Pediatric Sneddon syndrome presenting with early-onset liver fibrosis: a rare case report.

IF 0.4 Q3 MEDICINE, GENERAL & INTERNAL
Oxford Medical Case Reports Pub Date : 2025-08-25 eCollection Date: 2025-08-01 DOI:10.1093/omcr/omaf153
Qutaiba N Awad, Taha Z Makhlouf, Mohammad F Zhour, Sami Bannoura, Wesam Abu Hussein
{"title":"Pediatric Sneddon syndrome presenting with early-onset liver fibrosis: a rare case report.","authors":"Qutaiba N Awad, Taha Z Makhlouf, Mohammad F Zhour, Sami Bannoura, Wesam Abu Hussein","doi":"10.1093/omcr/omaf153","DOIUrl":null,"url":null,"abstract":"<p><p>Sneddon syndrome (SS) is a rare neurocutaneous disorder consisting of livedo racemosa (LR) and cerebrovascular disease with an incidence of 4 per 1 000 000 annually. It may be idiopathic or associated with autoimmune or genetic factors, including deficiency of adenosine deaminase 2 (DADA2). We describe a 17-month-old girl with recurrent fevers, hepatosplenomegaly, LR, and progressive liver fibrosis. A pathogenic ADA2 mutation and LDLR mutation associated with familial hypercholesterolemia (FH) were detected by genetic testing. Despite corticosteroids, etanercept, and immunosuppressants, she continued to deteriorate and developed portal vein thrombosis and increasing hepatic dysfunction. DADA2 is well described to cause systemic vasculopathy, but its association with liver fibrosis is still unclear. Our case highlights a potential association between DADA2 and LDLR mutation leading to hepatic injury, extending the broad spectrum of SS-related complications. Further research is needed to understand the role of these genes and their mutations in the systemic and hepatic manifestations of SS.</p>","PeriodicalId":45318,"journal":{"name":"Oxford Medical Case Reports","volume":"2025 8","pages":"omaf153"},"PeriodicalIF":0.4000,"publicationDate":"2025-08-25","publicationTypes":"Journal Article","fieldsOfStudy":null,"isOpenAccess":false,"openAccessPdf":"https://www.ncbi.nlm.nih.gov/pmc/articles/PMC12375808/pdf/","citationCount":"0","resultStr":null,"platform":"Semanticscholar","paperid":null,"PeriodicalName":"Oxford Medical Case Reports","FirstCategoryId":"1085","ListUrlMain":"https://doi.org/10.1093/omcr/omaf153","RegionNum":0,"RegionCategory":null,"ArticlePicture":[],"TitleCN":null,"AbstractTextCN":null,"PMCID":null,"EPubDate":"2025/8/1 0:00:00","PubModel":"eCollection","JCR":"Q3","JCRName":"MEDICINE, GENERAL & INTERNAL","Score":null,"Total":0}
引用次数: 0

Abstract

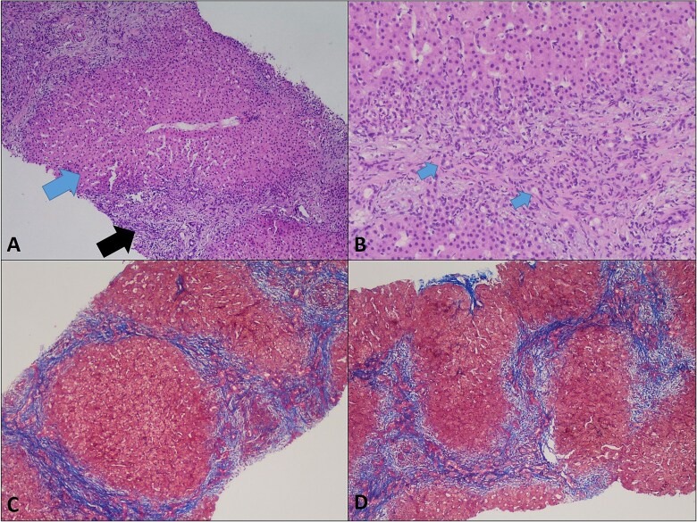
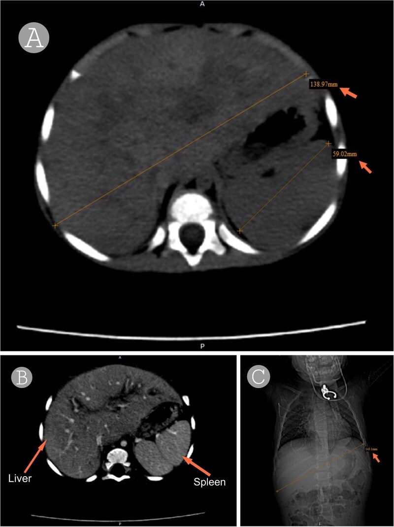
Sneddon syndrome (SS) is a rare neurocutaneous disorder consisting of livedo racemosa (LR) and cerebrovascular disease with an incidence of 4 per 1 000 000 annually. It may be idiopathic or associated with autoimmune or genetic factors, including deficiency of adenosine deaminase 2 (DADA2). We describe a 17-month-old girl with recurrent fevers, hepatosplenomegaly, LR, and progressive liver fibrosis. A pathogenic ADA2 mutation and LDLR mutation associated with familial hypercholesterolemia (FH) were detected by genetic testing. Despite corticosteroids, etanercept, and immunosuppressants, she continued to deteriorate and developed portal vein thrombosis and increasing hepatic dysfunction. DADA2 is well described to cause systemic vasculopathy, but its association with liver fibrosis is still unclear. Our case highlights a potential association between DADA2 and LDLR mutation leading to hepatic injury, extending the broad spectrum of SS-related complications. Further research is needed to understand the role of these genes and their mutations in the systemic and hepatic manifestations of SS.

