Incidentally Detected Pulmonary Carcinoid Tumorlet With Coexisting Carcinoid Tumorlet in the Mediastinal Lymph Node in a Patient With Lung Cancer.

Q4 Medicine
Case Reports in Pulmonology Pub Date : 2025-08-21 eCollection Date: 2025-01-01 DOI:10.1155/crpu/9910270
Bhavesh Mohan Lal, Michella K Whisman, Matthew A Steliga, Konstantinos Arnaoutakis
{"title":"Incidentally Detected Pulmonary Carcinoid Tumorlet With Coexisting Carcinoid Tumorlet in the Mediastinal Lymph Node in a Patient With Lung Cancer.","authors":"Bhavesh Mohan Lal, Michella K Whisman, Matthew A Steliga, Konstantinos Arnaoutakis","doi":"10.1155/crpu/9910270","DOIUrl":null,"url":null,"abstract":"<p><p>Pulmonary carcinoid tumorlets are a cluster of neuroendocrine cells in the lung, which invade the basement membrane and are less than 5 mm in size. While similar to carcinoid tumors in all regards, they are differentiated from carcinoid tumors purely based on their size. They are generally considered benign, but lymph nodal involvement has been described in the past. It is unclear if lymph nodal involvement is due to metastasis to the lymph node or synchronous de novo proliferation of neuroendocrine cells in the lymph node as well. Here, we describe a patient with adenocarcinoma of the lung who was incidentally detected to have a pulmonary carcinoid tumorlet and a carcinoid tumorlet in the mediastinal lymph node.</p>","PeriodicalId":52364,"journal":{"name":"Case Reports in Pulmonology","volume":"2025 ","pages":"9910270"},"PeriodicalIF":0.0000,"publicationDate":"2025-08-21","publicationTypes":"Journal Article","fieldsOfStudy":null,"isOpenAccess":false,"openAccessPdf":"https://www.ncbi.nlm.nih.gov/pmc/articles/PMC12393929/pdf/","citationCount":"0","resultStr":null,"platform":"Semanticscholar","paperid":null,"PeriodicalName":"Case Reports in Pulmonology","FirstCategoryId":"1085","ListUrlMain":"https://doi.org/10.1155/crpu/9910270","RegionNum":0,"RegionCategory":null,"ArticlePicture":[],"TitleCN":null,"AbstractTextCN":null,"PMCID":null,"EPubDate":"2025/1/1 0:00:00","PubModel":"eCollection","JCR":"Q4","JCRName":"Medicine","Score":null,"Total":0}
引用次数: 0

Abstract

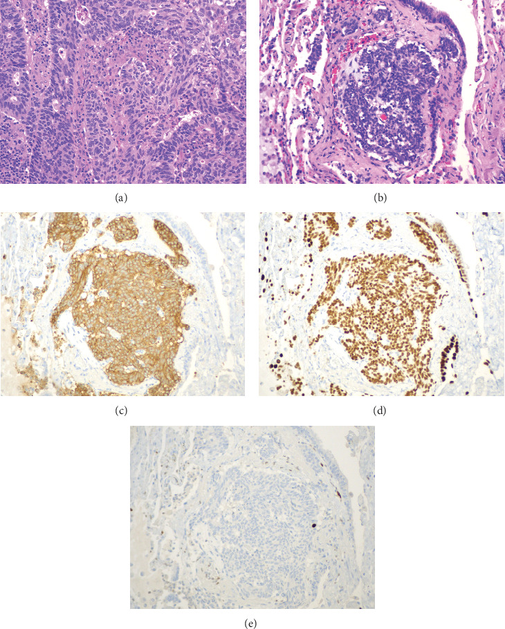
Pulmonary carcinoid tumorlets are a cluster of neuroendocrine cells in the lung, which invade the basement membrane and are less than 5 mm in size. While similar to carcinoid tumors in all regards, they are differentiated from carcinoid tumors purely based on their size. They are generally considered benign, but lymph nodal involvement has been described in the past. It is unclear if lymph nodal involvement is due to metastasis to the lymph node or synchronous de novo proliferation of neuroendocrine cells in the lymph node as well. Here, we describe a patient with adenocarcinoma of the lung who was incidentally detected to have a pulmonary carcinoid tumorlet and a carcinoid tumorlet in the mediastinal lymph node.

Abstract Image

Abstract Image

偶然发现肺类癌伴纵隔淋巴结类癌的一例肺癌患者。
肺类癌是肺内的一簇神经内分泌细胞,浸润基底膜,大小小于5mm。虽然在各方面与类癌相似,但单纯从大小上与类癌区分。它们通常被认为是良性的,但过去也有淋巴结累及的报道。目前尚不清楚淋巴结受累是由于淋巴结转移还是淋巴结内神经内分泌细胞的同步新生增殖。在这里,我们描述了一个偶然发现有肺类癌肿瘤和纵隔淋巴结类癌肿瘤的肺腺癌患者。
本文章由计算机程序翻译,如有差异,请以英文原文为准。
求助全文
约1分钟内获得全文 求助全文
来源期刊
Case Reports in Pulmonology
Case Reports in Pulmonology Medicine-Pulmonary and Respiratory Medicine
CiteScore
1.80
自引率
0.00%
发文量
23
审稿时长
13 weeks
×
引用
GB/T 7714-2015
复制
MLA
复制
APA
复制
导出至
BibTeX EndNote RefMan NoteFirst NoteExpress
×
提示
您的信息不完整,为了账户安全,请先补充。
现在去补充
×
提示
您因"违规操作"
具体请查看互助需知
我知道了
×
提示
确定
请完成安全验证×
copy
已复制链接
快去分享给好友吧!
我知道了
右上角分享
点击右上角分享
0
联系我们:info@booksci.cn Book学术提供免费学术资源搜索服务,方便国内外学者检索中英文文献。致力于提供最便捷和优质的服务体验。 Copyright © 2023 布克学术 All rights reserved.
京ICP备2023020795号-1
ghs 京公网安备 11010802042870号
Book学术文献互助
Book学术文献互助群
群 号:604180095
Book学术官方微信