Comparison between chimeric Trypanosoma cruzi antigens (ABBOTT PRISM Chagas assay) and local antigenic extracts in blood bank screening for Chagas disease in an endemic area for the Triatoma dimidiata vector.

IF 1.7 4区 医学 Q4 INFECTIOUS DISEASES
Floribeth León Pérez, Gloria Miss-Vivas, Virginia Peña Hernández, Victor Monteon
{"title":"Comparison between chimeric Trypanosoma cruzi antigens (ABBOTT PRISM Chagas assay) and local antigenic extracts in blood bank screening for Chagas disease in an endemic area for the Triatoma dimidiata vector.","authors":"Floribeth León Pérez, Gloria Miss-Vivas, Virginia Peña Hernández, Victor Monteon","doi":"10.1590/S1678-9946202567057","DOIUrl":null,"url":null,"abstract":"<p><p>Trypanosoma cruzi can be transmitted by blood transfusion in non-endemic areas, and in endemic areas the risks may be higher. We investigated the seroprevalence of anti-T. cruzi antibodies in 1,500 blood donors from a blood bank in an endemic area where Triatoma dimidiata constitutes the main vector and in 2,800 healthy young subjects. Choosing antigens is crucial in diagnostic tests as it directly influences performance across regions. We screened 1,500 blood donors in parallel for chimeric Trypanosoma cruzi antigens with the ABBOTT PRISM Chagas assay at the State Blood Transfusion Center and with an in-house ELISA assay using local T. cruzi antigenic extracts at a Biomedical Research Center laboratory. Overall, 13 T. cruzi isolates from the Yucatan Peninsula, Mexico, were characterized for their antigenic profiles before being used in an in-house ELISAs. All T. cruzi isolates shared immunodominant antigens among themselves and with South American strains (particularly those below 100 kDa). Seroprevalence of anti-T. cruzi antibodies in blood donors totaled 0.2% (3/1500) in the ABBOTT PRISM Chagas assay and 0.26% (4/1500) in the in-house ELISA. We found low sensitivity (33%; 95%CI 0.01710 to 0.8815), high specificity (99.8%; 95%CI 0.9941 to 0.9995), and a low kappa index (0.2). Seroprevalence in young subjects totaled 0.14 %. We found comparable seroprevalence to blood banks in large Mexican municipalities free of vector transmission. Thus, optimal public immunodominant antigens are needed to cover the broad immune spectrum induced by T. cruzi infection.</p>","PeriodicalId":54466,"journal":{"name":"Revista Do Instituto De Medicina Tropical De Sao Paulo","volume":"67 ","pages":"e57"},"PeriodicalIF":1.7000,"publicationDate":"2025-08-25","publicationTypes":"Journal Article","fieldsOfStudy":null,"isOpenAccess":false,"openAccessPdf":"https://www.ncbi.nlm.nih.gov/pmc/articles/PMC12377832/pdf/","citationCount":"0","resultStr":null,"platform":"Semanticscholar","paperid":null,"PeriodicalName":"Revista Do Instituto De Medicina Tropical De Sao Paulo","FirstCategoryId":"3","ListUrlMain":"https://doi.org/10.1590/S1678-9946202567057","RegionNum":4,"RegionCategory":"医学","ArticlePicture":[],"TitleCN":null,"AbstractTextCN":null,"PMCID":null,"EPubDate":"2025/1/1 0:00:00","PubModel":"eCollection","JCR":"Q4","JCRName":"INFECTIOUS DISEASES","Score":null,"Total":0}
引用次数: 0

