Interobserver Variation in Vulvar Squamous Cell Cancer Depth of Invasion Using Two Measurement Methods.

IF 2.1 4区 医学 Q2 OBSTETRICS & GYNECOLOGY
Journal of Lower Genital Tract Disease Pub Date : 2025-10-01 Epub Date: 2025-09-02 DOI:10.1097/LGT.0000000000000909
Jesse Carroll, Tania Day, Jill Allbritton, Mariacristina Ghioni, Debra Heller, Marsali Newman, Eleonora Petra Preti, Mario Preti, Maria Angelica Selim, Stephanie L Skala, Deborah Smith, Daniele Tota, Rachael van der Griend, James Scurry
{"title":"Interobserver Variation in Vulvar Squamous Cell Cancer Depth of Invasion Using Two Measurement Methods.","authors":"Jesse Carroll, Tania Day, Jill Allbritton, Mariacristina Ghioni, Debra Heller, Marsali Newman, Eleonora Petra Preti, Mario Preti, Maria Angelica Selim, Stephanie L Skala, Deborah Smith, Daniele Tota, Rachael van der Griend, James Scurry","doi":"10.1097/LGT.0000000000000909","DOIUrl":null,"url":null,"abstract":"<p><strong>Objectives: </strong>Depth of invasion (DOI) in vulvar squamous cell carcinoma (vSCC) predicts risk of nodal metastasis, with measurement >1 mm dictating the need for lymph node diagnostic procedures. In 2021, the International Federation of Gynecology and Obstetrics (FIGO) changed its advice on how pathologists measure DOI. Some organizations revised guidelines to this \"New\" method; others continued to endorse the FIGO 2009 \"Old\" method. This study compares interobserver variation of vSCC DOI using Old and New FIGO measurement strategies.</p><p><strong>Methods: </strong>A single representative image was chosen from 50 consecutive vSCC excisions with reported DOI of 0.1-3 mm. Ten pathologists provided 2 electronic measurements for each, using Old and New methods. Statistical evaluation included analyses of variance, Student t -test, and the kappa statistic.</p><p><strong>Results: </strong>The Old method yielded a larger mean DOI than the New [1.3 vs 0.9 mm; p < .001]. The Old method had a lower proportion of measurement disagreements spanning 1 mm (53%, κ = 0.65% vs 68%, κ = 0.6). Agreement by all pathologists of DOI being either ≤1 mm or >1 mm occurred in 29/50 cases (58%) using the Old and 26 (52%) using the New method. When at least 2 pathologists measured DOI >1 mm, interobserver variation was lower using the Old method in 30 (83%) of 36 cases [mean difference = -0.1 mm, t (280) = -2.78, p = .008].</p><p><strong>Conclusions: </strong>The FIGO 2021 DOI measurement method has higher interobserver variation than FIGO 2009, with this difference arising from tumors with DOI >1 mm. This finding, combined with inadequate international consensus and scant clinical outcome data, should trigger reconsideration of 2021 FIGO staging guidelines.</p>","PeriodicalId":50160,"journal":{"name":"Journal of Lower Genital Tract Disease","volume":" ","pages":"304-309"},"PeriodicalIF":2.1000,"publicationDate":"2025-10-01","publicationTypes":"Journal Article","fieldsOfStudy":null,"isOpenAccess":false,"openAccessPdf":"https://www.ncbi.nlm.nih.gov/pmc/articles/PMC12435239/pdf/","citationCount":"0","resultStr":null,"platform":"Semanticscholar","paperid":null,"PeriodicalName":"Journal of Lower Genital Tract Disease","FirstCategoryId":"3","ListUrlMain":"https://doi.org/10.1097/LGT.0000000000000909","RegionNum":4,"RegionCategory":"医学","ArticlePicture":[],"TitleCN":null,"AbstractTextCN":null,"PMCID":null,"EPubDate":"2025/9/2 0:00:00","PubModel":"Epub","JCR":"Q2","JCRName":"OBSTETRICS & GYNECOLOGY","Score":null,"Total":0}
引用次数: 0

Abstract

Objectives: Depth of invasion (DOI) in vulvar squamous cell carcinoma (vSCC) predicts risk of nodal metastasis, with measurement >1 mm dictating the need for lymph node diagnostic procedures. In 2021, the International Federation of Gynecology and Obstetrics (FIGO) changed its advice on how pathologists measure DOI. Some organizations revised guidelines to this "New" method; others continued to endorse the FIGO 2009 "Old" method. This study compares interobserver variation of vSCC DOI using Old and New FIGO measurement strategies.

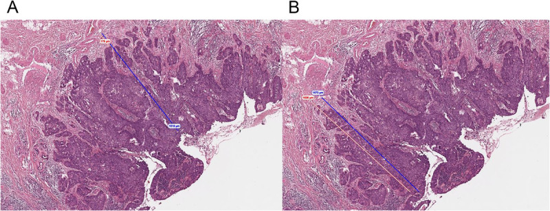
Methods: A single representative image was chosen from 50 consecutive vSCC excisions with reported DOI of 0.1-3 mm. Ten pathologists provided 2 electronic measurements for each, using Old and New methods. Statistical evaluation included analyses of variance, Student t -test, and the kappa statistic.

