A Milestone in Cardiac Care in Iraq: One-year Follow-up after the Nation's First Continuous-flow Left Ventricular Assist Device Implantation, Paving the Way for Heart Transplantation.

IF 0.5 Q4 CARDIAC & CARDIOVASCULAR SYSTEMS
Heart Views Pub Date : 2025-01-01 Epub Date: 2025-07-16 DOI:10.4103/heartviews.heartviews_20_25
Ali Saad Merzah, Jasmin Hanke, Günes Dogan, Salwan Qahtan, Saleh Mehdi Al-Hasnawi, Lukman Faily, Arjang Ruhparwar, Jan D Schmitto
{"title":"A Milestone in Cardiac Care in Iraq: One-year Follow-up after the Nation's First Continuous-flow Left Ventricular Assist Device Implantation, Paving the Way for Heart Transplantation.","authors":"Ali Saad Merzah, Jasmin Hanke, Günes Dogan, Salwan Qahtan, Saleh Mehdi Al-Hasnawi, Lukman Faily, Arjang Ruhparwar, Jan D Schmitto","doi":"10.4103/heartviews.heartviews_20_25","DOIUrl":null,"url":null,"abstract":"<p><p>The first successful implantation of the HeartMate 3 LVAD in Iraq represents a transformative achievement in the nation's medical history. Conducted collaboratively by German and Iraqi teams in December 2023, the procedure addressed end-stage heart failure in a 60-year-old male. Despite significant healthcare challenges, the patient's functional status improved markedly, moving from New York Heart Association Class IV to Class I within a year. This groundbreaking case highlights the potential for Iraq to integrate advanced cardiac interventions into its healthcare system, paving the way for heart transplantation programs. Ongoing collaboration and investment in healthcare infrastructure will be pivotal for sustaining these innovations.</p>","PeriodicalId":32654,"journal":{"name":"Heart Views","volume":"26 1","pages":"58-61"},"PeriodicalIF":0.5000,"publicationDate":"2025-01-01","publicationTypes":"Journal Article","fieldsOfStudy":null,"isOpenAccess":false,"openAccessPdf":"https://www.ncbi.nlm.nih.gov/pmc/articles/PMC12370100/pdf/","citationCount":"0","resultStr":null,"platform":"Semanticscholar","paperid":null,"PeriodicalName":"Heart Views","FirstCategoryId":"1085","ListUrlMain":"https://doi.org/10.4103/heartviews.heartviews_20_25","RegionNum":0,"RegionCategory":null,"ArticlePicture":[],"TitleCN":null,"AbstractTextCN":null,"PMCID":null,"EPubDate":"2025/7/16 0:00:00","PubModel":"Epub","JCR":"Q4","JCRName":"CARDIAC & CARDIOVASCULAR SYSTEMS","Score":null,"Total":0}
引用次数: 0

Abstract

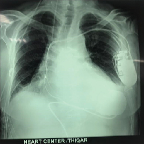
The first successful implantation of the HeartMate 3 LVAD in Iraq represents a transformative achievement in the nation's medical history. Conducted collaboratively by German and Iraqi teams in December 2023, the procedure addressed end-stage heart failure in a 60-year-old male. Despite significant healthcare challenges, the patient's functional status improved markedly, moving from New York Heart Association Class IV to Class I within a year. This groundbreaking case highlights the potential for Iraq to integrate advanced cardiac interventions into its healthcare system, paving the way for heart transplantation programs. Ongoing collaboration and investment in healthcare infrastructure will be pivotal for sustaining these innovations.

Abstract Image

伊拉克心脏护理的里程碑:伊拉克首个连续血流左心室辅助装置植入后的一年随访,为心脏移植铺平了道路。
在伊拉克,心脏伴侣3型左心室辅助器的首次成功植入代表了该国医学史上的一项变革性成就。该手术由德国和伊拉克团队于2023年12月合作进行,治疗了一名60岁男性的终末期心力衰竭。尽管面临着巨大的医疗挑战,但患者的功能状态明显改善,在一年内从纽约心脏协会的四级转移到一级。这个开创性的案例突出了伊拉克将先进的心脏干预措施纳入其医疗保健系统的潜力,为心脏移植项目铺平了道路。在医疗基础设施方面的持续合作和投资将是维持这些创新的关键。
本文章由计算机程序翻译,如有差异,请以英文原文为准。
求助全文
约1分钟内获得全文 求助全文
来源期刊
Heart Views
Heart Views CARDIAC & CARDIOVASCULAR SYSTEMS-
自引率
0.00%
发文量
28
审稿时长
28 weeks
×
引用
GB/T 7714-2015
复制
MLA
复制
APA
复制
导出至
BibTeX EndNote RefMan NoteFirst NoteExpress
×
提示
您的信息不完整,为了账户安全,请先补充。
现在去补充
×
提示
您因"违规操作"
具体请查看互助需知
我知道了
×
提示
确定
请完成安全验证×
copy
已复制链接
快去分享给好友吧!
我知道了
右上角分享
点击右上角分享
0
联系我们:info@booksci.cn Book学术提供免费学术资源搜索服务,方便国内外学者检索中英文文献。致力于提供最便捷和优质的服务体验。 Copyright © 2023 布克学术 All rights reserved.
京ICP备2023020795号-1
ghs 京公网安备 11010802042870号
Book学术文献互助
Book学术文献互助群
群 号:604180095
Book学术官方微信