COVID-19 Vaccine-Induced Severe Pneumonitis.

IF 0.8 Q4 RESPIRATORY SYSTEM
Respirology Case Reports Pub Date : 2025-08-21 eCollection Date: 2025-08-01 DOI:10.1002/rcr2.70274
Tatsuro Suzuki, Hiromi Furuta, Misa Naganawa, Keiko Hayashi, Hiroko Kiyotoshi, Chiharu Ohta, Shigemitsu Ninomiya
{"title":"COVID-19 Vaccine-Induced Severe Pneumonitis.","authors":"Tatsuro Suzuki, Hiromi Furuta, Misa Naganawa, Keiko Hayashi, Hiroko Kiyotoshi, Chiharu Ohta, Shigemitsu Ninomiya","doi":"10.1002/rcr2.70274","DOIUrl":null,"url":null,"abstract":"<p><p>Coronavirus disease 2019 (COVID-19) has resulted in global morbidity, mortality, and societal disruption. COVID-19 mRNA vaccination was mandatory in many countries for a period; however, severe adverse events have been observed in some individuals who received the vaccine. We report a case of COVID-19 mRNA vaccine-induced pneumonitis in a male patient whose cytokine levels were analysed prior to admission. His serum IgE level was high (347 U/mL), and several cytokines were elevated: TNFα was 1.2 pg/mL, IL-6 was 156 pg/mL, and IL-8 was 75.0 pg/mL. The patient developed severe respiratory failure requiring ventilatory support but recovered after steroid pulse therapy.</p>","PeriodicalId":45846,"journal":{"name":"Respirology Case Reports","volume":"13 8","pages":"e70274"},"PeriodicalIF":0.8000,"publicationDate":"2025-08-21","publicationTypes":"Journal Article","fieldsOfStudy":null,"isOpenAccess":false,"openAccessPdf":"https://www.ncbi.nlm.nih.gov/pmc/articles/PMC12371123/pdf/","citationCount":"0","resultStr":null,"platform":"Semanticscholar","paperid":null,"PeriodicalName":"Respirology Case Reports","FirstCategoryId":"1085","ListUrlMain":"https://doi.org/10.1002/rcr2.70274","RegionNum":0,"RegionCategory":null,"ArticlePicture":[],"TitleCN":null,"AbstractTextCN":null,"PMCID":null,"EPubDate":"2025/8/1 0:00:00","PubModel":"eCollection","JCR":"Q4","JCRName":"RESPIRATORY SYSTEM","Score":null,"Total":0}
引用次数: 0

Abstract

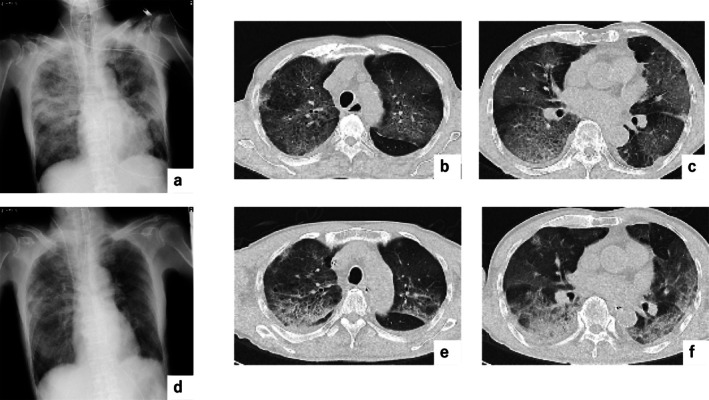
Coronavirus disease 2019 (COVID-19) has resulted in global morbidity, mortality, and societal disruption. COVID-19 mRNA vaccination was mandatory in many countries for a period; however, severe adverse events have been observed in some individuals who received the vaccine. We report a case of COVID-19 mRNA vaccine-induced pneumonitis in a male patient whose cytokine levels were analysed prior to admission. His serum IgE level was high (347 U/mL), and several cytokines were elevated: TNFα was 1.2 pg/mL, IL-6 was 156 pg/mL, and IL-8 was 75.0 pg/mL. The patient developed severe respiratory failure requiring ventilatory support but recovered after steroid pulse therapy.

Abstract Image

Abstract Image

Abstract Image

COVID-19疫苗引起的严重肺炎。
2019冠状病毒病(COVID-19)已导致全球发病率、死亡率和社会混乱。在一段时间内,许多国家强制接种COVID-19 mRNA疫苗;然而,在一些接种疫苗的个体中观察到严重的不良事件。我们报告一例COVID-19 mRNA疫苗诱导的男性患者肺炎,入院前分析其细胞因子水平。血清IgE水平高(347 U/mL),多种细胞因子升高:TNFα 1.2 pg/mL, IL-6 156 pg/mL, IL-8 75.0 pg/mL。患者出现严重呼吸衰竭,需要通气支持,但经类固醇脉冲治疗后恢复。
本文章由计算机程序翻译,如有差异,请以英文原文为准。
求助全文
约1分钟内获得全文 求助全文
来源期刊
Respirology Case Reports
Respirology Case Reports RESPIRATORY SYSTEM-
CiteScore
1.40
自引率
0.00%
发文量
178
审稿时长
8 weeks
期刊介绍: Respirology Case Reports is an open-access online journal dedicated to the publication of original clinical case reports, case series, clinical images and clinical videos in all fields of respiratory medicine. The Journal encourages the international exchange between clinicians and researchers of experiences in diagnosing and treating uncommon diseases or diseases with unusual presentations. All manuscripts are peer-reviewed through a streamlined process that aims at providing a rapid turnaround time from submission to publication.
×
引用
GB/T 7714-2015
复制
MLA
复制
APA
复制
导出至
BibTeX EndNote RefMan NoteFirst NoteExpress
×
提示
您的信息不完整,为了账户安全,请先补充。
现在去补充
×
提示
您因"违规操作"
具体请查看互助需知
我知道了
×
提示
确定
请完成安全验证×
copy
已复制链接
快去分享给好友吧!
我知道了
右上角分享
点击右上角分享
0
联系我们:info@booksci.cn Book学术提供免费学术资源搜索服务,方便国内外学者检索中英文文献。致力于提供最便捷和优质的服务体验。 Copyright © 2023 布克学术 All rights reserved.
京ICP备2023020795号-1
ghs 京公网安备 11010802042870号
Book学术文献互助
Book学术文献互助群
群 号:604180095
Book学术官方微信