Was an aortic valve replacement with a mechanical valve the right option all along? Cogan's syndrome with recurrent aortic regurgitation: a case of evolving surgical decisions.

IF 0.4 Q3 MEDICINE, GENERAL & INTERNAL
Oxford Medical Case Reports Pub Date : 2025-08-20 eCollection Date: 2025-08-01 DOI:10.1093/omcr/omaf143
Maram Gad, Lanya Faiq, Emma Arifagic, Alex Kamougeros, Stelios Ioannou, George Shiakos, Ioannis Tzanavaros
{"title":"Was an aortic valve replacement with a mechanical valve the right option all along? Cogan's syndrome with recurrent aortic regurgitation: a case of evolving surgical decisions.","authors":"Maram Gad, Lanya Faiq, Emma Arifagic, Alex Kamougeros, Stelios Ioannou, George Shiakos, Ioannis Tzanavaros","doi":"10.1093/omcr/omaf143","DOIUrl":null,"url":null,"abstract":"<p><p>Cogan Syndrome (CS) is a rare autoimmune disease, complicated by a variety of cardiac manifestations. This case report represents the only documented case in the Republic of Cyprus. It describes the experience of a 23- year-old woman with CS who presented with newly diagnosed, severe aortic regurgitation (AR) and suspected endocarditis. The patient was initially treated successfully with a Ross procedure, but the recurrence of acute AR a few years later, led to the decision to treat her with a mechanical valve replacement, minimising complications and providing as permanent of a surgical solution as possible. This case demonstrates the importance of individualising treatment for such patients.</p>","PeriodicalId":45318,"journal":{"name":"Oxford Medical Case Reports","volume":"2025 8","pages":"omaf143"},"PeriodicalIF":0.4000,"publicationDate":"2025-08-20","publicationTypes":"Journal Article","fieldsOfStudy":null,"isOpenAccess":false,"openAccessPdf":"https://www.ncbi.nlm.nih.gov/pmc/articles/PMC12365956/pdf/","citationCount":"0","resultStr":null,"platform":"Semanticscholar","paperid":null,"PeriodicalName":"Oxford Medical Case Reports","FirstCategoryId":"1085","ListUrlMain":"https://doi.org/10.1093/omcr/omaf143","RegionNum":0,"RegionCategory":null,"ArticlePicture":[],"TitleCN":null,"AbstractTextCN":null,"PMCID":null,"EPubDate":"2025/8/1 0:00:00","PubModel":"eCollection","JCR":"Q3","JCRName":"MEDICINE, GENERAL & INTERNAL","Score":null,"Total":0}
引用次数: 0

Abstract

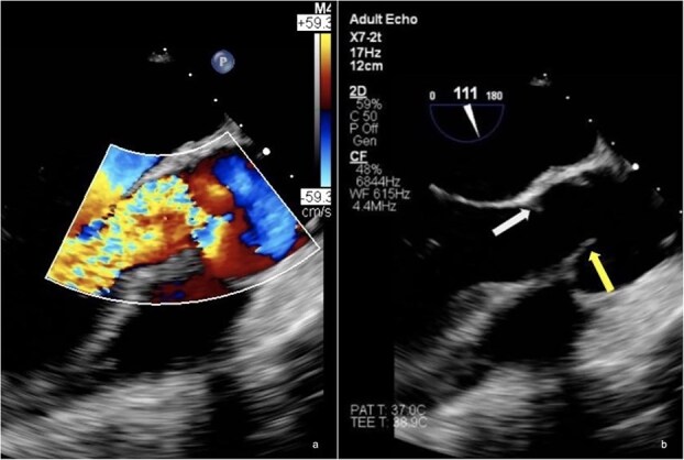
Cogan Syndrome (CS) is a rare autoimmune disease, complicated by a variety of cardiac manifestations. This case report represents the only documented case in the Republic of Cyprus. It describes the experience of a 23- year-old woman with CS who presented with newly diagnosed, severe aortic regurgitation (AR) and suspected endocarditis. The patient was initially treated successfully with a Ross procedure, but the recurrence of acute AR a few years later, led to the decision to treat her with a mechanical valve replacement, minimising complications and providing as permanent of a surgical solution as possible. This case demonstrates the importance of individualising treatment for such patients.

Abstract Image

Abstract Image

机械主动脉瓣置换术一直都是正确的选择吗?Cogan综合征伴主动脉瓣返流:一例不断变化的手术决策。
Cogan综合征(CS)是一种罕见的自身免疫性疾病,并发多种心脏表现。本病例报告是塞浦路斯共和国唯一有记录的病例。它描述了一个23岁的女性CS谁提出了新诊断,严重的主动脉反流(AR)和怀疑心内膜炎的经验。患者最初通过Ross手术成功治疗,但几年后急性AR复发,导致医生决定用机械瓣膜置换术治疗她,以尽量减少并发症并提供尽可能永久的手术解决方案。这个病例说明了个体化治疗对这类患者的重要性。
本文章由计算机程序翻译,如有差异,请以英文原文为准。
求助全文
约1分钟内获得全文 求助全文
来源期刊
Oxford Medical Case Reports
Oxford Medical Case Reports MEDICINE, GENERAL & INTERNAL-
CiteScore
0.90
自引率
0.00%
发文量
125
审稿时长
19 weeks
期刊介绍: Oxford Medical Case Reports (OMCR) is an open access, peer-reviewed online journal publishing original and educationally valuable case reports that expand the field of medicine. The journal covers all medical specialities including cardiology, rheumatology, nephrology, oncology, neurology, and reproduction, comprising a comprehensive resource for physicians in all fields and at all stages of training. Oxford Medical Case Reports deposits all articles in PubMed Central (PMC). Physicians and researchers can find your work through PubMed , helping you reach the widest possible audience. The journal is also indexed in the Web of Science Core Collection . Oxford Medical Case Reports publishes case reports under the following categories: Allergy Audiovestibular medicine Cardiology and cardiovascular systems Critical care medicine Dermatology Emergency medicine Endocrinology and metabolism Gastroenterology and hepatology Geriatrics and gerontology Haematology Immunology Infectious diseases and tropical medicine Medical disorders in pregnancy Medical ophthalmology Nephrology Neurology Oncology Paediatrics Pain Palliative medicine Pharmacology and pharmacy Psychiatry Radiology, nuclear medicine, and medical imaging Respiratory disorders Rheumatology Sexual and reproductive health Sports Medicine Substance abuse.
×
引用
GB/T 7714-2015
复制
MLA
复制
APA
复制
导出至
BibTeX EndNote RefMan NoteFirst NoteExpress
×
提示
您的信息不完整,为了账户安全,请先补充。
现在去补充
×
提示
您因"违规操作"
具体请查看互助需知
我知道了
×
提示
确定
请完成安全验证×
copy
已复制链接
快去分享给好友吧!
我知道了
右上角分享
点击右上角分享
0
联系我们:info@booksci.cn Book学术提供免费学术资源搜索服务,方便国内外学者检索中英文文献。致力于提供最便捷和优质的服务体验。 Copyright © 2023 布克学术 All rights reserved.
京ICP备2023020795号-1
ghs 京公网安备 11010802042870号
Book学术文献互助
Book学术文献互助群
群 号:604180095
Book学术官方微信