Mandibular Metastatic Breast Cancer: A Rare Case Report with Diagnostic Challenge.

Mohammad Mehdizadeh, Ali Lotfi, Saede Atarbashi-Moghadam, Parsa Eftekhari Moghadam
{"title":"Mandibular Metastatic Breast Cancer: A Rare Case Report with Diagnostic Challenge.","authors":"Mohammad Mehdizadeh, Ali Lotfi, Saede Atarbashi-Moghadam, Parsa Eftekhari Moghadam","doi":"10.30476/dentjods.2025.103764.2475","DOIUrl":null,"url":null,"abstract":"<p><p>Jawbone metastatic lesions are a diagnostic challenge because of their rarity and variable clinical, radiographic, and histopathologic characteristics. This paper presents a 57-year-old female with a chief complaint of lower face swelling. Cone beam computed tomography (CBCT) showed a multilocular radiolucency with right angle septa in the left mandibular area with cortical destruction. She had a history of right breast cancer about six years ago. Histopathologic examination revealed sheets of malignant small round cells. Immunohistochemistry (IHC) was only positive for cytokeratin (CK) and GATA3. CA15-3 tumor marker was higher than the normal range. Based on the aforementioned data, the diagnosis of metastatic breast carcinoma was performed. The whole-body and computed tomography (CT) scan showed just involvement in the left mandibular area. The radiographic appearance of metastatic lesions might be misleading, and microscopic sections might be poorly differentiated, therefore, a precise past medical history, IHC staining, and tumor markers are valuable issues in diagnosing oral cavity metastasis.</p>","PeriodicalId":73702,"journal":{"name":"Journal of dentistry (Shiraz, Iran)","volume":"26 3","pages":"284-287"},"PeriodicalIF":0.0000,"publicationDate":"2025-09-01","publicationTypes":"Journal Article","fieldsOfStudy":null,"isOpenAccess":false,"openAccessPdf":"https://www.ncbi.nlm.nih.gov/pmc/articles/PMC12394743/pdf/","citationCount":"0","resultStr":null,"platform":"Semanticscholar","paperid":null,"PeriodicalName":"Journal of dentistry (Shiraz, Iran)","FirstCategoryId":"1085","ListUrlMain":"https://doi.org/10.30476/dentjods.2025.103764.2475","RegionNum":0,"RegionCategory":null,"ArticlePicture":[],"TitleCN":null,"AbstractTextCN":null,"PMCID":null,"EPubDate":"","PubModel":"","JCR":"","JCRName":"","Score":null,"Total":0}
引用次数: 0

Abstract

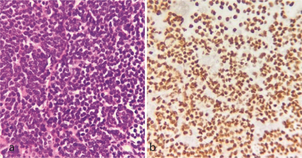
Jawbone metastatic lesions are a diagnostic challenge because of their rarity and variable clinical, radiographic, and histopathologic characteristics. This paper presents a 57-year-old female with a chief complaint of lower face swelling. Cone beam computed tomography (CBCT) showed a multilocular radiolucency with right angle septa in the left mandibular area with cortical destruction. She had a history of right breast cancer about six years ago. Histopathologic examination revealed sheets of malignant small round cells. Immunohistochemistry (IHC) was only positive for cytokeratin (CK) and GATA3. CA15-3 tumor marker was higher than the normal range. Based on the aforementioned data, the diagnosis of metastatic breast carcinoma was performed. The whole-body and computed tomography (CT) scan showed just involvement in the left mandibular area. The radiographic appearance of metastatic lesions might be misleading, and microscopic sections might be poorly differentiated, therefore, a precise past medical history, IHC staining, and tumor markers are valuable issues in diagnosing oral cavity metastasis.

Abstract Image

Abstract Image

Abstract Image

下颌转移性乳腺癌:罕见病例报告与诊断的挑战。
颌骨转移病变是一个诊断挑战,因为他们的罕见和可变的临床,放射学和组织病理学特征。本文报告一位57岁女性,主诉为下面部肿胀。锥束计算机断层扫描(CBCT)显示左侧下颌骨多室放射透光,呈直角间隔,皮层破坏。她大约六年前有过右乳腺癌病史。组织病理学检查显示恶性小圆细胞片。免疫组化(IHC)仅细胞角蛋白(CK)和GATA3阳性。肿瘤标志物CA15-3高于正常范围。根据上述资料,诊断为转移性乳腺癌。全身和计算机断层扫描(CT)显示仅受累于左侧下颌骨区域。转移灶的影像学表现可能会引起误解,显微镜切片可能分化不清,因此,精确的既往病史、免疫组化染色和肿瘤标志物是诊断口腔转移的重要因素。
本文章由计算机程序翻译,如有差异,请以英文原文为准。
求助全文
约1分钟内获得全文 求助全文
来源期刊
CiteScore
0.50
自引率
0.00%
发文量
0
×
引用
GB/T 7714-2015
复制
MLA
复制
APA
复制
导出至
BibTeX EndNote RefMan NoteFirst NoteExpress
×
提示
您的信息不完整,为了账户安全,请先补充。
现在去补充
×
提示
您因"违规操作"
具体请查看互助需知
我知道了
×
提示
确定
请完成安全验证×
copy
已复制链接
快去分享给好友吧!
我知道了
右上角分享
点击右上角分享
0
联系我们:info@booksci.cn Book学术提供免费学术资源搜索服务,方便国内外学者检索中英文文献。致力于提供最便捷和优质的服务体验。 Copyright © 2023 布克学术 All rights reserved.
京ICP备2023020795号-1
ghs 京公网安备 11010802042870号
Book学术文献互助
Book学术文献互助群
群 号:604180095
Book学术官方微信