完全缓解来探讨脑室肌炎的致病性。这些发现提高了脑室肌瘤在特定临床条件下致病的可能性,表明它可能不仅仅是一个良性的定植者。
本文章由计算机程序翻译,如有差异,请以英文原文为准。
求助全文
约1分钟内获得全文 求助全文
来源期刊
自引率
0.00%
发文量
0
审稿时长
11 weeks
×
引用
GB/T 7714-2015
复制
MLA
复制
APA
复制
导出至
BibTeX EndNote RefMan NoteFirst NoteExpress
×
提示
您的信息不完整,为了账户安全,请先补充。
现在去补充
×
提示
您因"违规操作"
具体请查看互助需知
我知道了
×
提示
确定
请完成安全验证×
copy
已复制链接
快去分享给好友吧!
我知道了
右上角分享
点击右上角分享
0
联系我们:info@booksci.cn Book学术提供免费学术资源搜索服务,方便国内外学者检索中英文文献。致力于提供最便捷和优质的服务体验。 Copyright © 2023 布克学术 All rights reserved.
京ICP备2023020795号-1
ghs 京公网安备 11010802042870号
Book学术文献互助
Book学术文献互助群
群 号:604180095
Book学术官方微信