Abstract Image

Abstract Image

儿童斯奈登综合征表现为早发性肝纤维化:罕见病例报告。
Sneddon综合征(SS)是一种罕见的神经皮肤疾病,由外消性活动性疾病(LR)和脑血管疾病组成,每年的发病率为每100万例中有4例。它可能是特发性的,也可能与自身免疫或遗传因素有关,包括腺苷脱氨酶2 (DADA2)的缺乏。我们描述了一个17个月大的女孩复发性发烧,肝脾肿大,LR和进行性肝纤维化。通过基因检测检测出与家族性高胆固醇血症(FH)相关的致病性ADA2突变和LDLR突变。尽管使用皮质类固醇、依那西普和免疫抑制剂,她的病情仍持续恶化,并发门静脉血栓形成和肝功能障碍加重。DADA2可引起全身性血管病变,但其与肝纤维化的关系尚不清楚。我们的病例强调了DADA2和LDLR突变导致肝损伤之间的潜在关联,扩大了ss相关并发症的范围。需要进一步的研究来了解这些基因及其突变在SS的全身和肝脏表现中的作用。
本文章由计算机程序翻译,如有差异,请以英文原文为准。
求助全文
约1分钟内获得全文 求助全文
来源期刊
Oxford Medical Case Reports
Oxford Medical Case Reports MEDICINE, GENERAL & INTERNAL-
CiteScore
0.90
自引率
0.00%
发文量
125
审稿时长
19 weeks
期刊介绍: Oxford Medical Case Reports (OMCR) is an open access, peer-reviewed online journal publishing original and educationally valuable case reports that expand the field of medicine. The journal covers all medical specialities including cardiology, rheumatology, nephrology, oncology, neurology, and reproduction, comprising a comprehensive resource for physicians in all fields and at all stages of training. Oxford Medical Case Reports deposits all articles in PubMed Central (PMC). Physicians and researchers can find your work through PubMed , helping you reach the widest possible audience. The journal is also indexed in the Web of Science Core Collection . Oxford Medical Case Reports publishes case reports under the following categories: Allergy Audiovestibular medicine Cardiology and cardiovascular systems Critical care medicine Dermatology Emergency medicine Endocrinology and metabolism Gastroenterology and hepatology Geriatrics and gerontology Haematology Immunology Infectious diseases and tropical medicine Medical disorders in pregnancy Medical ophthalmology Nephrology Neurology Oncology Paediatrics Pain Palliative medicine Pharmacology and pharmacy Psychiatry Radiology, nuclear medicine, and medical imaging Respiratory disorders Rheumatology Sexual and reproductive health Sports Medicine Substance abuse.
×
引用
GB/T 7714-2015
复制
MLA
复制
APA
复制
导出至
BibTeX EndNote RefMan NoteFirst NoteExpress
×
提示
您的信息不完整,为了账户安全,请先补充。
现在去补充
×
提示
您因"违规操作"
具体请查看互助需知
我知道了
×
提示
确定
请完成安全验证×
copy
已复制链接
快去分享给好友吧!
我知道了
右上角分享
点击右上角分享
0
联系我们:info@booksci.cn Book学术提供免费学术资源搜索服务,方便国内外学者检索中英文文献。致力于提供最便捷和优质的服务体验。 Copyright © 2023 布克学术 All rights reserved.
京ICP备2023020795号-1
ghs 京公网安备 11010802042870号
Book学术文献互助
Book学术文献互助群
群 号:604180095
Book学术官方微信