PTEN and ERG Biomarkers as Predictors of Biochemical Recurrence Risk in Patients Undergoing Radical Prostatectomy.

IF 3 Q2 MEDICINE, RESEARCH & EXPERIMENTAL
Mihnea Bogdan Borz, Bogdan Fetica, Maximilian Cosma Gliga, Tamas-Csaba Sipos, Bogdan Adrian Buhas, Vlad Horia Schitcu
{"title":"PTEN and ERG Biomarkers as Predictors of Biochemical Recurrence Risk in Patients Undergoing Radical Prostatectomy.","authors":"Mihnea Bogdan Borz, Bogdan Fetica, Maximilian Cosma Gliga, Tamas-Csaba Sipos, Bogdan Adrian Buhas, Vlad Horia Schitcu","doi":"10.3390/diseases13080235","DOIUrl":null,"url":null,"abstract":"<p><p><b>Background/Objectives</b>: Prostate cancer (PCa) remains a major global health issue, associated with significant mortality and morbidity. Despite advances in diagnosis and treatment, predicting biochemical recurrence (BCR) after radical prostatectomy remains challenging, highlighting the need for reliable biomarkers to guide prognosis and therapy. The study aimed to evaluate the prognostic significance of the PTEN and ERG biomarkers in predicting BCR and tumor progression in PCa patients who underwent radical prostatectomy. <b>Methods</b>: This study consisted of a cohort of 91 patients with localized PCa who underwent radical prostatectomy between 2016 and 2022. From this cohort, 77 patients were selected for final analysis. Tissue microarrays (TMAs) were constructed from paraffin blocks, and immunohistochemical (IHC) staining for PTEN and ERG was performed using specific antibodies on the Ventana BenchMark ULTRA system (Roche Diagnostics, Indianapolis, IN, USA). Stained sections were evaluated and correlated with clinical and pathological data. <b>Results:</b> PTEN expression showed a significant negative correlation with BCR (r = -0.301, <i>p</i> = 0.014), indicating that reduced PTEN expression is associated with increased recurrence risk. PTEN was not significantly linked to PSA levels, tumor stage, or lymph node involvement. ERG expression correlated positively with advanced pathological tumor stage (r = 0.315, <i>p</i> = 0.005) but was not associated with BCR or other clinical parameters. <b>Conclusions:</b> PTEN appears to be a valuable prognostic marker for recurrence in PCa, while ERG may indicate tumor progression. These findings support the potential integration of PTEN and ERG into clinical practice to enhance risk stratification and personalized treatment, warranting further validation in larger patient cohorts.</p>","PeriodicalId":72832,"journal":{"name":"Diseases (Basel, Switzerland)","volume":"13 8","pages":""},"PeriodicalIF":3.0000,"publicationDate":"2025-07-24","publicationTypes":"Journal Article","fieldsOfStudy":null,"isOpenAccess":false,"openAccessPdf":"https://www.ncbi.nlm.nih.gov/pmc/articles/PMC12385356/pdf/","citationCount":"0","resultStr":null,"platform":"Semanticscholar","paperid":null,"PeriodicalName":"Diseases (Basel, Switzerland)","FirstCategoryId":"1085","ListUrlMain":"https://doi.org/10.3390/diseases13080235","RegionNum":0,"RegionCategory":null,"ArticlePicture":[],"TitleCN":null,"AbstractTextCN":null,"PMCID":null,"EPubDate":"","PubModel":"","JCR":"Q2","JCRName":"MEDICINE, RESEARCH & EXPERIMENTAL","Score":null,"Total":0}
引用次数: 0

