Diagnostic value of carcinoembryonic antigen, cancer antigen 15-3, and cell-free DNA as blood biomarkers in early detection of canine mammary tumor.

Q3 Medicine
Journal of Circulating Biomarkers Pub Date : 2025-08-21 eCollection Date: 2025-01-01 DOI:10.33393/jcb.2025.3564
Diksha Singh, Prashant P Rokade, Neeraj K Gangwar, Mukul G Gabhane, Sunil Malik, Kavisha Gangwar, Shyama N Prabhu, Renu Singh, D D Singh, Sonam Kumari, Soumen Chaudhary, Jitendra K Choudhary
{"title":"Diagnostic value of carcinoembryonic antigen, cancer antigen 15-3, and cell-free DNA as blood biomarkers in early detection of canine mammary tumor.","authors":"Diksha Singh, Prashant P Rokade, Neeraj K Gangwar, Mukul G Gabhane, Sunil Malik, Kavisha Gangwar, Shyama N Prabhu, Renu Singh, D D Singh, Sonam Kumari, Soumen Chaudhary, Jitendra K Choudhary","doi":"10.33393/jcb.2025.3564","DOIUrl":null,"url":null,"abstract":"<p><strong>Introduction: </strong>Blood biomarkers play a crucial role in the diagnosis and prognosis of tumor. The present research was designed to study the diagnostic effect of serum biomarkers, namely carcino-embryonic antigen (CEA), cancer antigen 15-3 (CA15-3), and plasma biomarker <i>viz.,</i> circulating cell-free DNA (cfDNA); and their correlation with cytological and histopathological results.</p><p><strong>Methods: </strong>A total of 60 blood samples were collected. Out of which 36 samples were from the dogs affected with canine mammary tumors, and 24 samples were from the apparently healthy dogs. CEA and CA15-3 were estimated using Sandwich ELISA, and cfDNA was estimated by the ccfDNA kit. A significant Positive correlation was observed between tumor blood biomarker levels, cytology and histopathological grades of the tumors.</p><p><strong>Results: </strong>We found that CA15-3 can be a more effective serum tumour biomarker than CEA for diagnosing canine mammary gland tumours. This finding showed a positive correlation with the clinical grade of the disease. The concentration of serum markers and cfDNA in animals affected with malignant mammary gland tumours was higher compared to the benign entity of tumours and healthy control groups. The ROC curve analysis revealed that the sensitivity (Se) and specificity (Sp) of CEA and CA15-3 biomarkers improved when used together. IN comparison to healthy controls, canines with both benign and malignant neoplasia showed significantly higher (p < 0.05) cfDNA concentrations.</p><p><strong>Conclusion: </strong>This study highlights the role of blood tumor biomarkers for routine screening of animals in early diagnosis of tumors, further treatment, and prognosis.</p>","PeriodicalId":37524,"journal":{"name":"Journal of Circulating Biomarkers","volume":"14 ","pages":"30-38"},"PeriodicalIF":0.0000,"publicationDate":"2025-08-21","publicationTypes":"Journal Article","fieldsOfStudy":null,"isOpenAccess":false,"openAccessPdf":"https://www.ncbi.nlm.nih.gov/pmc/articles/PMC12375963/pdf/","citationCount":"0","resultStr":null,"platform":"Semanticscholar","paperid":null,"PeriodicalName":"Journal of Circulating Biomarkers","FirstCategoryId":"1085","ListUrlMain":"https://doi.org/10.33393/jcb.2025.3564","RegionNum":0,"RegionCategory":null,"ArticlePicture":[],"TitleCN":null,"AbstractTextCN":null,"PMCID":null,"EPubDate":"2025/1/1 0:00:00","PubModel":"eCollection","JCR":"Q3","JCRName":"Medicine","Score":null,"Total":0}
引用次数: 0

Abstract

Introduction: Blood biomarkers play a crucial role in the diagnosis and prognosis of tumor. The present research was designed to study the diagnostic effect of serum biomarkers, namely carcino-embryonic antigen (CEA), cancer antigen 15-3 (CA15-3), and plasma biomarker viz., circulating cell-free DNA (cfDNA); and their correlation with cytological and histopathological results.

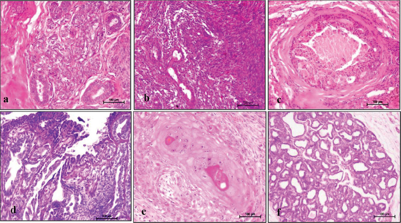
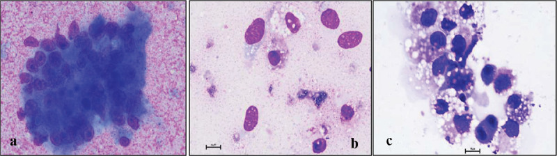
Methods: A total of 60 blood samples were collected. Out of which 36 samples were from the dogs affected with canine mammary tumors, and 24 samples were from the apparently healthy dogs. CEA and CA15-3 were estimated using Sandwich ELISA, and cfDNA was estimated by the ccfDNA kit. A significant Positive correlation was observed between tumor blood biomarker levels, cytology and histopathological grades of the tumors.

