Partial Response to Nivolumab and Ipilimumab in a Patient With Malignant Pleural Mesothelioma and Pre-Existing Myasthenia Gravis Without Severe Flares or Immune-Related Adverse Events: A Case Report.

IF 0.8 Q4 RESPIRATORY SYSTEM
Respirology Case Reports Pub Date : 2025-08-19 eCollection Date: 2025-08-01 DOI:10.1002/rcr2.70297
Mariko Higa, Tomoya Kuda, Yuichiro Ohya, Hidenori Kawasaki
{"title":"Partial Response to Nivolumab and Ipilimumab in a Patient With Malignant Pleural Mesothelioma and Pre-Existing Myasthenia Gravis Without Severe Flares or Immune-Related Adverse Events: A Case Report.","authors":"Mariko Higa, Tomoya Kuda, Yuichiro Ohya, Hidenori Kawasaki","doi":"10.1002/rcr2.70297","DOIUrl":null,"url":null,"abstract":"<p><p>Detailed clinical data on the combination immune checkpoint inhibitor (ICI) therapy in patients with myasthenia gravis (MG) remain limited. We report a case of malignant pleural mesothelioma with previously undiagnosed ocular MG. Owing to hepatic dysfunction, reduced doses of nivolumab and ipilimumab were administered before confirmation of anti-acetylcholine receptor (AChR) antibody positivity. MG was diagnosed based on subtle ocular symptoms and serological tests. Prophylactic intravenous immunoglobulin and an acetylcholinesterase inhibitor were administered; combination therapy was discontinued owing to the risk of MG flare, but a partial tumour response was achieved. With disease progression, nivolumab monotherapy was reintroduced, and early steroid pulse therapy was administered owing to elevated creatine kinase, again inducing a partial response. Serological screening for anti-AChR antibodies may help prevent severe MG flares and immune-related adverse events. With caution, dose-reduced and limited-exposure ICI combination therapy may be feasible in selected patients with MG under appropriate prophylactic management.</p>","PeriodicalId":45846,"journal":{"name":"Respirology Case Reports","volume":"13 8","pages":"e70297"},"PeriodicalIF":0.8000,"publicationDate":"2025-08-19","publicationTypes":"Journal Article","fieldsOfStudy":null,"isOpenAccess":false,"openAccessPdf":"https://www.ncbi.nlm.nih.gov/pmc/articles/PMC12364612/pdf/","citationCount":"0","resultStr":null,"platform":"Semanticscholar","paperid":null,"PeriodicalName":"Respirology Case Reports","FirstCategoryId":"1085","ListUrlMain":"https://doi.org/10.1002/rcr2.70297","RegionNum":0,"RegionCategory":null,"ArticlePicture":[],"TitleCN":null,"AbstractTextCN":null,"PMCID":null,"EPubDate":"2025/8/1 0:00:00","PubModel":"eCollection","JCR":"Q4","JCRName":"RESPIRATORY SYSTEM","Score":null,"Total":0}
引用次数: 0

Abstract

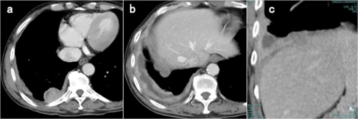
Detailed clinical data on the combination immune checkpoint inhibitor (ICI) therapy in patients with myasthenia gravis (MG) remain limited. We report a case of malignant pleural mesothelioma with previously undiagnosed ocular MG. Owing to hepatic dysfunction, reduced doses of nivolumab and ipilimumab were administered before confirmation of anti-acetylcholine receptor (AChR) antibody positivity. MG was diagnosed based on subtle ocular symptoms and serological tests. Prophylactic intravenous immunoglobulin and an acetylcholinesterase inhibitor were administered; combination therapy was discontinued owing to the risk of MG flare, but a partial tumour response was achieved. With disease progression, nivolumab monotherapy was reintroduced, and early steroid pulse therapy was administered owing to elevated creatine kinase, again inducing a partial response. Serological screening for anti-AChR antibodies may help prevent severe MG flares and immune-related adverse events. With caution, dose-reduced and limited-exposure ICI combination therapy may be feasible in selected patients with MG under appropriate prophylactic management.

Abstract Image

Abstract Image

Abstract Image

Nivolumab和Ipilimumab对恶性胸膜间皮瘤和既往重症肌无力患者的部分应答,无严重症状或免疫相关不良事件:1例报告
关于联合免疫检查点抑制剂(ICI)治疗重症肌无力(MG)患者的详细临床数据仍然有限。我们报告一例恶性胸膜间皮瘤伴既往未确诊的眼部MG。由于肝功能障碍,在确认抗乙酰胆碱受体(AChR)抗体阳性之前,减少纳武单抗和伊匹单抗的剂量。MG是根据轻微的眼部症状和血清学检查诊断的。预防性静脉注射免疫球蛋白和乙酰胆碱酯酶抑制剂;由于MG耀斑的风险,联合治疗停止,但取得了部分肿瘤反应。随着疾病进展,重新引入纳武单抗单药治疗,由于肌酸激酶升高,早期使用类固醇脉冲治疗,再次诱导部分反应。抗achr抗体的血清学筛查可能有助于预防严重的MG发作和免疫相关的不良事件。谨慎地说,在适当的预防管理下,减少剂量和有限暴露的ICI联合治疗可能是可行的。
本文章由计算机程序翻译,如有差异,请以英文原文为准。
求助全文
约1分钟内获得全文 求助全文
来源期刊
Respirology Case Reports
Respirology Case Reports RESPIRATORY SYSTEM-
CiteScore
1.40
自引率
0.00%
发文量
178
审稿时长
8 weeks
期刊介绍: Respirology Case Reports is an open-access online journal dedicated to the publication of original clinical case reports, case series, clinical images and clinical videos in all fields of respiratory medicine. The Journal encourages the international exchange between clinicians and researchers of experiences in diagnosing and treating uncommon diseases or diseases with unusual presentations. All manuscripts are peer-reviewed through a streamlined process that aims at providing a rapid turnaround time from submission to publication.
×
引用
GB/T 7714-2015
复制
MLA
复制
APA
复制
导出至
BibTeX EndNote RefMan NoteFirst NoteExpress
×
提示
您的信息不完整,为了账户安全,请先补充。
现在去补充
×
提示
您因"违规操作"
具体请查看互助需知
我知道了
×
提示
确定
请完成安全验证×
copy
已复制链接
快去分享给好友吧!
我知道了
右上角分享
点击右上角分享
0
联系我们:info@booksci.cn Book学术提供免费学术资源搜索服务,方便国内外学者检索中英文文献。致力于提供最便捷和优质的服务体验。 Copyright © 2023 布克学术 All rights reserved.
京ICP备2023020795号-1
ghs 京公网安备 11010802042870号
Book学术文献互助
Book学术文献互助群
群 号:604180095
Book学术官方微信