Addressing the need for predictive tools in postoperative abdominal wall complications after nephrectomy - Evaluation of a novel abdominal bulge grading system using computed tomography.

IF 1 Q4 RADIOLOGY, NUCLEAR MEDICINE & MEDICAL IMAGING
Acta radiologica open Pub Date : 2025-08-26 eCollection Date: 2025-08-01 DOI:10.1177/20584601251367336
Aapo Inkiläinen, Börje Ljungberg, Lennart Blomqvist, Karin Strigård
{"title":"Addressing the need for predictive tools in postoperative abdominal wall complications after nephrectomy - Evaluation of a novel abdominal bulge grading system using computed tomography.","authors":"Aapo Inkiläinen, Börje Ljungberg, Lennart Blomqvist, Karin Strigård","doi":"10.1177/20584601251367336","DOIUrl":null,"url":null,"abstract":"<p><strong>Background: </strong>Abdominal bulging affects up to one-fourth of patients after flank incision, with half experiencing impaired quality of life. Identifying patients at risk for morbid bulge could improve preventive and supportive care.</p><p><strong>Purpose: </strong>To characterise muscular changes related to postoperative abdominal bulging and design a visual scoring system to grade bulge on postoperative CT scans.</p><p><strong>Material and methods: </strong>Patients treated with open partial nephrectomy via a flank incision between 2005 and 2016 at the University Hospital of Umeå were included. Pre- and postoperative CT scans of the first 50 consecutive patients were used to characterise imaging features of the postoperative abdominal wall. From these features, a four-tiered scoring system for abdominal bulge was designed. Two independent observers tested the system on CT scans from the 50 next patients. Inter-rater reliability was assessed using Fleiss' Kappa.</p><p><strong>Results: </strong>Common features of abdominal bulging were extracted and a four-tier visual score ranging from normal abdominal wall to severe bulge was developed. Among the patients, ∼70% had a normal abdominal wall, ∼25% had bulge score 1, ∼7% score 2, and ∼1% score 3. Inter-rater agreement was 73.5%, with Fleiss' Kappa 0.44.</p><p><strong>Conclusion: </strong>Features of bulge were reduced muscle thickness and ipsilateral gravitational slump affecting part or all of the lateral abdominal wall. The proposed scoring system demonstrated only moderate inter-rater reliability in this pilot setting. Further research on postoperative abdominal wall changes is needed before implementing imaging-based assessments in clinical care.</p>","PeriodicalId":72063,"journal":{"name":"Acta radiologica open","volume":"14 8","pages":"20584601251367336"},"PeriodicalIF":1.0000,"publicationDate":"2025-08-26","publicationTypes":"Journal Article","fieldsOfStudy":null,"isOpenAccess":false,"openAccessPdf":"https://www.ncbi.nlm.nih.gov/pmc/articles/PMC12381475/pdf/","citationCount":"0","resultStr":null,"platform":"Semanticscholar","paperid":null,"PeriodicalName":"Acta radiologica open","FirstCategoryId":"1085","ListUrlMain":"https://doi.org/10.1177/20584601251367336","RegionNum":0,"RegionCategory":null,"ArticlePicture":[],"TitleCN":null,"AbstractTextCN":null,"PMCID":null,"EPubDate":"2025/8/1 0:00:00","PubModel":"eCollection","JCR":"Q4","JCRName":"RADIOLOGY, NUCLEAR MEDICINE & MEDICAL IMAGING","Score":null,"Total":0}
引用次数: 0

Abstract

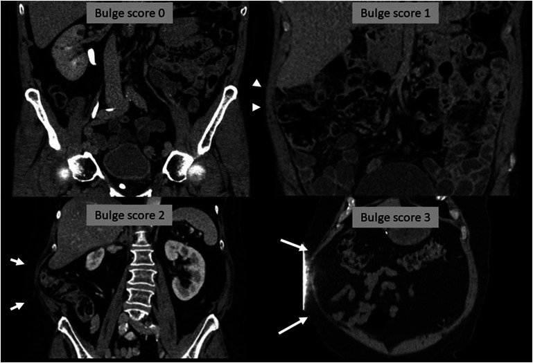
Background: Abdominal bulging affects up to one-fourth of patients after flank incision, with half experiencing impaired quality of life. Identifying patients at risk for morbid bulge could improve preventive and supportive care.

