Prevalence of asymptomatic macrothrombocytopenia in voluntary blood donors: A multicentric study.

IF 0.6 Q4 HEMATOLOGY
Asian Journal of Transfusion Science Pub Date : 2025-01-01 Epub Date: 2025-06-30 DOI:10.4103/ajts.ajts_89_24
Archana Buch, Yaminy Ingale, Tulika Chandra, Sudha Ranganathan, Sudipta Sekhar Das, Mallika Agarwal, Charusheela Gore, Madhura Gandhi
{"title":"Prevalence of asymptomatic macrothrombocytopenia in voluntary blood donors: A multicentric study.","authors":"Archana Buch, Yaminy Ingale, Tulika Chandra, Sudha Ranganathan, Sudipta Sekhar Das, Mallika Agarwal, Charusheela Gore, Madhura Gandhi","doi":"10.4103/ajts.ajts_89_24","DOIUrl":null,"url":null,"abstract":"<p><strong>Introduction: </strong>Macrothrombocytopenia is a combination of thrombocytopenia and giant platelets (PLTs). It can be found asymptomatically with several genetic polymorphisms/mutations. This study aimed to assess the prevalence of macrothrombocytopenia in blood donors and to identify its geographic variation.</p><p><strong>Materials and methods: </strong>A cross-sectional observational study was conducted in blood donors in the East, West, North, and South zones of India. Donors not eligible for blood donation were excluded. Blood was collected and analyzed by hematology analyzer. Samples with low PLT count (<1.5 lakhs/mm<sup>3</sup>) and mean PLT volume >11.5 fl were identified, and a peripheral blood smear was prepared, stained, and screened for giant PLTs. The data were analyzed using MS Excel (Microsoft 365), RStudio (Version: 2023.03.1 + 446), and IBM SPSS Statistics 27.</p><p><strong>Results: </strong>A total of 2574 donors were screened at four centers of different geographic zones of India. The mean age was 34.81 ± 9.32 with male: female of 34.75:1. Overall macrothrombocytopenia was found in 102 (4%) with significant zonal variation: 88 (86.3%), 4 (3.9%) in East and South, respectively, and 5 (4.9%) each in West and North regions. The peripheral smears revealed giant PLTs in all cases of macrothrombocytopenia in the South and North, 76% and 80% in the East and West, respectively. The most common blood group showing macrothrombocytopenia was B positive 41 (40.2%).</p><p><strong>Conclusion: </strong>Macrothrombocytopenia shows significant zonal variation, with a maximum number of cases identified in the East zone of India. Screening and awareness of this condition are essential to counsel donors for bleeding tendencies.</p>","PeriodicalId":42296,"journal":{"name":"Asian Journal of Transfusion Science","volume":"19 1","pages":"6-10"},"PeriodicalIF":0.6000,"publicationDate":"2025-01-01","publicationTypes":"Journal Article","fieldsOfStudy":null,"isOpenAccess":false,"openAccessPdf":"https://www.ncbi.nlm.nih.gov/pmc/articles/PMC12364039/pdf/","citationCount":"0","resultStr":null,"platform":"Semanticscholar","paperid":null,"PeriodicalName":"Asian Journal of Transfusion Science","FirstCategoryId":"1085","ListUrlMain":"https://doi.org/10.4103/ajts.ajts_89_24","RegionNum":0,"RegionCategory":null,"ArticlePicture":[],"TitleCN":null,"AbstractTextCN":null,"PMCID":null,"EPubDate":"2025/6/30 0:00:00","PubModel":"Epub","JCR":"Q4","JCRName":"HEMATOLOGY","Score":null,"Total":0}
引用次数: 0

Abstract

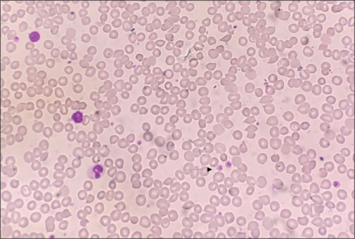
Introduction: Macrothrombocytopenia is a combination of thrombocytopenia and giant platelets (PLTs). It can be found asymptomatically with several genetic polymorphisms/mutations. This study aimed to assess the prevalence of macrothrombocytopenia in blood donors and to identify its geographic variation.