Abstract

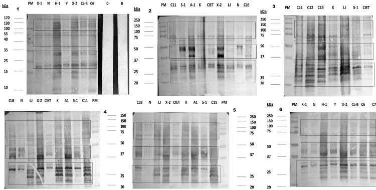
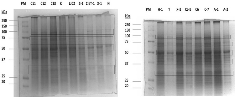
Trypanosoma cruzi can be transmitted by blood transfusion in non-endemic areas, and in endemic areas the risks may be higher. We investigated the seroprevalence of anti-T. cruzi antibodies in 1,500 blood donors from a blood bank in an endemic area where Triatoma dimidiata constitutes the main vector and in 2,800 healthy young subjects. Choosing antigens is crucial in diagnostic tests as it directly influences performance across regions. We screened 1,500 blood donors in parallel for chimeric Trypanosoma cruzi antigens with the ABBOTT PRISM Chagas assay at the State Blood Transfusion Center and with an in-house ELISA assay using local T. cruzi antigenic extracts at a Biomedical Research Center laboratory. Overall, 13 T. cruzi isolates from the Yucatan Peninsula, Mexico, were characterized for their antigenic profiles before being used in an in-house ELISAs. All T. cruzi isolates shared immunodominant antigens among themselves and with South American strains (particularly those below 100 kDa). Seroprevalence of anti-T. cruzi antibodies in blood donors totaled 0.2% (3/1500) in the ABBOTT PRISM Chagas assay and 0.26% (4/1500) in the in-house ELISA. We found low sensitivity (33%; 95%CI 0.01710 to 0.8815), high specificity (99.8%; 95%CI 0.9941 to 0.9995), and a low kappa index (0.2). Seroprevalence in young subjects totaled 0.14 %. We found comparable seroprevalence to blood banks in large Mexican municipalities free of vector transmission. Thus, optimal public immunodominant antigens are needed to cover the broad immune spectrum induced by T. cruzi infection.

Abstract Image

Abstract Image

Abstract Image

嵌合克氏锥虫抗原(ABBOTT PRISM恰加斯试验)与当地抗原提取物在流行地区恰加斯病血库筛查中的比较
克氏锥虫可在非流行地区通过输血传播,在流行地区风险可能更高。我们调查了抗t血清阳性率。在以三角瘤为主要媒介的流行地区的血库中,在1,500名献血者和2,800名健康青年受试者中检测克鲁兹抗体。选择抗原在诊断测试中至关重要,因为它直接影响各地区的表现。我们在国家输血中心使用雅培PRISM查加斯测定法和生物医学研究中心实验室使用当地克氏锥虫抗原提取物的内部ELISA测定法对1500名献血者进行了平行筛选,以检测嵌合克氏锥虫抗原。总体而言,来自墨西哥尤卡坦半岛的13株克氏t型病毒分离株在用于内部elisa之前对其抗原谱进行了表征。所有克氏T.分离株之间以及与南美菌株(特别是低于100 kDa的菌株)具有相同的免疫优势抗原。血清抗t抗体阳性率。在雅培PRISM查加斯试验中,献血者的克鲁兹抗体总数为0.2%(3/1500),在内部ELISA中为0.26%(4/1500)。我们发现低敏感性(33%;95%CI 0.01710至0.8815),高特异性(99.8%;95%CI 0.9941至0.9995),低kappa指数(0.2)。年轻受试者血清阳性率为0.14%。我们发现在墨西哥无病媒传播的大城市血库中血清阳性率相当。因此,需要最优的公共免疫优势抗原来覆盖克氏锥虫感染诱导的广泛免疫谱。
本文章由计算机程序翻译,如有差异,请以英文原文为准。
求助全文
约1分钟内获得全文 求助全文
来源期刊
CiteScore
3.60
自引率
5.30%
发文量
100
审稿时长
6-12 weeks
期刊介绍: The Revista do Instituto de Medicina Tropical de São Paulo (Journal of the São Paulo Institute of Tropical Medicine) is a journal devoted to research on different aspects of tropical infectious diseases. The journal welcomes original work on all infectious diseases, provided that data and results are directly linked to human health. The journal publishes, besides original articles, review articles, case reports, brief communications, and letters to the editor. The journal publishes manuscripts only in English. From 2016 on, the Revista do Instituto de Medicina Tropical de São Paulo (Journal of the São Paulo Institute of Tropical Medicine) is published online only, maintaining the free access. For more information visit: - http://www.scielo.br/rimtsp - http://www.imt.usp.br/revista-imt/
×
引用
GB/T 7714-2015
复制
MLA
复制
APA
复制
导出至
BibTeX EndNote RefMan NoteFirst NoteExpress
×
提示
您的信息不完整,为了账户安全,请先补充。
现在去补充
×
提示
您因"违规操作"
具体请查看互助需知
我知道了
×
提示
确定
请完成安全验证×
copy
已复制链接
快去分享给好友吧!
我知道了
右上角分享
点击右上角分享
0
联系我们:info@booksci.cn Book学术提供免费学术资源搜索服务,方便国内外学者检索中英文文献。致力于提供最便捷和优质的服务体验。 Copyright © 2023 布克学术 All rights reserved.
京ICP备2023020795号-1
ghs 京公网安备 11010802042870号
Book学术文献互助
Book学术文献互助群
群 号:604180095
Book学术官方微信