Cryptococcus gattii meningitis in an immunocompromised patient in a hospital in the Peruvian Amazon: case report.

IF 1 Q3 Medicine
Angel A Moreno-Soto, Rodrigo J Cardenas-Golac, Marco F Paredes-Obando, Jhosephi J Vasquez-Ascate, Jorge Sibina-Vela, Edgar A Ramírez-García, Juan C Celis-Salinas, Wilfredo M Casapia-Morales
{"title":"Cryptococcus gattii meningitis in an immunocompromised patient in a hospital in the Peruvian Amazon: case report.","authors":"Angel A Moreno-Soto, Rodrigo J Cardenas-Golac, Marco F Paredes-Obando, Jhosephi J Vasquez-Ascate, Jorge Sibina-Vela, Edgar A Ramírez-García, Juan C Celis-Salinas, Wilfredo M Casapia-Morales","doi":"10.17843/rpmesp.2025.422.14195","DOIUrl":null,"url":null,"abstract":"<p><p>We report a case of Cryptococcus gattii meningitis in a patient with HIV in the Peruvian Amazon. A 36-year-old male patient with severe neurological symptoms that was diagnosed by cerebrospinal fluid culture. Although liposomal amphotericin B and flucytosine are considered the standard antifungal therapy, due to a lack of resources, an alternative treatment of amphotericin B deoxycholate and fluconazole was used. Even with this alternative, treatment faced challenges due to the persistence of the microorganism. This case highlights the importance of considering C. gattii in the differential diagnosis of cryptococcal meningitis in immunocompromised patients, even in areas where the prevalence of this pathogen is low. The effectiveness of treatment and the patient's survival underscore the need for diagnostic and therapeutic strategies adapted to resource-limited settings.</p>","PeriodicalId":53651,"journal":{"name":"Revista Peruana de Medicina de Experimental y Salud Publica","volume":"42 2","pages":"212-216"},"PeriodicalIF":1.0000,"publicationDate":"2025-08-25","publicationTypes":"Journal Article","fieldsOfStudy":null,"isOpenAccess":false,"openAccessPdf":"https://www.ncbi.nlm.nih.gov/pmc/articles/PMC12377883/pdf/","citationCount":"0","resultStr":null,"platform":"Semanticscholar","paperid":null,"PeriodicalName":"Revista Peruana de Medicina de Experimental y Salud Publica","FirstCategoryId":"1085","ListUrlMain":"https://doi.org/10.17843/rpmesp.2025.422.14195","RegionNum":0,"RegionCategory":null,"ArticlePicture":[],"TitleCN":null,"AbstractTextCN":null,"PMCID":null,"EPubDate":"","PubModel":"","JCR":"Q3","JCRName":"Medicine","Score":null,"Total":0}
引用次数: 0

Abstract

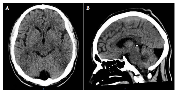
We report a case of Cryptococcus gattii meningitis in a patient with HIV in the Peruvian Amazon. A 36-year-old male patient with severe neurological symptoms that was diagnosed by cerebrospinal fluid culture. Although liposomal amphotericin B and flucytosine are considered the standard antifungal therapy, due to a lack of resources, an alternative treatment of amphotericin B deoxycholate and fluconazole was used. Even with this alternative, treatment faced challenges due to the persistence of the microorganism. This case highlights the importance of considering C. gattii in the differential diagnosis of cryptococcal meningitis in immunocompromised patients, even in areas where the prevalence of this pathogen is low. The effectiveness of treatment and the patient's survival underscore the need for diagnostic and therapeutic strategies adapted to resource-limited settings.

Abstract Image

Abstract Image

Abstract Image

秘鲁亚马逊地区一所医院免疫功能低下患者的加蒂隐球菌脑膜炎病例报告。
我们报告一个病例的隐球菌脑膜炎在秘鲁亚马逊的艾滋病毒患者。36岁男性患者,有严重神经系统症状,经脑脊液培养确诊。虽然脂质体两性霉素B和氟胞嘧啶被认为是标准的抗真菌治疗,但由于缺乏资源,使用两性霉素B脱氧胆酸盐和氟康唑作为替代治疗。即使采用这种替代方法,由于微生物的持久性,治疗也面临挑战。该病例突出了在免疫功能低下患者的隐球菌性脑膜炎鉴别诊断中考虑加蒂梭菌的重要性,即使在该病原体流行率较低的地区也是如此。治疗的有效性和患者的生存强调需要适应资源有限的环境的诊断和治疗策略。
本文章由计算机程序翻译,如有差异,请以英文原文为准。
求助全文
约1分钟内获得全文 求助全文
来源期刊
Revista Peruana de Medicina de Experimental y Salud Publica
Revista Peruana de Medicina de Experimental y Salud Publica Medicine-Public Health, Environmental and Occupational Health
CiteScore
3.00
自引率
0.00%
发文量
57
审稿时长
12 weeks
期刊介绍: La Revista Peruana de Medicina Experimental y Salud Pública (RPMESP) es el órgano oficial de difusión científica del Instituto Nacional de Salud (INS) del Perú. Es una publicación arbitrada por pares, de periodicidad trimestral, de ámbito y difusión mundial, indizada en MEDLINE/Index Medicos, SCOPUS, EMBASE, SciELO Salud Pública y otras bases de datos internacionales. La RPMESP es distribuida en su versión impresa y electrónica, con acceso gratuito a texto completo. La RPMESP publica artículos referidos a temas del ámbito biomédico y de salud pública, resaltando aportes prácticos, que contribuyan a mejorar la situación de salud del país y de la región. Propicia el intercambio de la experiencia científica en salud entre instituciones y personas dedicadas a la investigación dentro y fuera del Perú a fin de promover el avance y la aplicación de la investigación en salud.
×
引用
GB/T 7714-2015
复制
MLA
复制
APA
复制
导出至
BibTeX EndNote RefMan NoteFirst NoteExpress
×
提示
您的信息不完整,为了账户安全,请先补充。
现在去补充
×
提示
您因"违规操作"
具体请查看互助需知
我知道了
×
提示
确定
请完成安全验证×
copy
已复制链接
快去分享给好友吧!
我知道了
右上角分享
点击右上角分享
0
联系我们:info@booksci.cn Book学术提供免费学术资源搜索服务,方便国内外学者检索中英文文献。致力于提供最便捷和优质的服务体验。 Copyright © 2023 布克学术 All rights reserved.
京ICP备2023020795号-1
ghs 京公网安备 11010802042870号
Book学术文献互助
Book学术文献互助群
群 号:604180095
Book学术官方微信