Results: We found that CA15-3 can be a more effective serum tumour biomarker than CEA for diagnosing canine mammary gland tumours. This finding showed a positive correlation with the clinical grade of the disease. The concentration of serum markers and cfDNA in animals affected with malignant mammary gland tumours was higher compared to the benign entity of tumours and healthy control groups. The ROC curve analysis revealed that the sensitivity (Se) and specificity (Sp) of CEA and CA15-3 biomarkers improved when used together. IN comparison to healthy controls, canines with both benign and malignant neoplasia showed significantly higher (p < 0.05) cfDNA concentrations.

Conclusion: This study highlights the role of blood tumor biomarkers for routine screening of animals in early diagnosis of tumors, further treatment, and prognosis.

Abstract Image

Abstract Image

Abstract Image

癌胚抗原、癌抗原15-3和游离DNA作为血液生物标志物在犬乳腺肿瘤早期检测中的诊断价值
血液生物标志物对肿瘤的诊断和预后起着至关重要的作用。本研究旨在研究血清生物标志物癌胚抗原(CEA)、癌抗原15-3 (CA15-3)和血浆生物标志物循环游离DNA (cfDNA)的诊断作用;以及它们与细胞学和组织病理学结果的相关性。方法:采集血液标本60份。其中36个样本来自患有犬乳腺肿瘤的狗,24个样本来自表面健康的狗。采用Sandwich ELISA法测定CEA和CA15-3,采用ccfDNA试剂盒测定cfDNA。肿瘤血液生物标志物水平与肿瘤的细胞学和组织病理学分级呈显著正相关。结果:CA15-3是诊断犬乳腺肿瘤的有效血清肿瘤标志物。这一发现与疾病的临床分级呈正相关。恶性乳腺肿瘤动物血清标志物和cfDNA浓度高于良性肿瘤和健康对照组。ROC曲线分析显示,CEA和CA15-3生物标志物联合使用时,灵敏度(Se)和特异性(Sp)均有提高。与健康对照组相比,良性和恶性肿瘤犬的cfDNA浓度均显著升高(p < 0.05)。结论:本研究强调了血液肿瘤生物标志物在动物常规筛查中对肿瘤早期诊断、进一步治疗和预后的作用。
本文章由计算机程序翻译,如有差异,请以英文原文为准。
求助全文
约1分钟内获得全文 求助全文
来源期刊
Journal of Circulating Biomarkers
Journal of Circulating Biomarkers Medicine-Biochemistry (medical)
CiteScore
3.20
自引率
0.00%
发文量
9
审稿时长
8 weeks
期刊介绍: Journal of Circulating Biomarkers is an international, peer-reviewed, open access scientific journal focusing on all aspects of the rapidly growing field of circulating blood-based biomarkers and diagnostics using circulating protein and lipid markers, circulating tumor cells (CTC), circulating cell-free DNA (cfDNA) and extracellular vesicles, including exosomes, microvesicles, microparticles, ectosomes and apoptotic bodies. The journal publishes high-impact articles that deal with all fields related to circulating biomarkers and diagnostics, ranging from basic science to translational and clinical applications. Papers from a wide variety of disciplines are welcome; interdisciplinary studies are especially suitable for this journal. Included within the scope are a broad array of specialties including (but not limited to) cancer, immunology, neurology, metabolic diseases, cardiovascular medicine, regenerative medicine, nosology, physiology, pathology, technological applications in diagnostics, therapeutics, vaccine, drug delivery, regenerative medicine, drug development and clinical trials. The journal also hosts reviews, perspectives and news on specific topics.
×
引用
GB/T 7714-2015
复制
MLA
复制
APA
复制
导出至
BibTeX EndNote RefMan NoteFirst NoteExpress
×
提示
您的信息不完整,为了账户安全,请先补充。
现在去补充
×
提示
您因"违规操作"
具体请查看互助需知
我知道了
×
提示
确定
请完成安全验证×
copy
已复制链接
快去分享给好友吧!
我知道了
右上角分享
点击右上角分享
0
联系我们:info@booksci.cn Book学术提供免费学术资源搜索服务,方便国内外学者检索中英文文献。致力于提供最便捷和优质的服务体验。 Copyright © 2023 布克学术 All rights reserved.
京ICP备2023020795号-1
ghs 京公网安备 11010802042870号
Book学术文献互助
Book学术文献互助群
群 号:604180095
Book学术官方微信