Results: The Old method yielded a larger mean DOI than the New [1.3 vs 0.9 mm; p < .001]. The Old method had a lower proportion of measurement disagreements spanning 1 mm (53%, κ = 0.65% vs 68%, κ = 0.6). Agreement by all pathologists of DOI being either ≤1 mm or >1 mm occurred in 29/50 cases (58%) using the Old and 26 (52%) using the New method. When at least 2 pathologists measured DOI >1 mm, interobserver variation was lower using the Old method in 30 (83%) of 36 cases [mean difference = -0.1 mm, t (280) = -2.78, p = .008].

Conclusions: The FIGO 2021 DOI measurement method has higher interobserver variation than FIGO 2009, with this difference arising from tumors with DOI >1 mm. This finding, combined with inadequate international consensus and scant clinical outcome data, should trigger reconsideration of 2021 FIGO staging guidelines.

Abstract Image

Abstract Image

Abstract Image

用两种测量方法观察外阴鳞状细胞癌浸润深度的差异。
外阴鳞状细胞癌(vSCC)的浸润深度(DOI)预测淋巴结转移的风险,测量>.1 mm决定需要淋巴结诊断程序。2021年,国际妇产科学联合会(FIGO)改变了对病理学家如何测量DOI的建议。一些组织修订了这种“新”方法的准则;其他人则继续支持FIGO 2009“旧”方法。本研究比较了使用新旧FIGO测量策略的vSCC DOI的观察者间变化。方法:从50例报道DOI为0.1-3 mm的vSCC连续切除中选取一幅代表性图像。10名病理学家分别提供了2次电子测量,使用旧方法和新方法。统计评估包括方差分析、学生t检验和kappa统计量。结果:旧方法的平均DOI大于新方法[1.3 vs 0.9 mm;P < 0.001]。Old方法在1 mm范围内测量误差的比例较低(53%,κ = 0.65% vs 68%, κ = 0.6)。所有病理学家一致认为DOI≤1 mm或小于1 mm的病例中,使用旧方法的有29/50(58%),使用新方法的有26(52%)。当至少2名病理医师测量DOI bb0.1 mm时,36例患者中有30例(83%)采用Old方法,观察者间差异较低[平均差异= -0.1 mm, t(280) = -2.78, p = 0.008]。结论:FIGO 2021 DOI测量方法比FIGO 2009具有更高的观察者间变异,这种差异是由DOI为>.1 mm的肿瘤引起的。这一发现,再加上国际共识不足和临床结果数据不足,应该引发对2021年FIGO分期指南的重新考虑。
本文章由计算机程序翻译,如有差异,请以英文原文为准。
求助全文
约1分钟内获得全文 求助全文
来源期刊
Journal of Lower Genital Tract Disease
Journal of Lower Genital Tract Disease OBSTETRICS & GYNECOLOGY-
CiteScore
6.80
自引率
8.10%
发文量
158
审稿时长
6-12 weeks
期刊介绍: The Journal of Lower Genital Tract Disease is the source for the latest science about benign and malignant conditions of the cervix, vagina, vulva, and anus. The Journal publishes peer-reviewed original research original research that addresses prevalence, causes, mechanisms, diagnosis, course, treatment, and prevention of lower genital tract disease. We publish clinical guidelines, position papers, cost-effectiveness analyses, narrative reviews, and systematic reviews, including meta-analyses. We also publish papers about research and reporting methods, opinions about controversial medical issues. Of particular note, we encourage material in any of the above mentioned categories that is related to improving patient care, avoiding medical errors, and comparative effectiveness research. We encourage publication of evidence-based guidelines, diagnostic and therapeutic algorithms, and decision aids. Original research and reviews may be sub-classified according to topic: cervix and HPV, vulva and vagina, perianal and anal, basic science, and education and learning. The scope and readership of the journal extend to several disciplines: gynecology, internal medicine, family practice, dermatology, physical therapy, pathology, sociology, psychology, anthropology, sex therapy, and pharmacology. The Journal of Lower Genital Tract Disease highlights needs for future research, and enhances health care. The Journal of Lower Genital Tract Disease is the official journal of the American Society for Colposcopy and Cervical Pathology, the International Society for the Study of Vulvovaginal Disease, and the International Federation of Cervical Pathology and Colposcopy, and sponsored by the Australian Society for Colposcopy and Cervical Pathology and the Society of Canadian Colposcopists.
×
引用
GB/T 7714-2015
复制
MLA
复制
APA
复制
导出至
BibTeX EndNote RefMan NoteFirst NoteExpress
×
提示
您的信息不完整,为了账户安全,请先补充。
现在去补充
×
提示
您因"违规操作"
具体请查看互助需知
我知道了
×
提示
确定
请完成安全验证×
copy
已复制链接
快去分享给好友吧!
我知道了
右上角分享
点击右上角分享
0
联系我们:info@booksci.cn Book学术提供免费学术资源搜索服务,方便国内外学者检索中英文文献。致力于提供最便捷和优质的服务体验。 Copyright © 2023 布克学术 All rights reserved.
京ICP备2023020795号-1
ghs 京公网安备 11010802042870号
Book学术文献互助
Book学术文献互助群
群 号:604180095
Book学术官方微信