Purpose: To characterise muscular changes related to postoperative abdominal bulging and design a visual scoring system to grade bulge on postoperative CT scans.

Material and methods: Patients treated with open partial nephrectomy via a flank incision between 2005 and 2016 at the University Hospital of Umeå were included. Pre- and postoperative CT scans of the first 50 consecutive patients were used to characterise imaging features of the postoperative abdominal wall. From these features, a four-tiered scoring system for abdominal bulge was designed. Two independent observers tested the system on CT scans from the 50 next patients. Inter-rater reliability was assessed using Fleiss' Kappa.

Results: Common features of abdominal bulging were extracted and a four-tier visual score ranging from normal abdominal wall to severe bulge was developed. Among the patients, ∼70% had a normal abdominal wall, ∼25% had bulge score 1, ∼7% score 2, and ∼1% score 3. Inter-rater agreement was 73.5%, with Fleiss' Kappa 0.44.

Conclusion: Features of bulge were reduced muscle thickness and ipsilateral gravitational slump affecting part or all of the lateral abdominal wall. The proposed scoring system demonstrated only moderate inter-rater reliability in this pilot setting. Further research on postoperative abdominal wall changes is needed before implementing imaging-based assessments in clinical care.

Abstract Image

Abstract Image

Abstract Image

解决肾切除术后腹壁并发症预测工具的需求——利用计算机断层扫描评估一种新型腹壁隆起分级系统。
背景:腹部隆起影响高达四分之一的患者后腹部切口,其中一半经历生活质量受损。识别有病态隆起风险的患者可以改善预防性和支持性护理。目的:探讨术后腹部隆起的肌肉变化特征,并设计一种视觉评分系统对术后CT扫描中的隆起进行分级。材料和方法:纳入2005年至2016年在乌梅夫大学医院行经侧腹切开肾部分切除术的患者。前50例连续患者的术前和术后CT扫描用于描述术后腹壁的影像学特征。根据这些特征,设计了一个四层腹胀评分系统。两名独立观察员在接下来的50名患者的CT扫描上测试了该系统。采用Fleiss’Kappa评估量表间信度。结果:提取了腹壁膨出的常见特征,建立了从正常腹壁到严重腹壁膨出的四层视觉评分。在患者中,约70%的患者腹壁正常,约25%的患者腹壁肿胀评分为1分,约7%的患者腹壁肿胀评分为2分,约1%的患者腹壁肿胀评分为3分。评级机构间的一致性为73.5%,Fleiss的Kappa为0.44。结论:腹壁隆起主要表现为肌厚减少和同侧重力塌陷,部分或全部影响腹壁。在这个试点设置中,提出的评分系统显示只有中等的评分者之间的可靠性。在临床护理中实施基于影像学的评估之前,需要进一步研究术后腹壁的变化。
本文章由计算机程序翻译,如有差异,请以英文原文为准。
求助全文
约1分钟内获得全文 求助全文
来源期刊
自引率
0.00%
发文量
0
审稿时长
12 weeks
×
引用
GB/T 7714-2015
复制
MLA
复制
APA
复制
导出至
BibTeX EndNote RefMan NoteFirst NoteExpress
×
提示
您的信息不完整,为了账户安全,请先补充。
现在去补充
×
提示
您因"违规操作"
具体请查看互助需知
我知道了
×
提示
确定
请完成安全验证×
copy
已复制链接
快去分享给好友吧!
我知道了
右上角分享
点击右上角分享
0
联系我们:info@booksci.cn Book学术提供免费学术资源搜索服务,方便国内外学者检索中英文文献。致力于提供最便捷和优质的服务体验。 Copyright © 2023 布克学术 All rights reserved.
京ICP备2023020795号-1
ghs 京公网安备 11010802042870号
Book学术文献互助
Book学术文献互助群
群 号:604180095
Book学术官方微信