Materials and methods: A cross-sectional observational study was conducted in blood donors in the East, West, North, and South zones of India. Donors not eligible for blood donation were excluded. Blood was collected and analyzed by hematology analyzer. Samples with low PLT count (<1.5 lakhs/mm3) and mean PLT volume >11.5 fl were identified, and a peripheral blood smear was prepared, stained, and screened for giant PLTs. The data were analyzed using MS Excel (Microsoft 365), RStudio (Version: 2023.03.1 + 446), and IBM SPSS Statistics 27.

Results: A total of 2574 donors were screened at four centers of different geographic zones of India. The mean age was 34.81 ± 9.32 with male: female of 34.75:1. Overall macrothrombocytopenia was found in 102 (4%) with significant zonal variation: 88 (86.3%), 4 (3.9%) in East and South, respectively, and 5 (4.9%) each in West and North regions. The peripheral smears revealed giant PLTs in all cases of macrothrombocytopenia in the South and North, 76% and 80% in the East and West, respectively. The most common blood group showing macrothrombocytopenia was B positive 41 (40.2%).

Conclusion: Macrothrombocytopenia shows significant zonal variation, with a maximum number of cases identified in the East zone of India. Screening and awareness of this condition are essential to counsel donors for bleeding tendencies.

Abstract Image

自愿献血者无症状大血小板减少症的患病率:一项多中心研究。
巨血小板减少症是血小板减少症和巨血小板(PLTs)的结合。它可以无症状地发现一些遗传多态性/突变。本研究旨在评估献血者中巨血小板减少症的患病率,并确定其地理差异。材料和方法:对印度东部、西部、北部和南部地区的献血者进行了一项横断面观察研究。不符合献血条件的献血者被排除在外。采集血液,用血液学分析仪分析。鉴定低PLT计数(3)和平均PLT体积(约11.5 fl)的样本,制备外周血涂片,染色,筛选巨大的PLT。采用MS Excel (Microsoft 365)、RStudio (Version: 2023.03.1 + 446)、IBM SPSS Statistics 27对数据进行分析。结果:在印度不同地理区域的四个中心共筛选了2574名献血者。平均年龄34.81±9.32岁,男女比例为34.75:1。整体大血小板减少102例(4%),有明显的地带性差异:东部和南部各88例(86.3%),4例(3.9%),西部和北部各5例(4.9%)。外周涂片显示,南部和北部所有大血小板减少症患者均有巨大的血小板,东部和西部分别为76%和80%。大血小板减少症最常见的血型是B阳性41(40.2%)。结论:大血小板减少症表现出明显的地带性差异,在印度东部地区发现的病例最多。筛查和了解这种情况对于向献血者咨询出血倾向至关重要。
本文章由计算机程序翻译,如有差异,请以英文原文为准。
求助全文
约1分钟内获得全文 求助全文
来源期刊
CiteScore
0.90
自引率
0.00%
发文量
56
审稿时长
44 weeks
×
引用
GB/T 7714-2015
复制
MLA
复制
APA
复制
导出至
BibTeX EndNote RefMan NoteFirst NoteExpress
×
提示
您的信息不完整,为了账户安全,请先补充。
现在去补充
×
提示
您因"违规操作"
具体请查看互助需知
我知道了
×
提示
确定
请完成安全验证×
copy
已复制链接
快去分享给好友吧!
我知道了
右上角分享
点击右上角分享
0
联系我们:info@booksci.cn Book学术提供免费学术资源搜索服务,方便国内外学者检索中英文文献。致力于提供最便捷和优质的服务体验。 Copyright © 2023 布克学术 All rights reserved.
京ICP备2023020795号-1
ghs 京公网安备 11010802042870号
Book学术文献互助
Book学术文献互助群
群 号:604180095
Book学术官方微信