Expression profiles of SGK-1 and α-ENaC in minor salivary glands of subjects with xerostomia.

IF 1.8 Q3 DENTISTRY, ORAL SURGERY & MEDICINE
Frontiers in dental medicine Pub Date : 2025-08-05 eCollection Date: 2025-01-01 DOI:10.3389/fdmed.2025.1585554
Mahmood S Mozaffari, Rafik Abdelsayed
{"title":"Expression profiles of SGK-1 and α-ENaC in minor salivary glands of subjects with xerostomia.","authors":"Mahmood S Mozaffari, Rafik Abdelsayed","doi":"10.3389/fdmed.2025.1585554","DOIUrl":null,"url":null,"abstract":"<p><strong>Introduction: </strong>Epithelial sodium channel (ENaC) is a major conduit for sodium transport across the cell membrane, and its activity is regulated by multiple factors/mechanisms, including the serum and glucocorticoid-regulated kinase-1 (SGK-1). Saliva production and secretion are complex processes, with ENaC regulation of the ionic composition of saliva being an essential event prior to the ultimate secretion of hypotonic saliva into the oral cavity. However, the status of salivary gland SGK-1, in the context of ENaC, remains to be determined. We tested the hypothesis that lower lip minor salivary gland expressions of SGK-1 and ENaC are affected in subjects reporting xerostomia.</p><p><strong>Methods: </strong>Accordingly, archived biopsy specimens of subjects with a diagnosis of mucocele (control; <i>n</i> = 7) and those of subjects complaining of dry mouth (experimental; <i>n</i> = 12) were subjected to histopathological and immunohistochemical assessments for SGK-1, its phosphorylated (active) form (pSGK-1), and the alpha subunit of ENaC (α-ENaC).</p><p><strong>Results: </strong>Control specimens displayed extravasated mucus surrounded by a capsule of inflamed granulation tissue, while experimental specimens showed patchy periductal, predominantly lymphocytic, infiltrates. Control specimens showed variable degrees of SGK-1 and pSGK-1 immunolabeling of ductal epithelial cells. In contrast, experimental specimens displayed patchy and strong SGK-1 but variable degrees of pSGK-1 immunolabeling of ductal epithelial cells. While control specimens showed variable ductal α-ENaC immunolabeling, those of the experimental group displayed primarily diffuse cytoplasmic, with some membrane, immunolabeling in ductal cells. Semi-quantitative analyses, using ImageJ Fiji, showed increased normalized staining for α-ENaC and SGK-1, but not pSGK-1, for experimental compared to control cases.</p><p><strong>Discussion: </strong>Collectively, the data suggest a difference between the active form of the kinase and α-ENaC in minor salivary glands in xerostomia and that higher SGK-1 and α-ENaC may serve as diagnostic markers for this condition.</p>","PeriodicalId":73077,"journal":{"name":"Frontiers in dental medicine","volume":"6 ","pages":"1585554"},"PeriodicalIF":1.8000,"publicationDate":"2025-08-05","publicationTypes":"Journal Article","fieldsOfStudy":null,"isOpenAccess":false,"openAccessPdf":"https://www.ncbi.nlm.nih.gov/pmc/articles/PMC12361188/pdf/","citationCount":"0","resultStr":null,"platform":"Semanticscholar","paperid":null,"PeriodicalName":"Frontiers in dental medicine","FirstCategoryId":"1085","ListUrlMain":"https://doi.org/10.3389/fdmed.2025.1585554","RegionNum":0,"RegionCategory":null,"ArticlePicture":[],"TitleCN":null,"AbstractTextCN":null,"PMCID":null,"EPubDate":"2025/1/1 0:00:00","PubModel":"eCollection","JCR":"Q3","JCRName":"DENTISTRY, ORAL SURGERY & MEDICINE","Score":null,"Total":0}
引用次数: 0

Abstract

Introduction: Epithelial sodium channel (ENaC) is a major conduit for sodium transport across the cell membrane, and its activity is regulated by multiple factors/mechanisms, including the serum and glucocorticoid-regulated kinase-1 (SGK-1). Saliva production and secretion are complex processes, with ENaC regulation of the ionic composition of saliva being an essential event prior to the ultimate secretion of hypotonic saliva into the oral cavity. However, the status of salivary gland SGK-1, in the context of ENaC, remains to be determined. We tested the hypothesis that lower lip minor salivary gland expressions of SGK-1 and ENaC are affected in subjects reporting xerostomia.

Methods: Accordingly, archived biopsy specimens of subjects with a diagnosis of mucocele (control; n = 7) and those of subjects complaining of dry mouth (experimental; n = 12) were subjected to histopathological and immunohistochemical assessments for SGK-1, its phosphorylated (active) form (pSGK-1), and the alpha subunit of ENaC (α-ENaC).