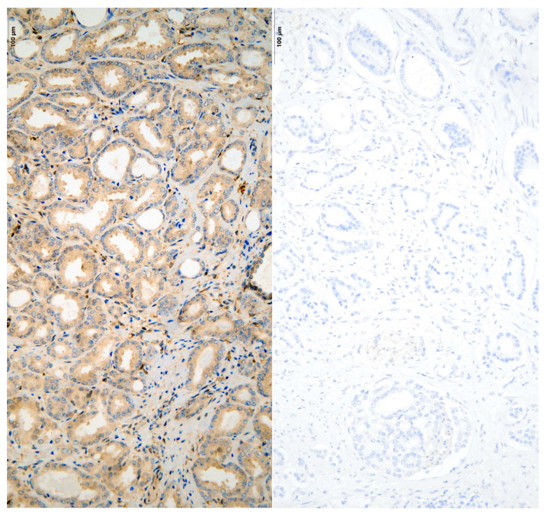
Abstract

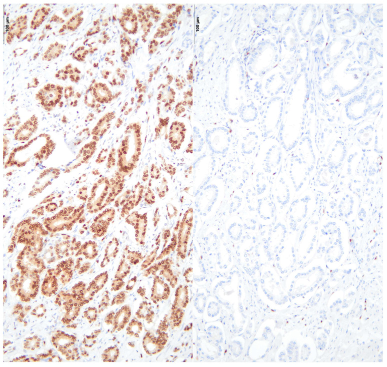
Background/Objectives: Prostate cancer (PCa) remains a major global health issue, associated with significant mortality and morbidity. Despite advances in diagnosis and treatment, predicting biochemical recurrence (BCR) after radical prostatectomy remains challenging, highlighting the need for reliable biomarkers to guide prognosis and therapy. The study aimed to evaluate the prognostic significance of the PTEN and ERG biomarkers in predicting BCR and tumor progression in PCa patients who underwent radical prostatectomy. Methods: This study consisted of a cohort of 91 patients with localized PCa who underwent radical prostatectomy between 2016 and 2022. From this cohort, 77 patients were selected for final analysis. Tissue microarrays (TMAs) were constructed from paraffin blocks, and immunohistochemical (IHC) staining for PTEN and ERG was performed using specific antibodies on the Ventana BenchMark ULTRA system (Roche Diagnostics, Indianapolis, IN, USA). Stained sections were evaluated and correlated with clinical and pathological data. Results: PTEN expression showed a significant negative correlation with BCR (r = -0.301, p = 0.014), indicating that reduced PTEN expression is associated with increased recurrence risk. PTEN was not significantly linked to PSA levels, tumor stage, or lymph node involvement. ERG expression correlated positively with advanced pathological tumor stage (r = 0.315, p = 0.005) but was not associated with BCR or other clinical parameters. Conclusions: PTEN appears to be a valuable prognostic marker for recurrence in PCa, while ERG may indicate tumor progression. These findings support the potential integration of PTEN and ERG into clinical practice to enhance risk stratification and personalized treatment, warranting further validation in larger patient cohorts.

Abstract Image

Abstract Image

Abstract Image

PTEN和ERG生物标志物作为根治性前列腺切除术患者生化复发风险的预测指标。
背景/目的:前列腺癌(PCa)仍然是一个主要的全球健康问题,与高死亡率和发病率相关。尽管在诊断和治疗方面取得了进展,但预测根治性前列腺切除术后的生化复发(BCR)仍然具有挑战性,因此需要可靠的生物标志物来指导预后和治疗。该研究旨在评估PTEN和ERG生物标志物在预测根治性前列腺切除术后前列腺癌患者BCR和肿瘤进展中的预后意义。方法:本研究纳入了2016年至2022年间接受根治性前列腺切除术的91例局限性前列腺癌患者。从该队列中,选择了77例患者进行最终分析。用石蜡块构建组织微阵列(tma),在Ventana BenchMark ULTRA系统(Roche Diagnostics, Indianapolis, IN, USA)上使用特异性抗体对PTEN和ERG进行免疫组化(IHC)染色。对染色切片进行评估,并与临床和病理资料进行对比。结果:PTEN表达与BCR呈显著负相关(r = -0.301, p = 0.014),提示PTEN表达降低与复发风险增加相关。PTEN与PSA水平、肿瘤分期或淋巴结累及无显著相关性。ERG表达与肿瘤病理分期呈正相关(r = 0.315, p = 0.005),与BCR及其他临床指标无相关性。结论:PTEN似乎是前列腺癌复发的一个有价值的预后标志物,而ERG可能表明肿瘤进展。这些发现支持将PTEN和ERG整合到临床实践中,以加强风险分层和个性化治疗,需要在更大的患者队列中进一步验证。
本文章由计算机程序翻译,如有差异,请以英文原文为准。
求助全文
约1分钟内获得全文 求助全文
来源期刊
CiteScore
0.80
自引率
0.00%
发文量
0
审稿时长
6 weeks
×
引用
GB/T 7714-2015
复制
MLA
复制
APA
复制
导出至
BibTeX EndNote RefMan NoteFirst NoteExpress
×
提示
您的信息不完整,为了账户安全,请先补充。
现在去补充
×
提示
您因"违规操作"
具体请查看互助需知
我知道了
×
提示
确定
请完成安全验证×
copy
已复制链接
快去分享给好友吧!
我知道了
右上角分享
点击右上角分享
0
联系我们:info@booksci.cn Book学术提供免费学术资源搜索服务,方便国内外学者检索中英文文献。致力于提供最便捷和优质的服务体验。 Copyright © 2023 布克学术 All rights reserved.
京ICP备2023020795号-1
ghs 京公网安备 11010802042870号
Book学术文献互助
Book学术文献互助群
群 号:604180095
Book学术官方微信