Pre-lacrimal window maxillary sinus surgery: a computed tomography analysis and classification.

Q2 Medicine
Archives of Craniofacial Surgery Pub Date : 2025-08-01 Epub Date: 2025-08-20 DOI:10.7181/acfs.2025.0023
Mohammad Waheed El-Anwar, Mohamed Kamel Alawady, Mohamed Alshawadfy, Mohamed Mohamed Rabea, Atef Hussein Elsayed
{"title":"Pre-lacrimal window maxillary sinus surgery: a computed tomography analysis and classification.","authors":"Mohammad Waheed El-Anwar, Mohamed Kamel Alawady, Mohamed Alshawadfy, Mohamed Mohamed Rabea, Atef Hussein Elsayed","doi":"10.7181/acfs.2025.0023","DOIUrl":null,"url":null,"abstract":"<p><strong>Background: </strong>The pre-lacrimal window (PLW) approach is a promising technique for accessing otherwise inaccessible maxillary sinus lesions. The objective of this study was to determine the computed tomography (CT) dimensions, measurements, and grading of the PLW.</p><p><strong>Methods: </strong>One hundred paranasal CT scans were included in the study. For all subjects, axial images were obtained, and multiplanar reformats were used to obtain detailed views in the coronal and sagittal planes. The width of the PLW, the width of the nasolacrimal duct (NLD), and the angle between the axis of the NLD and the hard palate were measured and graded.</p><p><strong>Results: </strong>In 100 CT scans (200 sides), the mean PLW width was 5.6± 2.4 mm (range, 0-11.15 mm), the mean NLD width was 6.38± 1.84 mm (range, 1-11 mm), and the mean angle between the axis of the NLD and the hard palate was 68.6°± 6.77° (range, 54°-83°). There were no significant differences between sides or genders for any of the measurements.</p><p><strong>Conclusion: </strong>The CT dimensions of the PLW should be carefully evaluated when considering different endoscopic approaches to, or through, the anterior aspect of the maxillary sinus. The current study enhances surgeon and radiologist awareness of PLW measurements and their variations, ultimately improving the application of the PLW approach.</p>","PeriodicalId":52238,"journal":{"name":"Archives of Craniofacial Surgery","volume":"26 4","pages":"141-146"},"PeriodicalIF":0.0000,"publicationDate":"2025-08-01","publicationTypes":"Journal Article","fieldsOfStudy":null,"isOpenAccess":false,"openAccessPdf":"https://www.ncbi.nlm.nih.gov/pmc/articles/PMC12415367/pdf/","citationCount":"0","resultStr":null,"platform":"Semanticscholar","paperid":null,"PeriodicalName":"Archives of Craniofacial Surgery","FirstCategoryId":"1085","ListUrlMain":"https://doi.org/10.7181/acfs.2025.0023","RegionNum":0,"RegionCategory":null,"ArticlePicture":[],"TitleCN":null,"AbstractTextCN":null,"PMCID":null,"EPubDate":"2025/8/20 0:00:00","PubModel":"Epub","JCR":"Q2","JCRName":"Medicine","Score":null,"Total":0}
引用次数: 0

Abstract

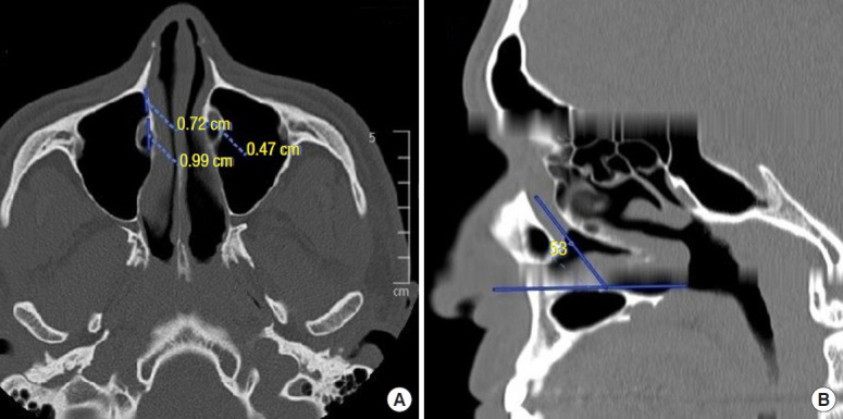
Background: The pre-lacrimal window (PLW) approach is a promising technique for accessing otherwise inaccessible maxillary sinus lesions. The objective of this study was to determine the computed tomography (CT) dimensions, measurements, and grading of the PLW.

