Subcutaneous Leukemia Cutis as the Initial Manifestation of CD23 Negative CLL/SLL in a Patient With Rheumatoid Arthritis on Chronic TNF-Alpha Inhibition.

IF 0.7 Q4 HEMATOLOGY
Case Reports in Hematology Pub Date : 2025-08-21 eCollection Date: 2025-01-01 DOI:10.1155/crh/9950134
Nehaal Ahmed, Saad Rashid, Nadeem Kutaish, Mohammed M Ahmed
{"title":"Subcutaneous Leukemia Cutis as the Initial Manifestation of CD23 Negative CLL/SLL in a Patient With Rheumatoid Arthritis on Chronic TNF-Alpha Inhibition.","authors":"Nehaal Ahmed, Saad Rashid, Nadeem Kutaish, Mohammed M Ahmed","doi":"10.1155/crh/9950134","DOIUrl":null,"url":null,"abstract":"<p><p>Rheumatoid arthritis (RA) is a chronic, systemic, and autoimmune disease characterized by inflammation and pain in the joints. While RA and TNF-alpha inhibitors have historically been associated with an increased risk of lymphoma, chronic lymphocytic leukemia/small lymphocytic lymphoma (CLL/SLL) is infrequently seen. CD23 negative CLL is rare. Extranodal manifestations of CLL/SLL are uncommon. While cutaneous involvement is among the more common extranodal manifestations, leukemia cutis is rare. Furthermore, subcutaneous leukemia cutis as the initial manifestation CLL/SLL is exceedingly uncommon. We describe a patient with longstanding RA on chronic TNF-alpha inhibition who presented with an isolated subcutaneous mass. Excisional biopsy demonstrated sheets of small, uniform, and mature lymphocytes with flow cytometric analysis noting a monoclonal B-cell population negative for CD23 expression but positive for CD5, CD19, CD20, CD38, kappa light chain, and CD200 expression. Further immunostaining was negative for cyclin-D1 and SOX11 and positive for CD43 and LEF1, overall consistent with CLL/SLL-induced subcutaneous leukemia cutis. While treatments for CLL/SLL-induced leukemia cutis vary, in this case, consolidative local radiation led to resolution of the remaining cutaneous lesion. Caution is advised when considering the use of TNF-alpha inhibitors in patients with a history of lymphoma.</p>","PeriodicalId":46307,"journal":{"name":"Case Reports in Hematology","volume":"2025 ","pages":"9950134"},"PeriodicalIF":0.7000,"publicationDate":"2025-08-21","publicationTypes":"Journal Article","fieldsOfStudy":null,"isOpenAccess":false,"openAccessPdf":"https://www.ncbi.nlm.nih.gov/pmc/articles/PMC12393954/pdf/","citationCount":"0","resultStr":null,"platform":"Semanticscholar","paperid":null,"PeriodicalName":"Case Reports in Hematology","FirstCategoryId":"1085","ListUrlMain":"https://doi.org/10.1155/crh/9950134","RegionNum":0,"RegionCategory":null,"ArticlePicture":[],"TitleCN":null,"AbstractTextCN":null,"PMCID":null,"EPubDate":"2025/1/1 0:00:00","PubModel":"eCollection","JCR":"Q4","JCRName":"HEMATOLOGY","Score":null,"Total":0}
引用次数: 0

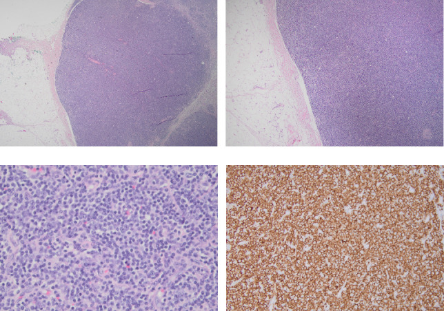
Abstract

Rheumatoid arthritis (RA) is a chronic, systemic, and autoimmune disease characterized by inflammation and pain in the joints. While RA and TNF-alpha inhibitors have historically been associated with an increased risk of lymphoma, chronic lymphocytic leukemia/small lymphocytic lymphoma (CLL/SLL) is infrequently seen. CD23 negative CLL is rare. Extranodal manifestations of CLL/SLL are uncommon. While cutaneous involvement is among the more common extranodal manifestations, leukemia cutis is rare. Furthermore, subcutaneous leukemia cutis as the initial manifestation CLL/SLL is exceedingly uncommon. We describe a patient with longstanding RA on chronic TNF-alpha inhibition who presented with an isolated subcutaneous mass. Excisional biopsy demonstrated sheets of small, uniform, and mature lymphocytes with flow cytometric analysis noting a monoclonal B-cell population negative for CD23 expression but positive for CD5, CD19, CD20, CD38, kappa light chain, and CD200 expression. Further immunostaining was negative for cyclin-D1 and SOX11 and positive for CD43 and LEF1, overall consistent with CLL/SLL-induced subcutaneous leukemia cutis. While treatments for CLL/SLL-induced leukemia cutis vary, in this case, consolidative local radiation led to resolution of the remaining cutaneous lesion. Caution is advised when considering the use of TNF-alpha inhibitors in patients with a history of lymphoma.

Abstract Image

慢性tnf - α抑制的类风湿关节炎患者CD23阴性CLL/SLL的初始表现为皮下白血病。
类风湿性关节炎(RA)是一种慢性、全身性和自身免疫性疾病,以关节炎症和疼痛为特征。虽然RA和tnf - α抑制剂历来与淋巴瘤风险增加相关,但慢性淋巴细胞白血病/小淋巴细胞淋巴瘤(CLL/SLL)并不常见。CD23阴性CLL是罕见的。结外表现的CLL/SLL是罕见的。虽然皮肤受累是最常见的结外表现之一,但皮肤白血病是罕见的。此外,皮下皮肤白血病作为CLL/SLL的初始表现是非常罕见的。我们描述了一个慢性tnf - α抑制的长期RA患者,他表现出孤立的皮下肿块。切除活检显示小的、均匀的、成熟的淋巴细胞片,流式细胞术分析显示单克隆b细胞群CD23表达阴性,但CD5、CD19、CD20、CD38、kappa轻链和CD200表达阳性。进一步免疫染色cyclin-D1和SOX11为阴性,CD43和LEF1为阳性,总体上与CLL/ sll诱导的皮下白血病皮肤一致。虽然CLL/ sll诱导的皮肤白血病的治疗方法各不相同,但在本例中,巩固性局部放疗导致剩余皮肤病变的消退。当考虑在有淋巴瘤病史的患者中使用tnf - α抑制剂时,建议谨慎。
本文章由计算机程序翻译,如有差异,请以英文原文为准。
求助全文
约1分钟内获得全文 求助全文
来源期刊
自引率
0.00%
发文量
51
审稿时长
13 weeks
×
引用
GB/T 7714-2015
复制
MLA
复制
APA
复制
导出至
BibTeX EndNote RefMan NoteFirst NoteExpress
×
提示
您的信息不完整,为了账户安全,请先补充。
现在去补充
×
提示
您因"违规操作"
具体请查看互助需知
我知道了
×
提示
确定
请完成安全验证×
copy
已复制链接
快去分享给好友吧!
我知道了
右上角分享
点击右上角分享
0
联系我们:info@booksci.cn Book学术提供免费学术资源搜索服务,方便国内外学者检索中英文文献。致力于提供最便捷和优质的服务体验。 Copyright © 2023 布克学术 All rights reserved.
京ICP备2023020795号-1
ghs 京公网安备 11010802042870号
Book学术文献互助
Book学术文献互助群
群 号:604180095
Book学术官方微信