Warfarin-Induced Pulmonary Hemorrhage: A Rare and Life-Threatening Complication in the Resource-Limited Setting of Gaza.

Q4 Medicine
Case Reports in Pulmonology Pub Date : 2025-08-17 eCollection Date: 2025-01-01 DOI:10.1155/crpu/8866411
Abdallah Abu Shammala, Majed Jaber, Bilal Irfan, Alaa Owda, Abdallah Herzallah
{"title":"Warfarin-Induced Pulmonary Hemorrhage: A Rare and Life-Threatening Complication in the Resource-Limited Setting of Gaza.","authors":"Abdallah Abu Shammala, Majed Jaber, Bilal Irfan, Alaa Owda, Abdallah Herzallah","doi":"10.1155/crpu/8866411","DOIUrl":null,"url":null,"abstract":"<p><p>Warfarin is widely prescribed for the prevention of thromboembolic events but carries a well-known risk of bleeding complications. While gastrointestinal and intracranial hemorrhages remain among the more frequent sites, pulmonary hemorrhage is an exceedingly rare case presentation and can be particularly catastrophic. We report the case of a 57-year-old male in Gaza with an extensive medical history of past hospitalization, who presented with severe ecchymosis, with his condition progressing to life-threatening pulmonary hemorrhage. This case occurred amid an active Israeli military assault in November 2024 in the European Gaza Hospital in Khan Yunis, at a time when diagnostic modalities had become limited or completely destroyed and healthcare resources were in severe shortage. The patient was treated with supportive measures, including mechanical ventilation and warfarin reversal using vitamin K and fresh frozen plasma. His anticoagulation regimen was changed to rivaroxaban. This case underlines the difficulties in diagnosing and managing rare but critical hemorrhagic complications in conflict-affected regions and emphasizes the urgency for clinicians to be vigilantly monitoring international normalized ratio values to conduct timely interventions.</p>","PeriodicalId":52364,"journal":{"name":"Case Reports in Pulmonology","volume":"2025 ","pages":"8866411"},"PeriodicalIF":0.0000,"publicationDate":"2025-08-17","publicationTypes":"Journal Article","fieldsOfStudy":null,"isOpenAccess":false,"openAccessPdf":"https://www.ncbi.nlm.nih.gov/pmc/articles/PMC12375833/pdf/","citationCount":"0","resultStr":null,"platform":"Semanticscholar","paperid":null,"PeriodicalName":"Case Reports in Pulmonology","FirstCategoryId":"1085","ListUrlMain":"https://doi.org/10.1155/crpu/8866411","RegionNum":0,"RegionCategory":null,"ArticlePicture":[],"TitleCN":null,"AbstractTextCN":null,"PMCID":null,"EPubDate":"2025/1/1 0:00:00","PubModel":"eCollection","JCR":"Q4","JCRName":"Medicine","Score":null,"Total":0}
引用次数: 0

Abstract

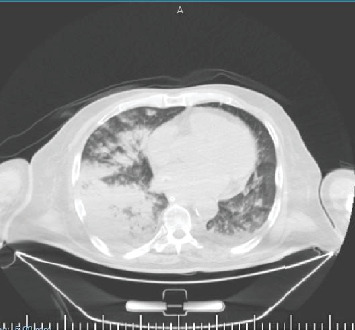
Warfarin is widely prescribed for the prevention of thromboembolic events but carries a well-known risk of bleeding complications. While gastrointestinal and intracranial hemorrhages remain among the more frequent sites, pulmonary hemorrhage is an exceedingly rare case presentation and can be particularly catastrophic. We report the case of a 57-year-old male in Gaza with an extensive medical history of past hospitalization, who presented with severe ecchymosis, with his condition progressing to life-threatening pulmonary hemorrhage. This case occurred amid an active Israeli military assault in November 2024 in the European Gaza Hospital in Khan Yunis, at a time when diagnostic modalities had become limited or completely destroyed and healthcare resources were in severe shortage. The patient was treated with supportive measures, including mechanical ventilation and warfarin reversal using vitamin K and fresh frozen plasma. His anticoagulation regimen was changed to rivaroxaban. This case underlines the difficulties in diagnosing and managing rare but critical hemorrhagic complications in conflict-affected regions and emphasizes the urgency for clinicians to be vigilantly monitoring international normalized ratio values to conduct timely interventions.

Abstract Image

Abstract Image

华法林引起的肺出血:加沙地区资源有限的一种罕见且危及生命的并发症。
华法林被广泛用于预防血栓栓塞事件,但众所周知,它有出血并发症的风险。虽然胃肠道和颅内出血仍然是最常见的部位,但肺出血是一种极其罕见的病例表现,可能是特别灾难性的。我们报告加沙一名57岁男性的病例,他有广泛的住院病史,表现为严重瘀斑,病情发展为危及生命的肺出血。该病例发生在以色列于2024年11月对位于汗尤尼斯的欧洲加沙医院进行积极军事袭击期间,当时诊断方式有限或完全被摧毁,医疗资源严重短缺。患者给予支持措施,包括机械通气和使用维生素K和新鲜冷冻血浆逆转华法林。他的抗凝治疗方案改为利伐沙班。该病例强调了在受冲突影响地区诊断和管理罕见但严重的出血性并发症的困难,并强调了临床医生警惕监测国际标准化比率值以及时进行干预的紧迫性。
本文章由计算机程序翻译,如有差异,请以英文原文为准。
求助全文
约1分钟内获得全文 求助全文
来源期刊
Case Reports in Pulmonology
Case Reports in Pulmonology Medicine-Pulmonary and Respiratory Medicine
CiteScore
1.80
自引率
0.00%
发文量
23
审稿时长
13 weeks
×
引用
GB/T 7714-2015
复制
MLA
复制
APA
复制
导出至
BibTeX EndNote RefMan NoteFirst NoteExpress
×
提示
您的信息不完整,为了账户安全,请先补充。
现在去补充
×
提示
您因"违规操作"
具体请查看互助需知
我知道了
×
提示
确定
请完成安全验证×
copy
已复制链接
快去分享给好友吧!
我知道了
右上角分享
点击右上角分享
0
联系我们:info@booksci.cn Book学术提供免费学术资源搜索服务,方便国内外学者检索中英文文献。致力于提供最便捷和优质的服务体验。 Copyright © 2023 布克学术 All rights reserved.
京ICP备2023020795号-1
ghs 京公网安备 11010802042870号
Book学术文献互助
Book学术文献互助群
群 号:604180095
Book学术官方微信