Methods: One hundred paranasal CT scans were included in the study. For all subjects, axial images were obtained, and multiplanar reformats were used to obtain detailed views in the coronal and sagittal planes. The width of the PLW, the width of the nasolacrimal duct (NLD), and the angle between the axis of the NLD and the hard palate were measured and graded.

Results: In 100 CT scans (200 sides), the mean PLW width was 5.6± 2.4 mm (range, 0-11.15 mm), the mean NLD width was 6.38± 1.84 mm (range, 1-11 mm), and the mean angle between the axis of the NLD and the hard palate was 68.6°± 6.77° (range, 54°-83°). There were no significant differences between sides or genders for any of the measurements.

Conclusion: The CT dimensions of the PLW should be carefully evaluated when considering different endoscopic approaches to, or through, the anterior aspect of the maxillary sinus. The current study enhances surgeon and radiologist awareness of PLW measurements and their variations, ultimately improving the application of the PLW approach.

Abstract Image

泪前窗上颌窦手术:计算机断层分析与分类。
背景:泪前窗(PLW)入路是治疗上颌窦病变的一种很有前途的技术。本研究的目的是确定PLW的计算机断层扫描(CT)尺寸、测量和分级。方法:选取100例鼻部CT扫描。所有受试者均获得轴向图像,并使用多平面重新格式化获得冠状面和矢状面详细视图。测量鼻泪管宽度、鼻泪管宽度、鼻泪管轴线与硬腭夹角并进行分级。结果:100次CT扫描(200侧),PLW平均宽度为5.6±2.4 mm(范围0 ~ 11.15 mm), NLD平均宽度为6.38±1.84 mm(范围1 ~ 11 mm), NLD与硬腭轴线夹角为68.6°±6.77°(范围54°~ 83°)。在任何测量中,双方或性别之间都没有显著差异。结论:在考虑不同的内镜入路或通过上颌窦前侧时,应仔细评估PLW的CT尺寸。目前的研究提高了外科医生和放射科医生对PLW测量及其变化的认识,最终改善了PLW方法的应用。
本文章由计算机程序翻译,如有差异,请以英文原文为准。
求助全文
约1分钟内获得全文 求助全文
来源期刊
Archives of Craniofacial Surgery
Archives of Craniofacial Surgery Medicine-Otorhinolaryngology
CiteScore
2.90
自引率
0.00%
发文量
44
×
引用
GB/T 7714-2015
复制
MLA
复制
APA
复制
导出至
BibTeX EndNote RefMan NoteFirst NoteExpress
×
提示
您的信息不完整,为了账户安全,请先补充。
现在去补充
×
提示
您因"违规操作"
具体请查看互助需知
我知道了
×
提示
确定
请完成安全验证×
copy
已复制链接
快去分享给好友吧!
我知道了
右上角分享
点击右上角分享
0
联系我们:info@booksci.cn Book学术提供免费学术资源搜索服务,方便国内外学者检索中英文文献。致力于提供最便捷和优质的服务体验。 Copyright © 2023 布克学术 All rights reserved.
京ICP备2023020795号-1
ghs 京公网安备 11010802042870号
Book学术文献互助
Book学术文献互助群
群 号:604180095
Book学术官方微信