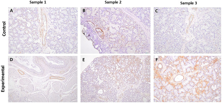
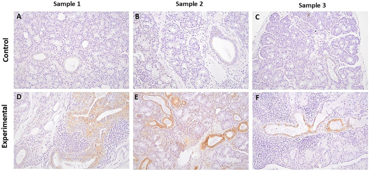
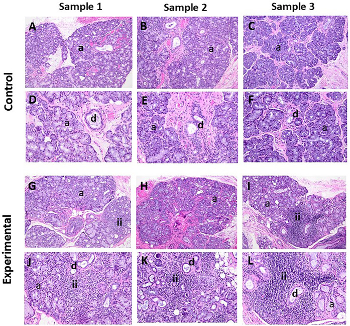
Results: Control specimens displayed extravasated mucus surrounded by a capsule of inflamed granulation tissue, while experimental specimens showed patchy periductal, predominantly lymphocytic, infiltrates. Control specimens showed variable degrees of SGK-1 and pSGK-1 immunolabeling of ductal epithelial cells. In contrast, experimental specimens displayed patchy and strong SGK-1 but variable degrees of pSGK-1 immunolabeling of ductal epithelial cells. While control specimens showed variable ductal α-ENaC immunolabeling, those of the experimental group displayed primarily diffuse cytoplasmic, with some membrane, immunolabeling in ductal cells. Semi-quantitative analyses, using ImageJ Fiji, showed increased normalized staining for α-ENaC and SGK-1, but not pSGK-1, for experimental compared to control cases.

Discussion: Collectively, the data suggest a difference between the active form of the kinase and α-ENaC in minor salivary glands in xerostomia and that higher SGK-1 and α-ENaC may serve as diagnostic markers for this condition.

Abstract Image

Abstract Image

Abstract Image

SGK-1和α-ENaC在口干症患者小唾液腺中的表达谱。
上皮钠通道(Epithelial sodium channel, ENaC)是钠跨细胞膜运输的主要通道,其活性受到多种因素/机制的调节,包括血清和糖皮质激素调节的激酶-1 (SGK-1)。唾液的产生和分泌是一个复杂的过程,ENaC对唾液离子组成的调节是低渗唾液最终分泌到口腔之前的一个重要事件。然而,唾液腺SGK-1在ENaC背景下的状态仍有待确定。我们检验了报告口干症的受试者的下唇小唾液腺SGK-1和ENaC的表达受到影响的假设。方法:对诊断为黏液囊肿大的受试者(对照组,n = 7)和口干的受试者(实验组,n = 12)的活检标本进行组织病理学和免疫组化检测,检测SGK-1、其磷酸化(活性)形式(pSGK-1)和ENaC α亚基(α-ENaC)。结果:对照标本显示外渗粘液被炎症肉芽组织包膜包围,而实验标本显示斑片状管周浸润,主要是淋巴细胞浸润。对照标本显示导管上皮细胞不同程度的SGK-1和pSGK-1免疫标记。相比之下,实验标本在导管上皮细胞上显示出斑块状和强烈的SGK-1,但不同程度的pSGK-1免疫标记。对照组显示不同程度的导管α-ENaC免疫标记,实验组主要表现为弥漫性细胞质免疫标记,导管细胞中有部分膜免疫标记。使用ImageJ Fiji进行半定量分析,结果显示,与对照组相比,实验组α-ENaC和SGK-1的归一化染色增加,而psk -1的归一化染色没有增加。讨论:总的来说,这些数据表明在口干症患者的小唾液腺中活性形式的激酶和α-ENaC之间存在差异,并且较高的SGK-1和α-ENaC可能作为这种疾病的诊断标记。
本文章由计算机程序翻译,如有差异,请以英文原文为准。
求助全文
约1分钟内获得全文 求助全文
来源期刊
CiteScore
2.10
自引率
0.00%
发文量
0
审稿时长
13 weeks
×
引用
GB/T 7714-2015
复制
MLA
复制
APA
复制
导出至
BibTeX EndNote RefMan NoteFirst NoteExpress
×
提示
您的信息不完整,为了账户安全,请先补充。
现在去补充
×
提示
您因"违规操作"
具体请查看互助需知
我知道了
×
提示
确定
请完成安全验证×
copy
已复制链接
快去分享给好友吧!
我知道了
右上角分享
点击右上角分享
0
联系我们:info@booksci.cn Book学术提供免费学术资源搜索服务,方便国内外学者检索中英文文献。致力于提供最便捷和优质的服务体验。 Copyright © 2023 布克学术 All rights reserved.
京ICP备2023020795号-1
ghs 京公网安备 11010802042870号
Book学术文献互助
Book学术文献互助群
群 号:604180095
Book学术官方微信